EEF2KMT Antibody
-
中文名稱:EEF2KMT兔多克隆抗體
-
貨號:CSB-PA853420LA01HU
-
規格:¥880
-
圖片:
-
Western Blot
Positive WB detected in: Hela whole cell lysate(20μg), HepG2 whole cell lysate(20μg), 293Twhole cell lysate(20μg), THP-1 whole cell lysate(20μg), MCF7 whole cell lysate(20μg), A431 whole cell lysate(20μg)
All lanes: EEF2KMT antibody at 1:1000
Secondary
Goat polyclonal to rabbit IgG at 1/20000 dilution
Predicted band size: 37, 34 kDa
Observed band size: 37 kDa
Exposure time: 60s -
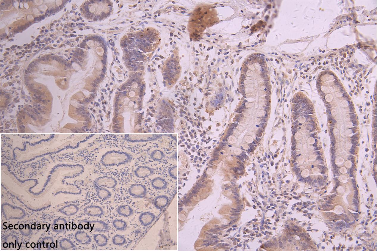
IHC image of CSB-PA853420LA01HU diluted at 1:100 and staining in paraffin-embedded human small intestine tissue performed on a Leica BondTM system. After dewaxing and hydration, antigen retrieval was mediated by high pressure in a citrate buffer (pH 6.0). Section was blocked with 10% normal goat serum 30min at RT. Then primary antibody (1% BSA) was incubated at 4°C overnight. The primary is detected by a Goat anti-rabbit polymer IgG labeled by HRP and visualized using 0.05% DAB. Secondary antibody only control: uses 1% BSA instead of primary antibody
-
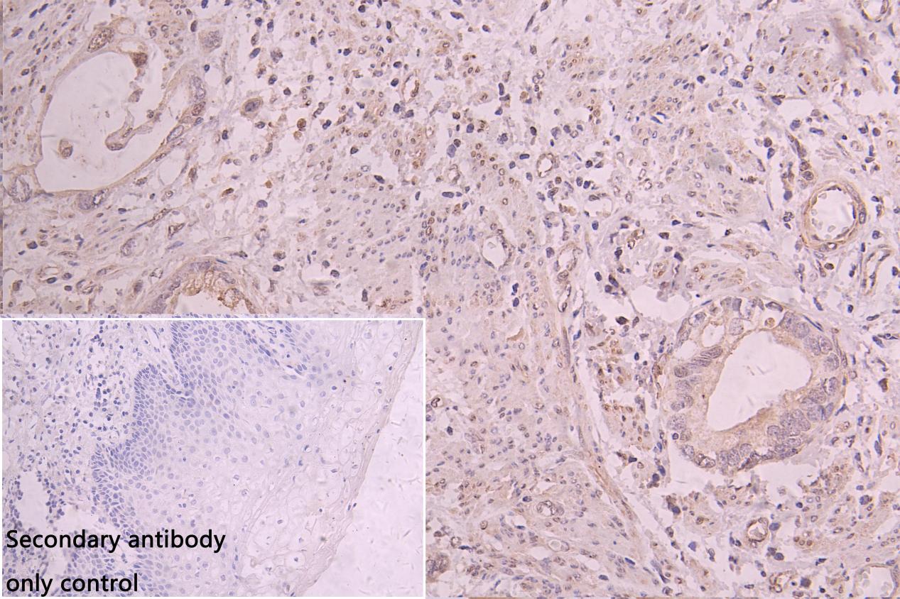
IHC image of CSB-PA853420LA01HU diluted at 1:100 and staining in paraffin-embedded human cervical cancer performed on a Leica BondTM system. After dewaxing and hydration, antigen retrieval was mediated by high pressure in a citrate buffer (pH 6.0). Section was blocked with 10% normal goat serum 30min at RT. Then primary antibody (1% BSA) was incubated at 4°C overnight. The primary is detected by a Goat anti-rabbit polymer IgG labeled by HRP and visualized using 0.05% DAB. Secondary antibody only control: uses 1% BSA instead of primary antibody
-
-
其他:
產品詳情
-
產品名稱:Rabbit anti-Homo sapiens (Human) EEF2KMT Polyclonal antibody
-
Uniprot No.:
-
基因名:EEF2KMT
-
別名:EEF2KMT antibody; FAM86A antibody; SB153Protein-lysine N-methyltransferase EEF2KMT antibody; EC 2.1.1.- antibody; eEF2-lysine methyltransferase antibody; eEF2-KMT antibody
-
宿主:Rabbit
-
反應種屬:Human
-
免疫原:Synthesized peptide derived from human FA86A
-
免疫原種屬:Homo sapiens (Human)
-
克隆類型:Polyclonal
-
抗體亞型:IgG
-
純化方式:Antigen affinity purification
-
濃度:It differs from different batches. Please contact us to confirm it.
-
保存緩沖液:Liquid in PBS containing 50% glycerol, 0.5% BSA and 0.02% sodium azide.
-
產品提供形式:Liquid
-
應用范圍:ELISA, WB, IHC
-
推薦稀釋比:
Application Recommended Dilution WB 1:1000-1:3000 IHC 1:100-1:300 -
Protocols:
-
儲存條件:Upon receipt, store at -20°C or -80°C. Avoid repeated freeze.
-
貨期:Basically, we can dispatch the products out in 1-3 working days after receiving your orders. Delivery time maybe differs from different purchasing way or location, please kindly consult your local distributors for specific delivery time.
-
用途:For Research Use Only. Not for use in diagnostic or therapeutic procedures.
相關產品
靶點詳情
-
功能:Catalyzes the trimethylation of eukaryotic elongation factor 2 (EEF2) on 'Lys-525'.
-
基因功能參考文獻:
- Previously uncharacterized lysine-specific methyltransferase FAM86A and Yjr129c introduce a functionally important lysine methylation in eEF2. PMID: 25231979
-
亞細胞定位:Cytoplasm.
-
蛋白家族:Class I-like SAM-binding methyltransferase superfamily, EEF2KMT family
-
數據庫鏈接:
Most popular with customers
-
-
YWHAB Recombinant Monoclonal Antibody
Applications: ELISA, WB, IHC, IF, FC
Species Reactivity: Human, Mouse, Rat
-
Phospho-YAP1 (S127) Recombinant Monoclonal Antibody
Applications: ELISA, WB, IHC
Species Reactivity: Human
-
-
-
-
-















