E2F5 Antibody
-
中文名稱:E2F5兔多克隆抗體
-
貨號:CSB-PA624021LA01HU
-
規格:¥440
-
圖片:
-
Western Blot
Positive WB detected in: HepG2 whole cell lysate, PC-3 whole cell lysate, Rat liver tissue, Mouse liver tissue
All lanes: E2F5 antibody at 5µg/ml
Secondary
Goat polyclonal to rabbit IgG at 1/50000 dilution
Predicted band size: 38, 21 kDa
Observed band size: 38 kDa -
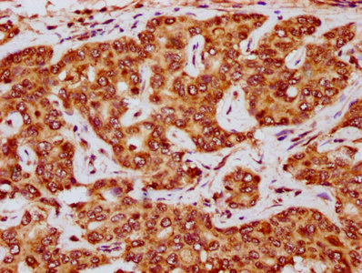
IHC image of CSB-PA624021LA01HU diluted at 1:200 and staining in paraffin-embedded human liver cancer performed on a Leica BondTM system. After dewaxing and hydration, antigen retrieval was mediated by high pressure in a citrate buffer (pH 6.0). Section was blocked with 10% normal goat serum 30min at RT. Then primary antibody (1% BSA) was incubated at 4°C overnight. The primary is detected by a biotinylated secondary antibody and visualized using an HRP conjugated SP system.
-
-
其他:
產品詳情
-
產品名稱:Rabbit anti-Homo sapiens (Human) E2F5 Polyclonal antibody
-
Uniprot No.:
-
基因名:
-
別名:E2F 5 antibody; E2F transcription factor 5 antibody; E2F transcription factor 5 p130 binding antibody; E2F-5 antibody; E2f5 antibody; E2F5_HUMAN antibody; p130 binding antibody; Transcription factor E2F5 antibody
-
宿主:Rabbit
-
反應種屬:Human, Mouse, Rat
-
免疫原:Recombinant Human Transcription factor E2F5 protein (193-298AA)
-
免疫原種屬:Homo sapiens (Human)
-
標記方式:Non-conjugated
本頁面中的產品,E2F5 Antibody (CSB-PA624021LA01HU),的標記方式是Non-conjugated。對于E2F5 Antibody,我們還提供其他標記。見下表:
-
克隆類型:Polyclonal
-
抗體亞型:IgG
-
純化方式:>95%, Protein G purified
-
濃度:It differs from different batches. Please contact us to confirm it.
-
保存緩沖液:Preservative: 0.03% Proclin 300
Constituents: 50% Glycerol, 0.01M PBS, pH 7.4 -
產品提供形式:Liquid
-
應用范圍:ELISA, WB, IHC
-
推薦稀釋比:
Application Recommended Dilution WB 1:500-1:5000 IHC 1:200-1:500 -
Protocols:
-
儲存條件:Upon receipt, store at -20°C or -80°C. Avoid repeated freeze.
-
貨期:Basically, we can dispatch the products out in 1-3 working days after receiving your orders. Delivery time maybe differs from different purchasing way or location, please kindly consult your local distributors for specific delivery time.
-
用途:For Research Use Only. Not for use in diagnostic or therapeutic procedures.
相關產品
靶點詳情
-
功能:Transcriptional activator that binds to E2F sites, these sites are present in the promoter of many genes whose products are involved in cell proliferation. May mediate growth factor-initiated signal transduction. It is likely involved in the early responses of resting cells to growth factor stimulation. Specifically required for multiciliate cell differentiation: together with MCIDAS and E2F5, binds and activate genes required for centriole biogenesis.
-
基因功能參考文獻:
- High E2F5 expression is associated with Glioma. PMID: 29362021
- knockdown of E2F5 and PFTK1 mimicked the tumor-suppressive effects of miR-1-3p overexpression on PCa progression. Conversely, concomitant knockdown of miR-1-3p and E2F5 and PFTK1 substantially reversed the inhibitory effects of either E2F5 or PFTK1 silencing alone. PMID: 30185212
- miR-1179 overexpression could also inhibit tumor growth in vivo by suppressing the expression of E2F5. PMID: 29859832
- FOXN3 functions as a tumor suppressor in hepatocellular carcinoma by downregulating the expression of E2F5. PMID: 27259277
- Taken together, these findings indicated that SNHG16 induces breast cancer cell migration by competitively binding miR-98 with E2F5. PMID: 28232182
- Our data collectively indicate that miR-613 functions as a tumor suppressor in retinoblastoma through downregulating E2F5, supporting the targeting of the novel miR-613/E2F5 axis as a potentially effective therapeutic approach for retinoblastoma. PMID: 28351331
- MiR-34a was down-regulated in colorectal cancer cells and inversely correlated with FMNL2 and E2F5 expressions. Our study suggests that miR-34a is an important tumor suppressor of CRC progression by targeting FMNL2 and E2F5. PMID: 26103003
- miR-98 regulates muscle differentiation by altering the expression of the transcription factor E2F5 and, in turn, of multiple E2F5 targets. PMID: 25422988
- In hepatocellular carcinoma cells hepatitis B virus down-regulates E2F5 expression by up-regulating expression of miR-181a. PMID: 24529171
- expression of E2F5 in esphageal squamous cell cancer (ESCC) may be correlated with a worse prognosis of patients with ESCC PMID: 24324077
- E2F5 may be a novel potential candidate marker for malignant prostate cancer PMID: 23377984
- Data indicate that E2F5 is commonly overexpressed in primary hepatocellular carcinomas and show that E2F5 knockdown significantly repressed the growth of HCC cells. PMID: 21274376
- cell-cycle regulatory protein E2F5 might play a significant role in epithelial ovarian cancer pathogenesis PMID: 20181230
- Diverting the function of E2F5 from a cell-cycle repressor into an activator might contribute to the higher oncogenic potential of HPV18 when compared with other high-risk HPV types. PMID: 20639900
- the subcellular distribution of E2F-5 is tightly regulated in intact cells, through multiple functional domains that direct nucleocytoplasmic shuttling of this protein. PMID: 12089160
- EBV LPM1 blocks p16INK4 pathway by promoting nuclear export of E2F-5. PMID: 12860972
- E2F5 protein is down-regulated late in embryogenesis PMID: 16172982
- Overexpression of E2F5/p130 in post-mitotic lens fiber cells does not affect normal differentiation, but can inhibit inappropriate cell cycle reentry induced by activator E2Fs. P130 is key player in inhibitory process. PMID: 18385796
- Overexpression of E2F-5 correlates with a pathological basal phenotype and a worse clinical outcome. PMID: 19259095
顯示更多
收起更多
-
亞細胞定位:Nucleus.
-
蛋白家族:E2F/DP family
-
數據庫鏈接:
Most popular with customers
-
YWHAB Recombinant Monoclonal Antibody
Applications: ELISA, WB, IHC, IF, FC
Species Reactivity: Human, Mouse, Rat
-
Phospho-YAP1 (S127) Recombinant Monoclonal Antibody
Applications: ELISA, WB, IHC
Species Reactivity: Human
-
-
-
-
-
-















