DOK3 Antibody
-
中文名稱:DOK3兔多克隆抗體
-
貨號:CSB-PA338014
-
規格:¥1100
-
圖片:
-
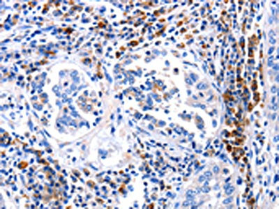
The image on the left is immunohistochemistry of paraffin-embedded Human lung cancer tissue using CSB-PA338014(DOK3 Antibody) at dilution 1/25, on the right is treated with fusion protein. (Original magnification: ×200)
-
Gel: 10%SDS-PAGE, Lysate: 40 μg, Lane: Human notum skin cancer tissue, Primary antibody: CSB-PA338014(DOK3 Antibody) at dilution 1/250, Secondary antibody: Goat anti rabbit IgG at 1/8000 dilution, Exposure time: 30 seconds
-
-
其他:
產品詳情
-
Uniprot No.:
-
基因名:
-
別名:Docking protein 3 antibody; DOK 3 antibody; DOK Like Protein antibody; Dok3 antibody; DOK3_HUMAN antibody; DOKL Pending antibody; Downstream of tyrosine kinase 3 antibody; p62 DOK Like Protein antibody
-
宿主:Rabbit
-
反應種屬:Human
-
免疫原:Fusion protein of Human DOK3
-
免疫原種屬:Homo sapiens (Human)
-
標記方式:Non-conjugated
-
抗體亞型:IgG
-
純化方式:Antigen affinity purification
-
濃度:It differs from different batches. Please contact us to confirm it.
-
保存緩沖液:-20°C, pH7.4 PBS, 0.05% NaN3, 40% Glycerol
-
產品提供形式:Liquid
-
應用范圍:ELISA,WB,IHC
-
推薦稀釋比:
Application Recommended Dilution ELISA 1:1000-1:2000 WB 1:200-1:1000 IHC 1:25-1:100 -
Protocols:
-
儲存條件:Upon receipt, store at -20°C or -80°C. Avoid repeated freeze.
-
貨期:Basically, we can dispatch the products out in 1-3 working days after receiving your orders. Delivery time maybe differs from different purchasing way or location, please kindly consult your local distributors for specific delivery time.
-
用途:For Research Use Only. Not for use in diagnostic or therapeutic procedures.
相關產品
靶點詳情
-
功能:DOK proteins are enzymatically inert adaptor or scaffolding proteins. They provide a docking platform for the assembly of multimolecular signaling complexes. DOK3 is a negative regulator of JNK signaling in B-cells through interaction with INPP5D/SHIP1. May modulate ABL1 function.
-
基因功能參考文獻:
- Mutations in DOK3 gene is associated with prostate cancer PMID: 26585945
- DOK2 and DOK3 expression was significantly reduced in HTLV-1-infected T cells. PMID: 27265473
- The Dok-3/Grb2 protein signal module attenuates Lyn kinase-dependent activation of Syk kinase in B cell antigen receptor microclusters PMID: 23223229
- absence of DOK3 increases LPS signaling, contributing to LPS-induced tolerance. Thus, DOK3 plays a role in TLR signaling during both naive and endotoxin-induced tolerant conditions PMID: 22761938
- Identification of DOK genes as lung tumor suppressors. PMID: 20139980
- The novel platelet adapter Dok-3 is tyrosine phosphorylated in an Src kinase-independent manner downstream of alphaIIbbeta3 in human platelets, leading to an interaction with Grb2 and SHIP-1. PMID: 19682241
- findings indicate that Dok-3 sequesters Grb2 from Shc and inhibits the Ras-Erk pathway downstream of PTKs PMID: 16436051
顯示更多
收起更多
-
亞細胞定位:Cytoplasm. Cell membrane; Peripheral membrane protein; Cytoplasmic side.
-
蛋白家族:DOK family, Type A subfamily
-
組織特異性:Expressed in spleen.
-
數據庫鏈接:
Most popular with customers
-
-
YWHAB Recombinant Monoclonal Antibody
Applications: ELISA, WB, IHC, IF, FC
Species Reactivity: Human, Mouse, Rat
-
Phospho-YAP1 (S127) Recombinant Monoclonal Antibody
Applications: ELISA, WB, IHC
Species Reactivity: Human
-
-
-
-
-















