EIF3E Antibody
-
中文名稱:EIF3E兔多克隆抗體
-
貨號:CSB-PA007534ESR1HU
-
規格:¥440
-
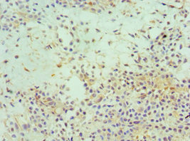
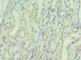
圖片:
-
其他:
產品詳情
-
產品名稱:Rabbit anti-Homo sapiens (Human) EIF3E Polyclonal antibody
-
Uniprot No.:
-
基因名:EIF3E
-
別名:eIF-3 p48 antibody; eIF3e antibody; EIF3E_HUMAN antibody; EIF3S6 antibody; eIFe antibody; Eukaryotic translation initiation factor 3 subunit 6 antibody; Eukaryotic translation initiation factor 3 subunit E antibody; eukaryotic translation initiation factor 3; subunit 6 (48kD) antibody; INT6 antibody; mammary tumor-associated protein INT6 antibody; murine mammary tumor integration site 6 (oncogene homolog) antibody; Viral integration site protein INT-6 homolog antibody
-
宿主:Rabbit
-
反應種屬:Human
-
免疫原:Recombinant Human Eukaryotic translation initiation factor 3 subunit E protein (1-445AA)
-
免疫原種屬:Homo sapiens (Human)
-
標記方式:Non-conjugated
-
克隆類型:Polyclonal
-
抗體亞型:IgG
-
純化方式:Antigen Affinity Purified
-
濃度:It differs from different batches. Please contact us to confirm it.
-
保存緩沖液:PBS with 0.02% sodium azide, 50% glycerol, pH7.3.
-
產品提供形式:Liquid
-
應用范圍:ELISA, IHC
-
推薦稀釋比:
Application Recommended Dilution IHC 1:20-1:200 -
Protocols:
-
儲存條件:Upon receipt, store at -20°C or -80°C. Avoid repeated freeze.
-
貨期:Basically, we can dispatch the products out in 1-3 working days after receiving your orders. Delivery time maybe differs from different purchasing way or location, please kindly consult your local distributors for specific delivery time.
-
用途:For Research Use Only. Not for use in diagnostic or therapeutic procedures.
相關產品
靶點詳情
-
功能:Component of the eukaryotic translation initiation factor 3 (eIF-3) complex, which is required for several steps in the initiation of protein synthesis. The eIF-3 complex associates with the 40S ribosome and facilitates the recruitment of eIF-1, eIF-1A, eIF-2:GTP:methionyl-tRNAi and eIF-5 to form the 43S pre-initiation complex (43S PIC). The eIF-3 complex stimulates mRNA recruitment to the 43S PIC and scanning of the mRNA for AUG recognition. The eIF-3 complex is also required for disassembly and recycling of post-termination ribosomal complexes and subsequently prevents premature joining of the 40S and 60S ribosomal subunits prior to initiation. The eIF-3 complex specifically targets and initiates translation of a subset of mRNAs involved in cell proliferation, including cell cycling, differentiation and apoptosis, and uses different modes of RNA stem-loop binding to exert either translational activation or repression. Required for nonsense-mediated mRNA decay (NMD); may act in conjunction with UPF2 to divert mRNAs from translation to the NMD pathway. May interact with MCM7 and EPAS1 and regulate the proteasome-mediated degradation of these proteins.
-
基因功能參考文獻:
- These data suggest that eIF3e downregulation may be involved in epithelial-mesenchymal transition in endometriosis, possibly through preferential translation of Snail. PMID: 28438065
- A transcript-specific eIF3 complex mediates global translational control of energy metabolism. PMID: 27477275
- INT6 protects against breast cancer by showing how it functions in DSB repair, with potential clinical implications for cancer therapy. PMID: 27550454
- eIF3e is an angiogenesis suppressor. Silencing of eIF3e promotes blood perfusion recovery after limb ischemia through stabilization of hypoxia-inducible factor 2alpha activity. PMID: 25758454
- High eIF3e expression may contribute to tumor progression and predict poor prognosis in colon cancer. PMID: 25400724
- Int6/eIF3e is essential for proliferation and survival of human glioblastoma cells. PMID: 24481065
- 40S ribosome loading imparts a phosphorylation mark on the cap-binding eIF4F complex that regulates selective mRNA translation and is synchronized by a specific eIF3 subunit PMID: 24736843
- Our findings indicate that Int6 act as a hypoxia-independent master switch of angiogenesis in neuronal cells PMID: 22960363
- eukaryotic initiation factor 4G (eIF4G) protein binds to eIF3c, -d, and -e to promote mRNA recruitment to the ribosome. PMID: 24092755
- novel role of eIF3e/Int6 in the regulation of EMT in breast epithelial cells PMID: 22907435
- IL-6 and IL-8 are HIF2alpha controlled cytokines for angiogenesis particularly in endothelial cells. PMID: 23478175
- HTLV-1Tax binds both INT6 and UPF1. The analysis of Tax mutants indicated that the Tax-INT6 association is necessary for nonsense-mediated mRNA decay inhibition, and data suggest that Tax sequesters INT6 out of reach from UPF1. PMID: 22553336
- INT6 and MIF4GD were observed to colocalize in cytoplasmic foci. It was concluded that INT6, by establishing interactions with MIF4GD and SLBP, plays an important role in translation of poly(A) minus histone mRNAs. PMID: 22532700
- findings reveal unexpected and striking connections of INT6 with ATM and BRCA1 PMID: 22508697
- Int6 depletion blocks ubiquitin-dependent proteolysis by decreasing both ubiquitin levels and the assembly of functional proteasome machinery, leading to accumulation of oncoproteins, such as SRC3. PMID: 20890303
- data suggest that eIF3e has a positive role in breast cancer progression. It regulates the translation, and in some cases abundance, of mRNAs involved in key aspects of cancer cell biology PMID: 20453879
- Int-6 protein can bind the three complexes /eIF3, COP9 signalosome and 26S proteasome/, possibly exerting a regulatory activity in both protein translation and degradation PMID: 12220626
- EIF3e/INT6 is localized in part to the nucleus, while other eIF3 components are cytoplasmic. Primary human fibroblasts showed reduced nuclear INT6 staining in early S phase. PMID: 15030549
- Reducing Int-6 expression by RNA interference in HeLa cells markedly alters mitosis progression and defects in spindle formation, chromosome segregation and cytokinesis are observed. PMID: 15558017
- Results suggest that Int6 expression, evaluated by quantitative real-time PCR, may represent a new prognostic factor in patients with stage I non-small cell lung cancers. PMID: 15867213
- eIF3e binds to eIF4G during the process of cap-dependent translation initiation PMID: 16766523
- INT6 stabilizes chromatin-bound MCM7 and alteration of this effect is associated with replication deficiency. PMID: 17310990
- INT6 knockdown by RNA interference strongly inhibits nonsense-mediated messenger RNA decay (NMD), which triggers degradation of mRNAs with premature stop codons. PMID: 17468741
顯示更多
收起更多
-
亞細胞定位:Cytoplasm. Nucleus, PML body.
-
蛋白家族:EIF-3 subunit E family
-
組織特異性:Ubiquitously expressed. Expressed at highest levels in appendix, lymph, pancreas, skeletal muscle, spleen and thymus.
-
數據庫鏈接:
Most popular with customers
-
YWHAB Recombinant Monoclonal Antibody
Applications: ELISA, WB, IHC, IF, FC
Species Reactivity: Human, Mouse, Rat
-
Phospho-YAP1 (S127) Recombinant Monoclonal Antibody
Applications: ELISA, WB, IHC
Species Reactivity: Human
-
-
-
-
-
-















