ELOA Antibody
-
中文名稱:ELOA兔多克隆抗體
-
貨號:CSB-PA619867ESR2HU
-
規格:¥440
-
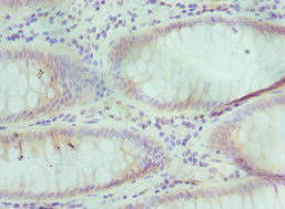
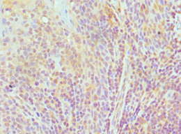
圖片:
-
其他:
產品詳情
-
產品名稱:Rabbit anti-Homo sapiens (Human) ELOA Polyclonal antibody
-
Uniprot No.:
-
基因名:ELOA
-
別名:Ela1 antibody; Elo A antibody; EloA antibody; ELOA1_HUMAN antibody; Elongin 110 kDa subunit antibody; Elongin-A antibody; ElonginA antibody; RNA polymerase II transcription factor SIII subunit A1 antibody; SIII antibody; SIII p110 antibody; TCEB 3 antibody; Tceb3 antibody; TCEB3A antibody; Transcription elongation factor B (SIII) polypeptide 3 (110kD) antibody; Transcription elongation factor B (SIII) polypeptide 3 antibody; Transcription elongation factor B alpha subunit antibody; Transcription elongation factor B polypeptide 3 antibody
-
宿主:Rabbit
-
反應種屬:Human
-
免疫原:Recombinant Human Elongin-A protein (679-798AA)
-
免疫原種屬:Homo sapiens (Human)
-
標記方式:Non-conjugated
-
克隆類型:Polyclonal
-
抗體亞型:IgG
-
純化方式:Antigen Affinity Purified
-
濃度:It differs from different batches. Please contact us to confirm it.
-
保存緩沖液:PBS with 0.02% sodium azide, 50% glycerol, pH7.3.
-
產品提供形式:Liquid
-
應用范圍:ELISA, IHC
-
推薦稀釋比:
Application Recommended Dilution IHC 1:20-1:200 -
Protocols:
-
儲存條件:Upon receipt, store at -20°C or -80°C. Avoid repeated freeze.
-
貨期:Basically, we can dispatch the products out in 1-3 working days after receiving your orders. Delivery time maybe differs from different purchasing way or location, please kindly consult your local distributors for specific delivery time.
-
用途:For Research Use Only. Not for use in diagnostic or therapeutic procedures.
相關產品
靶點詳情
-
功能:SIII, also known as elongin, is a general transcription elongation factor that increases the RNA polymerase II transcription elongation past template-encoded arresting sites. Subunit A is transcriptionally active and its transcription activity is strongly enhanced by binding to the dimeric complex of the SIII regulatory subunits B and C (elongin BC complex).
-
基因功能參考文獻:
- the Elongin A ubiquitin ligase and the CSB protein function together in a common pathway in response to Pol II stalling and DNA damage PMID: 28292928
- TCEB3C is a putative tumor suppressor gene of small intestinal neuroendocrine tumors PMID: 24351681
- Elongin A transcription elongation activity, but not its ubiquitination activity, is most important for its function in induction of transcription of ATF3 and p21. PMID: 23828199
-
亞細胞定位:Nucleus.
-
數據庫鏈接:
Most popular with customers
-
-
YWHAB Recombinant Monoclonal Antibody
Applications: ELISA, WB, IHC, IF, FC
Species Reactivity: Human, Mouse, Rat
-
Phospho-YAP1 (S127) Recombinant Monoclonal Antibody
Applications: ELISA, WB, IHC
Species Reactivity: Human
-
-
-
-
-















