DSCAM Antibody
-
中文名稱:DSCAM兔多克隆抗體
-
貨號:CSB-PA007192LA01HU
-
規格:¥440
-
圖片:
-
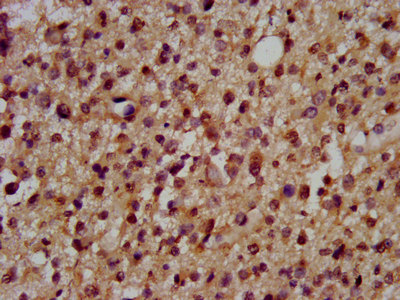
IHC image of CSB-PA007192LA01HU diluted at 1:200 and staining in paraffin-embedded human glioma performed on a Leica BondTM system. After dewaxing and hydration, antigen retrieval was mediated by high pressure in a citrate buffer (pH 6.0). Section was blocked with 10% normal goat serum 30min at RT. Then primary antibody (1% BSA) was incubated at 4°C overnight. The primary is detected by a biotinylated secondary antibody and visualized using an HRP conjugated SP system.
-
IHC image of CSB-PA007192LA01HU diluted at 1:200 and staining in paraffin-embedded human brain tissue performed on a Leica BondTM system. After dewaxing and hydration, antigen retrieval was mediated by high pressure in a citrate buffer (pH 6.0). Section was blocked with 10% normal goat serum 30min at RT. Then primary antibody (1% BSA) was incubated at 4°C overnight. The primary is detected by a biotinylated secondary antibody and visualized using an HRP conjugated SP system.
-
-
其他:
產品詳情
-
產品名稱:Rabbit anti-Homo sapiens (Human) DSCAM Polyclonal antibody
-
Uniprot No.:
-
基因名:DSCAM
-
別名:CHD2 42 antibody; CHD2 52 antibody; CHD2 antibody; Down syndrome cell adhesion molecule antibody; DSCAM antibody; DSCAM_HUMAN antibody; human CHD2-52 down syndrome cell adhesion molecule 2; 9 antibody; OTTHUMP00000109193 2 antibody; SD11109p antibody
-
宿主:Rabbit
-
反應種屬:Human
-
免疫原:Recombinant Human Down syndrome cell adhesion molecule protein (1711-1867AA)
-
免疫原種屬:Homo sapiens (Human)
-
標記方式:Non-conjugated
本頁面中的產品,DSCAM Antibody (CSB-PA007192LA01HU),的標記方式是Non-conjugated。對于DSCAM Antibody,我們還提供其他標記。見下表:
-
克隆類型:Polyclonal
-
抗體亞型:IgG
-
純化方式:>95%, Protein G purified
-
濃度:It differs from different batches. Please contact us to confirm it.
-
保存緩沖液:Preservative: 0.03% Proclin 300
Constituents: 50% Glycerol, 0.01M PBS, pH 7.4 -
產品提供形式:Liquid
-
應用范圍:ELISA, IHC
-
推薦稀釋比:
Application Recommended Dilution IHC 1:200-1:500 -
Protocols:
-
儲存條件:Upon receipt, store at -20°C or -80°C. Avoid repeated freeze.
-
貨期:Basically, we can dispatch the products out in 1-3 working days after receiving your orders. Delivery time maybe differs from different purchasing way or location, please kindly consult your local distributors for specific delivery time.
-
用途:For Research Use Only. Not for use in diagnostic or therapeutic procedures.
相關產品
靶點詳情
-
功能:Cell adhesion molecule that plays a role in neuronal self-avoidance. Promotes repulsion between specific neuronal processes of either the same cell or the same subtype of cells. Mediates within retinal amacrine and ganglion cell subtypes both isoneuronal self-avoidance for creating an orderly dendritic arborization and heteroneuronal self-avoidance to maintain the mosaic spacing between amacrine and ganglion cell bodies. Receptor for netrin required for axon guidance independently of and in collaboration with the receptor DCC. Might also collaborate with UNC5C in NTN1-mediated axon repulsion independently of DCC. In spinal cord development plays a role in guiding commissural axons projection and pathfinding across the ventral midline to reach the floor plate upon ligand binding. Enhances netrin-induced phosphorylation of PAK1 and FYN. Mediates intracellular signaling by stimulating the activation of MAPK8 and MAP kinase p38. Adhesion molecule that promotes lamina-specific synaptic connections in the retina: expressed in specific subsets of interneurons and retinal ganglion cells (RGCs) and promotes synaptic connectivity via homophilic interactions.
-
基因功能參考文獻:
- Our study did not repeatedly confirm the association of the rs2222973 or the rs11770843 SNP with adolescent idiopathic scoliosis in a Chinese Han population. PMID: 25408124
- The most significant was DSCAM, a neurological gene expressed widely in the developing brain and in the amygdala and hippocampus of the adult brain. PMID: 25867994
- DSCAM physically interacts with tubulin folding cofactor D. PMID: 25653356
- DSCAM as a Hirschsprung disease (HSCR) susceptibility locus, both in Down syndrome and HSCR isolated cases. PMID: 23671607
- Down syndrome cell adhesion molecule interacts with PRKAG1 subunit and plays an important role in netrin-1 induced neurite outgrowth. PMID: 23479427
- knockdown of DSCAM inhibits netrin-induced tyrosine phosphorylation of UNC5C and Fyn as well as the interaction of UNC5C with Fyn. The double knockdown of both receptors abolishes the induction of Fyn tyrosine phosphorylation by netrin-1 PMID: 22685302
- The specificity of Drosophila Dscam is due to complementarity of variable residues in epitope I. PMID: 17721508
- Overall, our study found a significant association of IL-17RC gene polymorphisms with AIS in a Chinese Han population, indicating IL-17RC gene may be as a susceptibility gene for AIS. PMID: 22744455
- Dscam may be involved in the generation and development of intractable epilepsy. PMID: 21360594
- functionally conserved with Drosophila Dscam[TM1] isoforms PMID: 21645617
- A specific promoter region directs expression of DSCAM in the developing choroid plexus and roof of the fourth ventricle, the floor plate of the fourth ventricle, pons and medulla oblongata, and the eye, limb buds, and dorsal root ganglion PMID: 12435380
- These results suggest the possible contribution of DSCAM gene in bipolar disorder. PMID: 18197079
- findings demonstrate an essential role of vertebrate DSCAM in axon guidance, indicating that DSCAM functions as a receptor of netrin-1 PMID: 19196994
- Dscam transgene with or without exon 19 in its endodomain is used to govern different stage-specific neuronal morphogenetic processes, possibly due to differences in protein targeting. PMID: 19211897
- In all transgenic retinal cell types examined, both DSCAM and DSCAM-LIKE1 genes are functioning similarly in self-avoidance, whereas the stratification of neurites and synaptic specificity are intact in their absence. PMID: 19945391
顯示更多
收起更多
-
亞細胞定位:[Isoform Short]: Secreted.; [Isoform Long]: Cell membrane; Single-pass type I membrane protein. Cell projection, axon. Cell projection, dendrite. Cell projection, growth cone. Cell junction, synapse.
-
組織特異性:Primarily expressed in brain.
-
數據庫鏈接:
Most popular with customers
-
-
YWHAB Recombinant Monoclonal Antibody
Applications: ELISA, WB, IHC, IF, FC
Species Reactivity: Human, Mouse, Rat
-
Phospho-YAP1 (S127) Recombinant Monoclonal Antibody
Applications: ELISA, WB, IHC
Species Reactivity: Human
-
-
-
-
-















