EIF2AK3 Antibody
-
中文名稱:EIF2AK3兔多克隆抗體
-
貨號:CSB-PA007512LA01HU
-
規格:¥440
-
圖片:
-
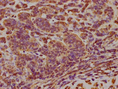
IHC image of CSB-PA007512LA01HU diluted at 1:300 and staining in paraffin-embedded human ovarian cancer performed on a Leica BondTM system. After dewaxing and hydration, antigen retrieval was mediated by high pressure in a citrate buffer (pH 6.0). Section was blocked with 10% normal goat serum 30min at RT. Then primary antibody (1% BSA) was incubated at 4°C overnight. The primary is detected by a biotinylated secondary antibody and visualized using an HRP conjugated SP system.
-
IHC image of CSB-PA007512LA01HU diluted at 1:300 and staining in paraffin-embedded human small intestine tissue performed on a Leica BondTM system. After dewaxing and hydration, antigen retrieval was mediated by high pressure in a citrate buffer (pH 6.0). Section was blocked with 10% normal goat serum 30min at RT. Then primary antibody (1% BSA) was incubated at 4°C overnight. The primary is detected by a biotinylated secondary antibody and visualized using an HRP conjugated SP system.
-
Immunofluorescence staining of Hela cells with CSB-PA007512LA01HU at 1:100, counter-stained with DAPI. The cells were fixed in 4% formaldehyde, permeabilized using 0.2% Triton X-100 and blocked in 10% normal Goat Serum. The cells were then incubated with the antibody overnight at 4°C. The secondary antibody was Alexa Fluor 488-congugated AffiniPure Goat Anti-Rabbit IgG(H+L).
-
-
其他:
產品詳情
-
產品名稱:Rabbit anti-Homo sapiens (Human) EIF2AK3 Polyclonal antibody
-
Uniprot No.:
-
基因名:
-
別名:DKFZp781H1925 antibody; E2AK3_HUMAN antibody; EC 2.7.11.1 antibody; Eif2ak3 antibody; Eukaryotic translation initiation factor 2 alpha kinase 3 antibody; Eukaryotic translation initiation factor 2-alpha kinase 3 antibody; Heme regulated EIF2 alpha kinase antibody; HRI antibody; HsPEK antibody; Pancreatic eIF2 alpha kinase antibody; Pancreatic eIF2-alpha kinase antibody; PEK antibody; PRKR like endoplasmic reticulum kinase antibody; PRKR-like endoplasmic reticulum kinase antibody; WRS antibody
-
宿主:Rabbit
-
反應種屬:Human
-
免疫原:Recombinant Human Eukaryotic translation initiation factor 2-alpha kinase 3 protein (115-330AA)
-
免疫原種屬:Homo sapiens (Human)
-
標記方式:Non-conjugated
本頁面中的產品,EIF2AK3 Antibody (CSB-PA007512LA01HU),的標記方式是Non-conjugated。對于EIF2AK3 Antibody,我們還提供其他標記。見下表:
-
克隆類型:Polyclonal
-
抗體亞型:IgG
-
純化方式:>95%, Protein G purified
-
濃度:It differs from different batches. Please contact us to confirm it.
-
保存緩沖液:Preservative: 0.03% Proclin 300
Constituents: 50% Glycerol, 0.01M PBS, pH 7.4 -
產品提供形式:Liquid
-
應用范圍:ELISA, IHC, IF
-
推薦稀釋比:
Application Recommended Dilution IHC 1:200-1:500 IF 1:50-1:200 -
Protocols:
-
儲存條件:Upon receipt, store at -20°C or -80°C. Avoid repeated freeze.
-
貨期:Basically, we can dispatch the products out in 1-3 working days after receiving your orders. Delivery time maybe differs from different purchasing way or location, please kindly consult your local distributors for specific delivery time.
-
用途:For Research Use Only. Not for use in diagnostic or therapeutic procedures.
相關產品
靶點詳情
-
功能:Metabolic-stress sensing protein kinase that phosphorylates the alpha subunit of eukaryotic translation initiation factor 2 (EIF2S1/eIF-2-alpha) in response to various stress conditions. Key activator of the integrated stress response (ISR) required for adaptation to various stress, such as unfolded protein response (UPR) and low amino acid availability. EIF2S1/eIF-2-alpha phosphorylation in response to stress converts EIF2S1/eIF-2-alpha in a global protein synthesis inhibitor, leading to a global attenuation of cap-dependent translation, while concomitantly initiating the preferential translation of ISR-specific mRNAs, such as the transcriptional activators ATF4 and QRICH1, and hence allowing ATF4- and QRICH1-mediated reprogramming. Serves as a critical effector of unfolded protein response (UPR)-induced G1 growth arrest due to the loss of cyclin-D1 (CCND1). Involved in control of mitochondrial morphology and function.
