DSG2 Antibody
-
中文名稱:DSG2兔多克隆抗體
-
貨號:CSB-PA401715
-
規格:¥1100
-
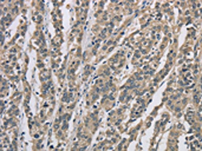
圖片:
-
The image on the left is immunohistochemistry of paraffin-embedded Human thyroid cancer tissue using CSB-PA401715(DSG2 Antibody) at dilution 1/70, on the right is treated with fusion protein. (Original magnification: ×200)
-
The image on the left is immunohistochemistry of paraffin-embedded Human esophagus cancer tissue using CSB-PA401715(DSG2 Antibody) at dilution 1/70, on the right is treated with fusion protein. (Original magnification: ×200)
-
-
其他:
產品詳情
-
Uniprot No.:
-
基因名:
-
別名:ARVC 10 antibody; ARVC10 antibody; ARVD 10 antibody; ARVD10 antibody; Cadherin family member 5 antibody; CDHF 5 antibody; CDHF5 antibody; CMD1BB antibody; Desmoglein 2 antibody; Desmoglein-2 antibody; Desmoglein2 antibody; DSG 2 antibody; DSG2 antibody; DSG2_HUMAN antibody; HDGC antibody; HDGC included antibody; Human Desmoglein colon antibody; MGC117034 antibody; MGC117036 antibody; MGC117037 antibody
-
宿主:Rabbit
-
反應種屬:Human
-
免疫原:Fusion protein of Human DSG2
-
免疫原種屬:Homo sapiens (Human)
-
標記方式:Non-conjugated
-
抗體亞型:IgG
-
純化方式:Antigen affinity purification
-
濃度:It differs from different batches. Please contact us to confirm it.
-
保存緩沖液:-20°C, pH7.4 PBS, 0.05% NaN3, 40% Glycerol
-
產品提供形式:Liquid
-
應用范圍:ELISA,IHC
-
推薦稀釋比:
Application Recommended Dilution ELISA 1:2000-1:10000 IHC 1:100-1:300 -
Protocols:
-
儲存條件:Upon receipt, store at -20°C or -80°C. Avoid repeated freeze.
-
貨期:Basically, we can dispatch the products out in 1-3 working days after receiving your orders. Delivery time maybe differs from different purchasing way or location, please kindly consult your local distributors for specific delivery time.
-
用途:For Research Use Only. Not for use in diagnostic or therapeutic procedures.
相關產品
靶點詳情
-
功能:Component of intercellular desmosome junctions. Involved in the interaction of plaque proteins and intermediate filaments mediating cell-cell adhesion.
-
基因功能參考文獻:
- A homozygous mutation of DSG2 p.F531C was identified as the pathogenic mutation in patients with arrhythmogenic right ventricular cardiomyopathy/dysplasia (ARVC/D) involving both ventricles, as a result of widened and impaired intercalated discs, interrupted myocardial fibers, and abnormally hyperplastic interstitial fibers, collagen fibers, and adipocytes. PMID: 28578331
- DSG2 as a key regulator of vasculogenic mimicry (VM) activity in human melanoma and suggest this molecule might be therapeutically targeted to reduce tumor blood supply and metastatic spread. PMID: 27340778
- Data suggest that Dsg2 stimulates cell growth and migration by positively regulating EGFR level and signaling through a c-Src and Cav1-dependent mechanism using lipid rafts as signal modulatory platforms. PMID: 26918609
- identified DSG2 expression in distinct progenitor cell subpopulations and show that, independent from its classical function as a component of desmosomes, this cadherin also plays a critical role in the vasculature PMID: 27338829
- Expression of the desmosomal protein Desmoglein-2 was reduced in pediatric dilated cardiomyopathy pediatric patients. PMID: 28764973
- This study defines a mechanism by which Dsg2 expression in cancer cells can modulate the tumor microenvironment, a step critical for tumor progression. PMID: 28438789
- Silencing of Dsg2 but not Dsc2 resulted in loss of cell cohesion and enhanced migration, and invasion of pancreatic adenocarcinoma cells. PMID: 28277619
- The homozygous desmoglein 2 variant c.1003A;G co-segregated with Arrhythmogenic right ventricular cardiomyopathy, indicating autosomal recessive inheritance and complete penetrance. PMID: 28818065
- these data suggest that palmitoylation of Dsg2 regulates protein transport to the plasma membrane. Modulation of the palmitoylation status of desmosomal cadherins can affect desmosome dynamics. PMID: 27703000
