DNAL4 Antibody
-
中文名稱:DNAL4兔多克隆抗體
-
貨號:CSB-PA007046LA01HU
-
規格:¥440
-
圖片:
-
Western blot
All lanes: DNAL4 antibody at 1.5µg/ml
Lane 1: Mouse gonadal tissue
Lane 2: HL60 whole cell lysate
Lane 3: NIH/3T3 whole cell lysate
Lane 4: Mouse brain tissue
Secondary
Goat polyclonal to rabbit IgG at 1/10000 dilution
Predicted band size: 13 kDa
Observed band size: 13 kDa -
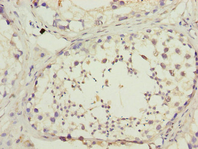
Immunohistochemistry of paraffin-embedded human testis tissue using CSB-PA007046LA01HU at dilution of 1:100
-
Immunohistochemistry of paraffin-embedded human breast cancer using CSB-PA007046LA01HU at dilution of 1:100
-
Immunofluorescent analysis of MCF-7 cells using CSB-PA007046LA01HU at dilution of 1:100 and Alexa Fluor 488-congugated AffiniPure Goat Anti-Rabbit IgG(H+L)
-
-
其他:
產品詳情
-
產品描述:
CUSABIO uses the recombinant human DNAL4 protein (1-105AA) to immunize rabbits and then purify the rabbit antiserum through antigen affinity purification to obtain the anti-DNAL4 antibody. This DNAL4 antibody is a polyclonal antibody and occurs as an unconjugated IgG. It shows reactivity with human and mouse DNAL4 protein, a component of the outer dynein arms complex which acts as the molecular motor to provide the force to move cilia in an ATP-dependent manner. And this anti-DNAL4 antibody can be used in ELISA, WB, IHC, and IF for the detection of the DNAL4 protein.
-
產品名稱:Rabbit anti-Homo sapiens (Human) DNAL4 Polyclonal antibody
-
Uniprot No.:
-
基因名:DNAL4
-
別名:D15Ertd424e antibody; Dnal4 antibody; DNAL4_HUMAN antibody; Dnalc4 antibody; Dynein axonemal light chain 4 antibody; Dynein light chain 4; axonemal antibody; Dynein light chain; outer arm 4 antibody; Dynein; axonemal; light 4 antibody; Dynein; axonemal; light polypeptide 4 antibody; MGC105573 antibody; PIG27 antibody; Proliferation inducing gene 27 antibody; Proliferation inducing protein 27 antibody
-
宿主:Rabbit
-
反應種屬:Human, Mouse
-
免疫原:Recombinant Human Dynein light chain 4, axonemal protein (1-105AA)
-
免疫原種屬:Homo sapiens (Human)
-
標記方式:Non-conjugated
本頁面中的產品,DNAL4 Antibody (CSB-PA007046LA01HU),的標記方式是Non-conjugated。對于DNAL4 Antibody,我們還提供其他標記。見下表:
-
克隆類型:Polyclonal
-
抗體亞型:IgG
-
純化方式:Antigen Affinity Purified
-
濃度:It differs from different batches. Please contact us to confirm it.
-
保存緩沖液:Preservative: 0.03% Proclin 300
Constituents: 50% Glycerol, 0.01M PBS, PH 7.4 -
產品提供形式:Liquid
-
應用范圍:ELISA, WB, IHC, IF
-
推薦稀釋比:
Application Recommended Dilution WB 1:500-1:2000 IHC 1:20-1:200 IF 1:50-1:200 -
Protocols:
-
儲存條件:Upon receipt, store at -20°C or -80°C. Avoid repeated freeze.
-
貨期:Basically, we can dispatch the products out in 1-3 working days after receiving your orders. Delivery time maybe differs from different purchasing way or location, please kindly consult your local distributors for specific delivery time.
-
用途:For Research Use Only. Not for use in diagnostic or therapeutic procedures.
相關產品
靶點詳情
-
功能:Force generating protein of respiratory cilia. Produces force towards the minus ends of microtubules. Dynein has ATPase activity.
-
基因功能參考文獻:
- No mutation in DNAL4 in Congenital mirror movements. PMID: 25236653
- DNAL4 may play a role in the cytoplasmic dynein complex for netrin-1-directed retrograde transport, and in commissural neurons of the corpus callosum in particular. This could lead to faulty cross-brain wiring, resulting in Mirror movements (MRMV). PMID: 25098561
-
相關疾?。?/div>Mirror movements 3 (MRMV3)亞細胞定位:Cytoplasm, cytoskeleton, cilium axoneme.蛋白家族:Dynein light chain family數據庫鏈接:
Most popular with customers
-
-
Phospho-YAP1 (S127) Recombinant Monoclonal Antibody
Applications: ELISA, WB, IHC
Species Reactivity: Human
-
-
-
-
-
-