-
基因功能參考文獻:
- phosphorylated PERK and ATF4 would be upregulated in Orexin neurons in Sudden Infant Death Syndrome (SIDS) compared to non-SIDS. PMID: 27796753
- In this paper, we evaluate the clinical features of the patients having W522X mutation and we compare this group with other patients reported to date. Except the characteristic features as diabetes mellitus and epiphyseal dysplasia, all the WRS patients, including patients with W522X mutation, show extensive phenotypic variability that correlates poorly to genotype. PMID: 30204972
- PERK is a master-regulator dictating pancreatic beta cell homoeostasis in development and in diabetes. (Review) PMID: 29168198
- Data suggest the activation of PERK is part of a protective response to mutant rhodopsin that ultimately limits photoreceptor cell death. PMID: 29036441
- Three branches of the Unfolded Protein Response (UPR) have been described, including the activation of the inositol-requiring enzyme 1 (IRE1), the pancreatic ER kinase (PKR)-like ER kinase (PERK), and the activating transcription factor 6 (ATF6). PMID: 28105371
- Our work demonstrates for the first time that the adaptation to endoplasmic reticulum(ER) stress in cancer cells produces a MDR phenotype. The PERK/Nrf2/MRP1 axis is responsible for the resistance to ER stress and chemotherapy, and may represent a good therapeutic target in aggressive and resistant tumors. PMID: 28499449
- miR-204 Targets PERK and Regulates UPR Signaling and beta-Cell Apoptosis PMID: 27384111
- novel findings suggest that HMGB1 triggered EPC apoptosis in a manner of RAGE-mediated activation of the PERK/eIF2alpha pathway. PMID: 28251435
- PERK has a role in mediating the internal ribosome entry site-dependent translational activation of mRNAs encoding angiogenic growth factors after ischemic stress PMID: 27141928
- The present study is the first to uncover a key prosurvival modulator, Yip1A, which coordinates IRE1 signaling with PERK signaling to support the survival of HeLa and CaSki cervical cancer cells. PMID: 28358375
- NDRG2 is a novel ERS-responsive protein and acts as PERK co-factor to facilitate PERK branch, thereby contributing to ERS-induced apoptosis. PMID: 28948615
- To illustrate the mechanism by which the PERK luminal domain interacts with misfolded proteins, the crystal structure of the human PERK luminal domain was determined to 3.2 A resolution. Two dimers of the PERK luminal domain constitute a tetramer in the asymmetric unit. PMID: 27917829
- These results indicated that dual targeting of PI3K and PERK pathways might improve clinical prognosis and enhance the treatment of ESCC patients. PMID: 28867195
- The role of neutrophil elastase in the activation of unfolded protein response effector molecules via PERK and CHOP is reported. PMID: 28507169
- High PERK expression is associated with gastrointestinal neuroendocrine tumors. PMID: 28423496
- The PERK-eIF2alpha-ATF4-CHOP signaling pathway has a critical role in tumor progression during endoplasmic reticulum stress. (Review) PMID: 27211800
- Results unveil a new aspect of PERK function and previously unknown roles for Claspin and Chk1 as negative regulators of DNA replication in the absence of genotoxic stress. PMID: 27375025
- These data indicate that PERK regulates radioresistance in oropharyngeal carcinoma through NF-kB activation-mediated phosphorylation of eIF2alpha PMID: 28418119
- The actin regulator FLNA interacts with the endoplasmic reticulum stress kinase PERK and this interaction is required for the efficient formation of ER-plasma membrane contact sites. PMID: 28238652
- SLC30A10 has a protective role in 1-methyl-4-phenylpyridinium-induced toxicity via PERK-ATF4 pathway. PMID: 28688763
- We reveal distinct binding affinities between the binary and ternary complexes thus formed, that suggest a preference for the PERK signaling branch under stress, and a predilection for the GRP78-UPR sensor complex formation upon stressor removal. These results imply a gated UPR mechanism that tunes the overall cellular behavior to the accumulation of unfolded proteins. PMID: 28416388
- PERK is involved in multivesicular body information during endoplasmic reticulum stress. PMID: 27725157
- These results suggest that PERK signaling promotes medulloblastoma tumorigenesis by attenuating apoptosis of premalignant granule cell precursors during the course of malignant transformation. PMID: 27181404
- we demonstrate that small molecule PERK inhibitors exhibit single agent efficacy against BrafV600E-dependent tumors highlighting the clinical value of targeting PERK PMID: 27977682
- A novel homozygous nonsense mutation (p.Q333) in exon 5 of the eukaryotic translation initiation factor 2-alpha kinase 3 (EIF2AK3) gene in a Wolcott-Rallison syndrome patient, and her parents were first-degree cousins with heterozygous mutations of EIF2AK3 gene. PMID: 27145240
- BiP/GRP78 and PERK were highly expressed. PMID: 27502501
