DYNC2H1 Antibody
-
中文名稱:DYNC2H1兔多克隆抗體
-
貨號:CSB-PA818763LA01HU
-
規格:¥440
-
圖片:
-
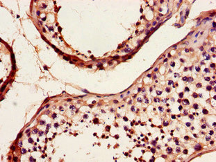
Immunohistochemistry of paraffin-embedded human testis tissue using CSB-PA818763LA01HU at dilution of 1:100
-
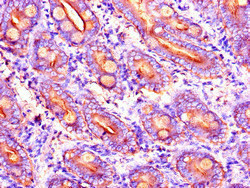
Immunohistochemistry of paraffin-embedded human small intestine tissue using CSB-PA818763LA01HU at dilution of 1:100
-
Immunofluorescent analysis of Hela cells using CSB-PA818763LA01HU at dilution of 1:100 and Alexa Fluor 488-congugated AffiniPure Goat Anti-Rabbit IgG(H+L)
-
Western Blot
Positive WB detected in Recombinant protein
All lanes: DYNC2H1 antibody at 2.8µg/ml
Secondary
Goat polyclonal to rabbit IgG at 1/50000 dilution
Predicted band size: 45 kDa
Observed band size: 45 kDa
-
-
其他:
產品詳情
-
產品名稱:Rabbit anti-Homo sapiens (Human) DYNC2H1 Polyclonal antibody
-
Uniprot No.:
-
基因名:DYNC2H1
-
別名:Cytoplasmic dynein 2 heavy chain 1 antibody; Cytoplasmic dynein 2 heavy chain antibody; DYHC2_HUMAN antibody; DYNC2H1 antibody; Dynein cytoplasmic heavy chain 2 antibody; Dynein heavy chain 11 antibody; Dynein heavy chain isotype 1B antibody; hDHC11 antibody
-
宿主:Rabbit
-
反應種屬:Human
-
免疫原:Recombinant Human Cytoplasmic dynein 2 heavy chain 1 protein (1928-2065AA)
-
免疫原種屬:Homo sapiens (Human)
-
標記方式:Non-conjugated
本頁面中的產品,DYNC2H1 Antibody (CSB-PA818763LA01HU),的標記方式是Non-conjugated。對于DYNC2H1 Antibody,我們還提供其他標記。見下表:
-
克隆類型:Polyclonal
-
抗體亞型:IgG
-
純化方式:>95%, Protein G purified
-
濃度:It differs from different batches. Please contact us to confirm it.
-
保存緩沖液:Preservative: 0.03% Proclin 300
Constituents: 50% Glycerol, 0.01M PBS, pH 7.4 -
產品提供形式:Liquid
-
應用范圍:ELISA, WB, IHC, IF
-
推薦稀釋比:
Application Recommended Dilution WB 1:500-1:5000 IHC 1:20-1:200 IF 1:50-1:200 -
Protocols:
-
儲存條件:Upon receipt, store at -20°C or -80°C. Avoid repeated freeze.
-
貨期:Basically, we can dispatch the products out in 1-3 working days after receiving your orders. Delivery time maybe differs from different purchasing way or location, please kindly consult your local distributors for specific delivery time.
-
用途:For Research Use Only. Not for use in diagnostic or therapeutic procedures.
相關產品
靶點詳情
-
功能:May function as a motor for intraflagellar retrograde transport. Functions in cilia biogenesis. May play a role in transport between endoplasmic reticulum and Golgi or organization of the Golgi in cells.
-
基因功能參考文獻:
- This is the first report of prenatal diagnosis of DYNC2H1 mutations causing Short-rib polydactyly syndrome (SRPS) Type III in a fetus with increased BPD associated with polyhydramnios in China. PMID: 29359448
- In all three cases, exome sequence analysis revealed compound heterozygosity for mutations in DYNC2H1, which encodes the main component of the retrograde IFT A motor, cytoplasmic dynein 2 heavy chain 1. Thus SRP type I, II, III and asphyxiating thoracic dystrophy (ATD), which also result from DYNC2H1 mutations. PMID: 27925158
- Compound heterozygous mutations in DYNC2H1 and ALOX15 were identified in miscarriages from two families with RPL. DYNC2H1 is involved in cilia biogenesis and has been associated with fetal lethality in humans. ALOX15 is expressed in placenta and its dysregulation has been associated with inflammation, placental, dysfunction, abnormal oxidative stress response and angiogenesis. PMID: 26826164
- next-generation panel sequencing identified novel mutations in the DYNC2H1 gene. The fetus was compound heterozygous for both a missense mutation c.8313A > T and a frameshift mutation c.10711_10714delTTTA in the DYNC2H1 gene, which were inherited from the mother and father, respectively PMID: 27323140
- Compound heterozygous mutation in DYNC2H1 gene is associated with severe short-rib polydactyly syndrome type III. PMID: 25410398
- Gene-based association analyses shows nominal significant association with multifocal fibromuscular dysplasia for cynein cytoplasmic heavy chain 1. PMID: 26147384
- a DYNC2H1 mutations causing SRPS III PMID: 25982780
- Partial depletion of giantin or of WDR34 leads to an increase in cilia length consistent with the concept that giantin acts through dynein-2. PMID: 24046448
- Exome sequencing identifies DYNC2H1 mutations as a common cause of asphyxiating thoracic dystrophy (Jeune syndrome) without major polydactyly, renal or retinal involvement. PMID: 23456818
- This study confirms that NEK1 is one gene causing SRP type II but also reports mutations in DYNC2H1, expanding the phenotypic spectrum of DYNC2H1 mutations. PMID: 22499340
- In an in vitro MT gliding assay, both dynein-1 and dynein-2 showed minus-end-directed motor activities. PMID: 21723285
- Semi-quantitative RT-PCR experiments with 6 of those genes confirmed higher expression of DNCH2, ARHGEF6, NPM1 and SRI and lower expression of NRGN and TM4SF2 in GBM tumors. PMID: 16320026
- short-rib polydactyly syndrome affected individuals were homozygous for an exon 12 missense mutation that predicted the amino acid substitution R587C PMID: 19361615
- ATD and SRP type III are variants of a single disorder belonging to the ciliopathy group. PMID: 19442771
顯示更多
收起更多
-
相關疾病:Short-rib thoracic dysplasia 3 with or without polydactyly (SRTD3)
-
亞細胞定位:Cytoplasm, cytoskeleton, cilium axoneme. Cell membrane; Peripheral membrane protein. Cytoplasm.
-
蛋白家族:Dynein heavy chain family
-
數據庫鏈接:
Most popular with customers
-
YWHAB Recombinant Monoclonal Antibody
Applications: ELISA, WB, IHC, IF, FC
Species Reactivity: Human, Mouse, Rat
-
Phospho-YAP1 (S127) Recombinant Monoclonal Antibody
Applications: ELISA, WB, IHC
Species Reactivity: Human
-
-
-
-
-
-