- Both Dsg2 mRNA and protein were highly expressed in non-small cell lung cancer (NSCLC) tissues and associated with NSCLC size, but not with overall survival of patients. PMID: 27629878
- Currently, 13 genes have been associated with the disease but nearly 40 % of clinically diagnosed cases remain without a genetic diagnosis. PMID: 25398255
- DSG2 and DSG3 might be potential diagnostic markers for squamous cell carcinoma of the lung. PMID: 25468811
- In endometrial luminal epithelium, cadherin 6, desmoglein 2 and plexin b2 were surprisingly found in the apical as well as the lateral membrane domain; their knock-down compromised epithelial integrity. PMID: 25237006
- a low DSG2 expression phenotype is a useful prognostic biomarker of tumor aggressiveness and may serve as an aid in identifying patients with clinically significant prostate cancer. PMID: 24896103
- Six variants of uncertain clinical significance in the PKP2, JUP, and DSG2 genes showed a deleterious effect on mRNA splicing, indicating these are ARVD/C-related pathogenic splice site mutations. PMID: 25087486
- This structure reveals that the ectodomain of Dsg2 is flexible even in the calcium-bound state and, on average, is shorter than the type 1 cadherin crystal structures. PMID: 25855637
- Desmoglein 2 expression attenuates migration of melanoma cells, mediated by downregulation of secretogranin II. PMID: 24558503
- Gal3 has a role in stabilizing desmoglein-2, a desmosomal cadherin, and intercellular adhesion in intestinal epithelial cells PMID: 24567334
- Desmoglein-2 co-localizes with integrin-beta8 in N-MVECs. PMID: 23874518
- Authors found a number of mutations within or near the EF loop of the Ad3 fiber knob that resulted in affinities to DSG2 that were several orders of magnitude higher than those to the wild-type Ad3 knob. PMID: 23946456
- findings were consistent with the results obtained by immunohistochemistry of endomyocardial biopsies and epidermal tissue of mutation carriers, which indicated a normal cellular distribution of DSG2 PMID: 23381804
- Snail regulates levels of E-cadherin and desmoglein 2 in oral squamous cell carcinoma cells both transcriptionally and post-translationally. PMID: 23261431
- CD133 interacts with plakoglobin and knockdown of CD133 by RNA interference (RNAi) results in the downregulation of desmoglein-2. PMID: 23326490
- Specific desmosomal cadherins contribute differently to keratinocyte cohesion and that Dsg2 compared to Dsg3 is less important in this context. PMID: 23326495
- an impaired prodomain cleavage and an influence on the DSG2-properties could be demonstrated for the R46Q-variant leading to the classification of the variant as a potential gain-of-function mutant in arrhythmogenic right ventricular cardiomyopathy PMID: 23071725
- The Dsg unique region(DUR) of Dsg2 stabilized Dsg2 at the cell surface by inhibiting its internalization and promoted strong intercellular adhesion. PMID: 23128240
- Gastroesophageal reflux disease was specifically associated with elevated transcript levels of desmoglein 2 and plakoglobin PMID: 22521077
- Dsg-2 with a mutation at the predicted cleavage site is resistant to cleavage by matriptase. Thus Dsg-2 seems to be a functionally relevant physiological substrate of matriptase. PMID: 22783993
- Desmoglein 2, expressed earliest among the four isoforms in development, was found to be mutated in arrythmogenic right ventricular cardiomyopathy and is a receptor for a subset of adenoviruses that cause respiratory and urinary tract infections. PMID: 22189787
- The Dsg2 exhibit microtubule-dependent transport in epithelial cells but use distinct motors to traffic to the plasma membrane. PMID: 22184201
