E2F7 Antibody
-
中文名稱:E2F7兔多克隆抗體
-
貨號:CSB-PA031927
-
規格:¥1100
-
圖片:
-
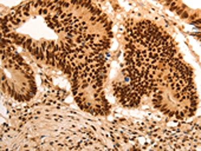
The image on the left is immunohistochemistry of paraffin-embedded Human colon cancer tissue using CSB-PA031927(E2F7 Antibody) at dilution 1/60, on the right is treated with synthetic peptide. (Original magnification: ×200)
-
The image on the left is immunohistochemistry of paraffin-embedded Human gastic cancer tissue using CSB-PA031927(E2F7 Antibody) at dilution 1/60, on the right is treated with synthetic peptide. (Original magnification: ×200)
-
-
其他:
產品詳情
-
Uniprot No.:
-
基因名:E2F7
-
別名:E2F 7 antibody; E2F transcription factor 7 antibody; E2F-7 antibody; E2f7 antibody; E2F7_HUMAN antibody; FLJ12981 antibody; Transcription factor E2F7 antibody
-
宿主:Rabbit
-
反應種屬:Human
-
免疫原:Synthetic peptide of Human E2F7
-
免疫原種屬:Homo sapiens (Human)
-
標記方式:Non-conjugated
-
抗體亞型:IgG
-
純化方式:Antigen affinity purification
-
濃度:It differs from different batches. Please contact us to confirm it.
-
保存緩沖液:-20°C, pH7.4 PBS, 0.05% NaN3, 40% Glycerol
-
產品提供形式:Liquid
-
應用范圍:ELISA,IHC
-
推薦稀釋比:
Application Recommended Dilution ELISA 1:1000-1:5000 IHC 1:50-1:200 -
Protocols:
-
儲存條件:Upon receipt, store at -20°C or -80°C. Avoid repeated freeze.
-
貨期:Basically, we can dispatch the products out in 1-3 working days after receiving your orders. Delivery time maybe differs from different purchasing way or location, please kindly consult your local distributors for specific delivery time.
-
用途:For Research Use Only. Not for use in diagnostic or therapeutic procedures.
相關產品
靶點詳情
-
功能:Atypical E2F transcription factor that participates in various processes such as angiogenesis, polyploidization of specialized cells and DNA damage response. Mainly acts as a transcription repressor that binds DNA independently of DP proteins and specifically recognizes the E2 recognition site 5'-TTTC[CG]CGC-3'. Directly represses transcription of classical E2F transcription factors such as E2F1. Acts as a regulator of S-phase by recognizing and binding the E2-related site 5'-TTCCCGCC-3' and mediating repression of G1/S-regulated genes. Plays a key role in polyploidization of cells in placenta and liver by regulating the endocycle, probably by repressing genes promoting cytokinesis and antagonizing action of classical E2F proteins (E2F1, E2F2 and/or E2F3). Required for placental development by promoting polyploidization of trophoblast giant cells. Also involved in DNA damage response: up-regulated by p53/TP53 following genotoxic stress and acts as a downstream effector of p53/TP53-dependent repression by mediating repression of indirect p53/TP53 target genes involved in DNA replication. Acts as a promoter of sprouting angiogenesis, possibly by acting as a transcription activator: associates with HIF1A, recognizes and binds the VEGFA promoter, which is different from canonical E2 recognition site, and activates expression of the VEGFA gene. Acts as a negative regulator of keratinocyte differentiation.
-
基因功能參考文獻:
- These findings revealed that a feedback loop between miR-26a and E2F7 may promote Tamoxifen resistance in estrogen receptor -positive breast cancer. PMID: 30066905
- MiR-3666/E2F7 may play a key role in regulating the inhibitory effects of ATRA on HCT116 cells. PMID: 29772445
- E2F7 might act as an independent prognostic factor of gliomas and might constitute a potential therapeutic target for this disease PMID: 27460513
- E2F7 overexpression leads to tamoxifen resistance in breast cancer by competing with E2F1 at miR-15a/16 promoter. PMID: 26397135
- RacGAP1 Is a Novel Downstream Effector of E2F7-Dependent Resistance to Doxorubicin and Is Prognostic for Overall Survival in Squamous Cell Carcinoma PMID: 26018753
- Findings indicate that miR-424 targets the E2F7 transcript and suppresses endometrial cancer cell growth. Knockdown of E2F7 inhibited Ishikawa and HEC-1B cell growth. PMID: 25708247
- E2F7 directly increases the transcription and activity of the Sphk1/S1P axis resulting in activation of AKT and subsequent drug resistance. PMID: 25411162
- E2F-7 can co-localize with gammaH2AX and 53BP1 in DNA damaged cells, bind directly to the recombining DNA, and, importantly, interact and recruit accessory factors, including CtBP and HDAC1 and 2, to the DSB. PMID: 23974101
- E2F7 recruits the co-repressor C-terminal-binding protein (CtBP) and that CtBP2 is essential for E2F7 to repress E2F1 transcription. PMID: 23853115
- Low E2F7 expression is associated with B-chronic lymphocytic leukemia. PMID: 23054209
- MicroRNA-26a target E2F7 sustains cell proliferation and inhibits monocytic differentiation of acute myeloid leukemia cells. PMID: 23096114
- E2F7-dependent mechanism contributes to p53-dependent cell cycle arrest in response to DNA damage. PMID: 22802528
- identify a causal role for E2F7 in cellular senescence and uncover a novel link between the RB and p53 pathways. PMID: 22802529
- These data indicate that loss of E2F7 during the initiation of differentiation leads to the derepression of Sp1 and subsequent transcription of differentiation-specific genes such as epidermal type I transglutaminase. PMID: 21248772
- Plays an essential role in the regulation of cell cycle progression. PMID: 14633988
- down-regulation of E2F7 may contribute to mechanisms underlying platinum resistance in ovarian neoplasms PMID: 17200349
- selected disruption of E2F1 and E2F7 in keratinocytes is likely to contribute to cutaneous squamous cell carcinomas (CSCC) formation and may prove to be a viable therapeutic target. PMID: 19223542
顯示更多
收起更多
-
亞細胞定位:Nucleus.
-
蛋白家族:E2F/DP family
-
數據庫鏈接:
Most popular with customers
-
YWHAB Recombinant Monoclonal Antibody
Applications: ELISA, WB, IHC, IF, FC
Species Reactivity: Human, Mouse, Rat
-
Phospho-YAP1 (S127) Recombinant Monoclonal Antibody
Applications: ELISA, WB, IHC
Species Reactivity: Human
-
-
-
-
-
-















