-
中文名稱:EHD2兔多克隆抗體
-
貨號:CSB-PA873710LA01HU
-
規格:¥440
-
圖片:
-
Western Blot
Positive WB detected in: Hela whole cell lysate, Mouse liver tissue, Mouse kidney tissue
All lanes: EHD2 antibody at 3μg/ml
Secondary
Goat polyclonal to rabbit IgG at 1/50000 dilution
Predicted band size: 62, 47 kDa
Observed band size: 62, 47 kDa -
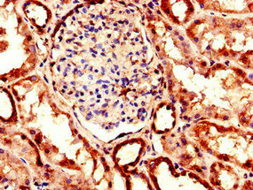
Immunohistochemistry of paraffin-embedded human kidney tissue using CSB-PA873710LA01HU at dilution of 1:100
-
Immunofluorescent analysis of Hela cells using CSB-PA873710LA01HU at dilution of 1:100 and Alexa Fluor 488-congugated AffiniPure Goat Anti-Rabbit IgG(H+L)
-
-
其他:
產品詳情
-
產品描述:
The EHD2 antibody is prepared by immunizing rabbits with the recombinant human EHD2 protein (401-543AA) and by purifying rabbit antiserum by protein G. It is a polyclonal antibody and exists an unconjugated IgG. Protein G purified EHD2 antibody reaches up to 95% in purity. It is reactive with human and mouse EHD2 protein. The target protein EHD2 is a dynamin-related ATPase located at the neck of caveolae and negatively regulates caveolae-dependent lipid uptake and plays a role in caveolar stability and dynamics for lipid homeostasis and obesity. This EHD2 antibody is suitable for the detection of ELISA, WB, IF, and IHC applications.
-
產品名稱:Rabbit anti-Homo sapiens (Human) EHD2 Polyclonal antibody
-
Uniprot No.:
-
基因名:
-
別名:EH domain containing 2 antibody; EH domain containing 3 antibody; EH domain containing protein 2 antibody; EH domain-containing protein 2 antibody; EHD 2 antibody; Ehd2 antibody; EHD2_HUMAN antibody; EHD3 antibody; FLJ96617 antibody; PAST 2 antibody; PAST homolog 2 antibody; PAST2 antibody
-
宿主:Rabbit
-
反應種屬:Human, Mouse
-
免疫原:Recombinant Human EH domain-containing protein 2 protein (401-543AA)
-
免疫原種屬:Homo sapiens (Human)
-
標記方式:Non-conjugated
本頁面中的產品,EHD2 Antibody (CSB-PA873710LA01HU),的標記方式是Non-conjugated。對于EHD2 Antibody,我們還提供其他標記。見下表:
-
克隆類型:Polyclonal
-
抗體亞型:IgG
-
純化方式:>95%, Protein G purified
-
濃度:It differs from different batches. Please contact us to confirm it.
-
保存緩沖液:Preservative: 0.03% Proclin 300
Constituents: 50% Glycerol, 0.01M PBS, PH 7.4 -
產品提供形式:Liquid
-
應用范圍:ELISA, WB, IHC, IF
-
推薦稀釋比:
Application Recommended Dilution WB 1:500-1:5000 IHC 1:20-1:200 IF 1:50-1:200 -
Protocols:
-
儲存條件:Upon receipt, store at -20°C or -80°C. Avoid repeated freeze.
-
貨期:Basically, we can dispatch the products out in 1-3 working days after receiving your orders. Delivery time maybe differs from different purchasing way or location, please kindly consult your local distributors for specific delivery time.
-
用途:For Research Use Only. Not for use in diagnostic or therapeutic procedures.
引用文獻
- Plasma membrane curvature regulates the formation of contacts with the endoplasmic reticulum Y Yang, LA Valencia, CH Lu, ML Nakamoto,Nature Cell Biology,2024
- Membrane Curvature Promotes ER-PM Contact Formation via Junctophilin-EHD Interactions Y Yang,bioRxiv,2024
相關產品
靶點詳情
-
功能:ATP- and membrane-binding protein that controls membrane reorganization/tubulation upon ATP hydrolysis. Plays a role in membrane trafficking between the plasma membrane and endosomes. Important for the internalization of GLUT4. Required for fusion of myoblasts to skeletal muscle myotubes. Required for normal translocation of FER1L5 to the plasma membrane. Regulates the equilibrium between cell surface-associated and cell surface-dissociated caveolae by constraining caveolae at the cell membrane.
-
基因功能參考文獻:
- Our prognostic model is useful for predicting persistent/recurrent disease after surgery of Papillary thyroid carcinoma (PTC). EHD2 mRNA expression could be a novel prognostic marker for PTC patients. PMID: 28358874
- EHD2 expression, along with the epithelial marker E-cadherin, was markedly reduced in tumor tissues than in adjacent noncancerous tissues. Molecular data indicated that EHD2 inhibited migration and invasion of hepatocellular carcinoma probably by interacting with E-cadherin. PMID: 27221498
- Data suggest that the EH-domain containing 2 protein (EHD2) NPF phenylalanine residue is crucial for EHD2 localization to the plasma membrane, whereas the proline residue is essential for EHD2 dimerization and binding. PMID: 25875965
- EHD2 can inhibit the metastasis of human breast cancer by regulating the epithelial-to-mesenchymal transition markers E-cadherin and N-cadherin. PMID: 25758127
- Downregulation of EHD2 was associated with migration and invasion by abrogating the expression of Rac1 in breast cancer patients. PMID: 25557791
- Phosphatidylinositol 4,5-bisphosphate controls EHD2 plasma membrane localization. PMID: 24040268
- Our results suggested that EHD2 low expression is involved in the pathogenesis of human esophageal squamous cell carcinoma PMID: 23354948
- EHD2 participates in the sarcolemma repair. PMID: 22679923
- Assembly of EHD2 stabilized and constrained caveolae to the plasma membrane to control turnover, and depletion of EHD2, resulting in endocytic and more dynamic and short-lived caveolae. PMID: 22323287
- Among three EHD proteins (EHD1-EHD3) that were tested, only EHD2 accumulates in the nucleus under nuclear export inhibition treatment. PMID: 22448906
- Confining caveolae to the plasma membrane by EHD2 relied on its capacity to link caveolae to actin filaments. PMID: 22505029
- EHD2 regulates trafficking from the plasma membrane by controlling Rac1 activity. PMID: 21756249
顯示更多
收起更多
-
亞細胞定位:Cell membrane; Peripheral membrane protein; Cytoplasmic side. Membrane, caveola; Peripheral membrane protein; Cytoplasmic side. Endosome membrane; Peripheral membrane protein; Cytoplasmic side. Cytoplasm, cytosol.
-
蛋白家族:TRAFAC class dynamin-like GTPase superfamily, Dynamin/Fzo/YdjA family, EHD subfamily
-
組織特異性:Highly expressed in heart and moderately expressed in placenta, lung, and skeletal muscle.
-
數據庫鏈接:
Most popular with customers
-
-
YWHAB Recombinant Monoclonal Antibody
Applications: ELISA, WB, IHC, IF, FC
Species Reactivity: Human, Mouse, Rat
-
Phospho-YAP1 (S127) Recombinant Monoclonal Antibody
Applications: ELISA, WB, IHC
Species Reactivity: Human
-
-
-
-
-