- We detected a novel mutation: DSG2 3059_3062delAGAG and it may induce disintegrationofthe desmosomal structure PMID: 21397041
- Dsg2 extracellular and intracellular domains are cleaved by proteolytic enzymes, and multiple cleavage fragments of Dsg2 are generated in colonic epithelial cells. PMID: 21715983
- Study demonstrated a molecular switching in gene expression within the desmoglein subfamily between DSG3 and DSG2 during oral cancer progression. PMID: 20923451
- Co-segregation of the G812S mutation with disease expression was established in a large Caucasian family.No differences in targeting or stability of the mutant proteins, suggesting that they act via a dominant negative mechanism PMID: 20708101
- Dsg2-mediated adhesion affects tight junction integrity and is required to maintain intestinal epithelial barrier properties PMID: 20224006
- Desmoglein 2 was highly expressed by the least differentiated cells of the cutaneous epithelium, including the hair follicle bulge of the fetus and adult, bulb matrix cells, and basal layer of the outer root sheath. PMID: 12787134
- Nine heterozygous DSG2 mutations (5 missense, 2 insertion-deletions, 1 nonsense, and 1 splice site mutation) were detected in subjects with ARVC. PMID: 16505173
- mutations in DSG2 contribute to the development ofarrhythmogenic right ventricular dysplasia/cardiomyopathy PMID: 16773573
- Data demonstrate that UV-induced desmoglein-2 down-regulation is mediated via reactive oxygen species which are generated through EGF receptor activation and Rac2/NADPH oxidase activation. PMID: 16820949
- Mutations in DSG2 display a high degree of penetrance. Disease expression was of variable severity with left ventricular involvement a prominent feature. PMID: 17105751
- long term treatment with epidermal growth factor (EGF) leads to a marked increase in the levels of ADAM17, which also increases the shedding of several substrates of ADAM17, including the desmosomal cadherin Dsg-2 PMID: 17227756
- desmoglein 2 is a novel solitary surface glycoprotein in malignant melanoma cells PMID: 17495963
- Dsg2 was targeted by caspases in cell lines undergoing staurosporine-induced apoptosis. The proteolytic processing of full-length Dsg2 released a 70-kDa fragment into the cytosol. PMID: 17559062
- Dsg2 regulates intestinal epithelial cell apoptosis driven by cysteine proteases during physiological differentiation and inflammation PMID: 17804817
- DSG2-V55M polymorphism is identified as a novel risk variant for dilated cardiomyopathy. PMID: 18678517
- Monoclonal antibodies against the proregion of the desmosomal cadherin, human desmoglein-2. PMID: 18707543
- Desmoglein 2 has been demonstrated in a sizable subset of nevi and primary melanomas. PMID: 18975006
- Results show that epidermal growth factor receptor inhibition stabilizes desmoglein 2 at intercellular junctions by interfering with its accumulation in an internalized cytoplasmic pool. PMID: 18987342
- levels of Dsg1 & Dsg2 are reduced in pancreatic tumors; expression of kallikrein 7 in BxPC-3 cells resulted in increase in shedding of soluble Dsg2 PMID: 19091121
- While Dsg2 expression was consistently strong in BCC, it varied in SCC with a minor correlation between a decrease of Dsg2 expression and tumor differentiation PMID: 19458482
顯示更多
收起更多
-
相關疾病:Arrhythmogenic right ventricular dysplasia, familial, 10 (ARVD10); Cardiomyopathy, dilated 1BB (CMD1BB)
-
亞細胞定位:Cell membrane; Single-pass type I membrane protein. Cell junction, desmosome.
-
組織特異性:All of the tissues tested and carcinomas.
-
數據庫鏈接:
Most popular with customers
-
-
YWHAB Recombinant Monoclonal Antibody
Applications: ELISA, WB, IHC, IF, FC
Species Reactivity: Human, Mouse, Rat
-
Phospho-YAP1 (S127) Recombinant Monoclonal Antibody
Applications: ELISA, WB, IHC
Species Reactivity: Human
-
-
-
-
-