- PERK-eIF2alpha-ATF4 signaling pathway mediated by endoplasmic reticulum stress involved in osteoblast differentiation of periodontal ligament cells under cyclic mechanical force. PMID: 27079961
- EnR stress assessed by expression of PERK and p-eIF2alpha was significantly associated with tumor infiltrating lymphocytes in HER2-positive breast cancer. PMID: 27272779
- Influenza A virus downregulates the host unfolded protein response mediated by the PERK protein. PMID: 27094326
- Using drugs that specifically inhibit or activate the PERK or IRE1alpha sensors, we demonstrate that signalling through the PERK axis activates this expression, through a transcriptional mechanism PMID: 26634309
- Data show CGK733 induced microtubule associated protein LC3B formation upstream of AMP-activated protein kinase and protein kinase RNA-like endoplasmic reticulum kinase/CCAAT-enhancer-binding protein homologous protein pathways and p21 Cip1 expression. PMID: 26486079
- Nitric oxide can S-nitrosylate the endoplasmic reticulum stress sensors IRE1alapha and PERK. PMID: 26446798
- Data from 2 consanguineous families suggest EIF2AK3 mutations (c.1337_1338insT/p.K346*; c.3009C>T/p.R903*) account for Wolcott-Rallison syndrome; ultrastructural features of autopsy materials suggest endoplasmic reticulum dysfunction. [CASE STUDIES] PMID: 25131821
- CGK733-induced intracellular calcium sequestration in pancreatic tumor cells is correlated with the PERK/CHOP signaling pathway and may also be involved in the dysregulations of calcium-binding proteins. PMID: 26259235
- Data indicated that the relative timing of IRE1 and PERK signalling determines the shift from cell survival to apoptosis. PMID: 25633195
- In human alveolar epithelial A549 cells, Lipopolysaccharide induces autophagic cell death that depends on the activation of the PERK branch of the unfolded protein response upon endoplasmic reticulum (ER) stress . PMID: 26279443
- In this review, we particularly focused on the novel, intriguing and complicated role of PERK in ER stress-decided cell fate, and also discussed more roles of PERK in restoring cellular homeostasis PMID: 26225772
- This study demonstrates a new role for CREB as a regulator of ER stress, which is required to properly respond to stressful conditions, such as hypoxia. PMID: 26642955
- PERK-activated osteosarcomatous autophagy via inhibition of the mTORC1 pathway prevents cell apoptosis. PMID: 26078722
- Our results reveal that PERK activation is involved in glioma glycolysis regulation and may be a potential molecular target for glioma treatment. PMID: 25761777
- These results confirm that HIV infection activates stress-response components and that antiretroviral therapy contributes to changes in the unfolded protein response activation profile. PMID: 25976933
- discover that BiP is dual functional UPR sensor, sensing unfolded proteins by canonical binding to substrates and transducing this event to noncanonical, signaling interaction to Ire1 and Perk PMID: 25692299
- ER stress-induced apoptosis was important in the development of SPE, especially in early onset SPE and was probably due to the activation of the PERK signaling pathway. PMID: 25675914
- ER stress-PERK-GSK3alpha/beta signaling promotes proatherogenic macrophage lipid accumulation PMID: 25183803
- interface mutations that disrupt tetramer formation in vitro reduce phosphorylation of PERK and its target eIF2alpha in cells. PMID: 25925385
- TBL2 interacts with PERK via the N-terminus proximal region and also associates with eIF2a via the WD40 domain thus modulating stress-signaling and cell survival during endoplasmic reticulum stress. PMID: 25393282
- In erythroid cells, pull down experiments identified the presence of a novel complex formed by HDAC5, GATA1, EKLF and pERK which was instead undetectable in cells of the megakaryocytic lineage. PMID: 24594363
- To enable a detailed study of PERK signaling we have generated an analog-sensitive PERK allele that accepts N(6)-alkylated ATP analogs. PMID: 24846185
- Neoplastic de-differentiation confers multidrug resistance via non-canonical PERK-Nrf2 signaling. PMID: 25203443
- The study demonstrates that subsequently excessive NO generation in RPE cells can have an unanticipated effect by activating PERK pathways in ECs, resulting in a novel mechanism for vascular endothelium to avoid injury from prolonged hyperglycemia. PMID: 24813399
顯示更多
收起更多
-
相關疾病:Wolcott-Rallison syndrome (WRS)
-
亞細胞定位:Endoplasmic reticulum membrane; Single-pass type I membrane protein.
-
蛋白家族:Protein kinase superfamily, Ser/Thr protein kinase family, GCN2 subfamily
-
組織特異性:Ubiquitous. A high level expression is seen in secretory tissues.
-
數據庫鏈接:
Most popular with customers
-
-
YWHAB Recombinant Monoclonal Antibody
Applications: ELISA, WB, IHC, IF, FC
Species Reactivity: Human, Mouse, Rat
-
Phospho-YAP1 (S127) Recombinant Monoclonal Antibody
Applications: ELISA, WB, IHC
Species Reactivity: Human
-
-
-
-
-















