ELOB Antibody
-
中文名稱:ELOB兔多克隆抗體
-
貨號:CSB-PA620878ESR1HU
-
規格:¥440
-
圖片:
-
Western blot
All lanes: Transcription elongation factor B polypeptide 2 antibody at 3μg/ml
Lane 1: k562 whole cell lysate
Lane 2: 293T whole cell lysate
Lane 3: HL60 whole cell lysate
Secondary
Goat polyclonal to rabbit IgG at 1/10000 dilution
Predicted band size: 14, 18 kDa
Observed band size: 14 kDa -
Immunohistochemistry of paraffin-embedded human colon cancer using CSB-PA620878ESR1HU at dilution of 1:100
-
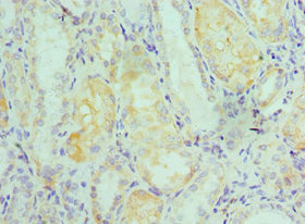
Immunohistochemistry of paraffin-embedded human kidney tissue using CSB-PA620878ESR1HU at dilution of 1:100
-
-
其他:
產品詳情
-
產品名稱:Rabbit anti-Homo sapiens (Human) ELOB Polyclonal antibody
-
Uniprot No.:
-
基因名:
-
別名:EloB antibody; ELOB_HUMAN antibody; Elongin 18 kDa subunit antibody; Elongin B antibody; Elongin-B antibody; RNA polymerase II transcription factor SIII p18 subunit antibody; RNA polymerase II transcription factor SIII subunit B antibody; SIII antibody; SIII p18 antibody; TCEB 2 antibody; Tceb2 antibody; Transcription elongation factor B (SIII) polypeptide 2 antibody; Transcription elongation factor B polypeptide 2 antibody
-
宿主:Rabbit
-
反應種屬:Human
-
免疫原:Recombinant Human Elongin-B protein (1-118AA)
-
免疫原種屬:Homo sapiens (Human)
-
標記方式:Non-conjugated
-
克隆類型:Polyclonal
-
抗體亞型:IgG
-
純化方式:Antigen Affinity Purified
-
濃度:It differs from different batches. Please contact us to confirm it.
-
保存緩沖液:PBS with 0.02% sodium azide, 50% glycerol, pH7.3.
-
產品提供形式:Liquid
-
應用范圍:ELISA, WB, IHC
-
推薦稀釋比:
Application Recommended Dilution WB 1:500-1:5000 IHC 1:20-1:200 -
Protocols:
-
儲存條件:Upon receipt, store at -20°C or -80°C. Avoid repeated freeze.
-
貨期:Basically, we can dispatch the products out in 1-3 working days after receiving your orders. Delivery time maybe differs from different purchasing way or location, please kindly consult your local distributors for specific delivery time.
-
用途:For Research Use Only. Not for use in diagnostic or therapeutic procedures.
相關產品
靶點詳情
-
功能:SIII, also known as elongin, is a general transcription elongation factor that increases the RNA polymerase II transcription elongation past template-encoded arresting sites. Subunit A is transcriptionally active and its transcription activity is strongly enhanced by binding to the dimeric complex of the SIII regulatory subunits B and C (elongin BC complex). In embryonic stem cells, the elongin BC complex is recruited by EPOP to Polycomb group (PcG) target genes in order generate genomic region that display both active and repressive chromatin properties, an important feature of pluripotent stem cells.; Core component of multiple cullin-RING-based ECS (ElonginB/C-CUL2/5-SOCS-box protein) E3 ubiquitin-protein ligase complexes, which mediate the ubiquitination of target proteins. This includes the von Hippel-Lindau ubiquitination complex CBC(VHL). By binding to BC-box motifs it seems to link target recruitment subunits, like VHL and members of the SOCS box family, to Cullin/RBX1 modules that activate E2 ubiquitination enzymes. A number of ECS complexes (containing either KLHDC2, KLHDC3, KLHDC10, APPBP2, FEM1A, FEM1B or FEM1C as substrate-recognition component) are part of the DesCEND (destruction via C-end degrons) pathway, which recognizes a C-degron located at the extreme C terminus of target proteins, leading to their ubiquitination and degradation.
-
基因功能參考文獻:
- Study shows that TCEB2 is involved in the development of acquired resistance to bevacizumab in ovarian cancer cells via the mechanisms of suppression of VEGF-A expression by promoting HIF-1alpha degradation and induction of interleukin-8 (IL-8) expression. PMID: 26531153
- Elongin B also enhances gene expression from the double-stranded DNA genome of human cytomegalovirus. PMID: 21447700
- nuclear level of active P-TEFb is controlled by dynamic and reversible remodelling of 7SK snRNP PMID: 17611602
-
亞細胞定位:Nucleus.
-
數據庫鏈接:
Most popular with customers
-
YWHAB Recombinant Monoclonal Antibody
Applications: ELISA, WB, IHC, IF, FC
Species Reactivity: Human, Mouse, Rat
-
Phospho-YAP1 (S127) Recombinant Monoclonal Antibody
Applications: ELISA, WB, IHC
Species Reactivity: Human
-
-
-
-
-
-















