DYM Antibody
-
中文名稱:DYM兔多克隆抗體
-
貨號:CSB-PA007291LA01HU
-
規格:¥440
-
圖片:
-
Western Blot
Positive WB detected in: Hela whole cell lysate, HepG2 whole cell lysate, 293 whole cell lysate, SH-SY5Y whole cell lysate, Mouse liver tissue
All lanes: DYM antibody at 3.7µg/ml
Secondary
Goat polyclonal to rabbit IgG at 1/50000 dilution
Predicted band size: 76, 55 kDa
Observed band size: 55 kDa -
IHC image of CSB-PA007291LA01HU diluted at 1:500 and staining in paraffin-embedded human adrenal gland tissue performed on a Leica BondTM system. After dewaxing and hydration, antigen retrieval was mediated by high pressure in a citrate buffer (pH 6.0). Section was blocked with 10% normal goat serum 30min at RT. Then primary antibody (1% BSA) was incubated at 4°C overnight. The primary is detected by a biotinylated secondary antibody and visualized using an HRP conjugated SP system.
-
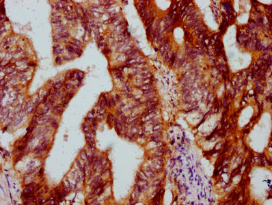
IHC image of CSB-PA007291LA01HU diluted at 1:500 and staining in paraffin-embedded human colon cancer performed on a Leica BondTM system. After dewaxing and hydration, antigen retrieval was mediated by high pressure in a citrate buffer (pH 6.0). Section was blocked with 10% normal goat serum 30min at RT. Then primary antibody (1% BSA) was incubated at 4°C overnight. The primary is detected by a biotinylated secondary antibody and visualized using an HRP conjugated SP system.
-
-
其他:
產品詳情
-
產品名稱:Rabbit anti-Homo sapiens (Human) DYM Polyclonal antibody
-
Uniprot No.:
-
基因名:DYM
-
別名:DYMDymeclin antibody; Dyggve-Melchior-Clausen syndrome protein antibody
-
宿主:Rabbit
-
反應種屬:Human, Mouse
-
免疫原:Recombinant Human Dymeclin protein (224-348AA)
-
免疫原種屬:Homo sapiens (Human)
-
標記方式:Non-conjugated
本頁面中的產品,DYM Antibody (CSB-PA007291LA01HU),的標記方式是Non-conjugated。對于DYM Antibody,我們還提供其他標記。見下表:
-
克隆類型:Polyclonal
-
抗體亞型:IgG
-
純化方式:>95%, Protein G purified
-
濃度:It differs from different batches. Please contact us to confirm it.
-
保存緩沖液:Preservative: 0.03% Proclin 300
Constituents: 50% Glycerol, 0.01M PBS, pH 7.4 -
產品提供形式:Liquid
-
應用范圍:ELISA, WB, IHC
-
推薦稀釋比:
Application Recommended Dilution WB 1:500-1:5000 IHC 1:500-1:1000 -
Protocols:
-
儲存條件:Upon receipt, store at -20°C or -80°C. Avoid repeated freeze.
-
貨期:Basically, we can dispatch the products out in 1-3 working days after receiving your orders. Delivery time maybe differs from different purchasing way or location, please kindly consult your local distributors for specific delivery time.
-
用途:For Research Use Only. Not for use in diagnostic or therapeutic procedures.
相關產品
靶點詳情
-
功能:Necessary for correct organization of Golgi apparatus. Involved in bone development.
-
基因功能參考文獻:
- Dymeclin is crucial for proper myelination and anterograde neuronal trafficking, two processes that are highly active during postnatal brain maturation. PMID: 25652408
- The clinical diagnosis was confirmed with molecular analysis of DYM with a known mutation at c.580C>T (p.R194X). PMID: 24300288
- A novel homozygous splice-site mutation (IVS15+3G>T)of dymeclin gene in the 18q12-12.1 chromosomal region was detected in Dyggve-Melchior-Clausen syndrome. PMID: 20865280
- Data reveal Dymeclin driven processes central to bone development pathways, including Golgi organization, Golgi-coupled protein secretion, and collagen deposition in the extracellular matrix. PMID: 21280149
- dymeclin gene has a role in Golgi function and vesicular transport in the presynapse in schizophrenia in the Japanese population PMID: 20555340
- Gene mutations in a novel, evolutionarily conserved gene are identified in both rare autosomal recessive osteochondrodysplasias (DMC and SMC). PMID: 12491225
- Mutations cause Dyggve-Melchior-Clausen syndrome. Normal function may be in process of intracellular digestion of proteins. PMID: 12554689
- DYM mutations associated with Dyggve-Melchior-Clausen dysplasia result in mis-localization of Dymeclin. PMID: 18996921
顯示更多
收起更多
-
相關疾病:Dyggve-Melchior-Clausen syndrome (DMC); Smith-McCort dysplasia 1 (SMC1)
-
亞細胞定位:Cytoplasm. Golgi apparatus. Membrane; Lipid-anchor. Note=Sequence analysis programs clearly predict 1 transmembrane region. However, PubMed:18996921 shows that it is not a stably anchored transmembrane protein but it weakly associates with the Golgi apparatus and shuttles between the Golgi and the cytosol.
-
蛋白家族:Dymeclin family
-
組織特異性:Expressed in most embryo-fetal and adult tissues. Abundant in primary chondrocytes, osteoblasts, cerebellum, kidney, lung, stomach, heart, pancreas and fetal brain. Very low or no expression in the spleen, thymus, esophagus, bladder and thyroid gland.
-
數據庫鏈接:
Most popular with customers
-
-
Phospho-YAP1 (S127) Recombinant Monoclonal Antibody
Applications: ELISA, WB, IHC
Species Reactivity: Human
-
-
-
-
-
-















