ENTPD2 Antibody
-
中文名稱:ENTPD2兔多克隆抗體
-
貨號:CSB-PA007691ESR2HU
-
規格:¥440
-
圖片:
-
Western blot
All lanes: ENTPD2antibody at 3.6μg/ml
Lane 1: Human placenta tissue
Lane 2: U87 whole cell lysate
Secondary
Goat polyclonal to rabbit IgG at 1/10000 dilution
Predicted band size: 54, 52, 49 kDa
Observed band size: 54 kDa -
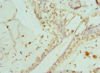
Immunohistochemistry of paraffin-embedded human brain tissue using CSB-PA007691ESR2HU at dilution of 1:100
-
Immunohistochemistry of paraffin-embedded human breast cancer using CSB-PA007691ESR2HU at dilution of 1:100
-
-
其他:
產品詳情
-
產品名稱:Rabbit anti-Homo sapiens (Human) ENTPD2 Polyclonal antibody
-
Uniprot No.:
-
基因名:ENTPD2
-
別名:NTPDase 2 antibody; NTPDase2 antibody; CD39 antigen like 1 antibody; CD39 antigen-like 1 antibody; CD39 like1 antibody; CD39L1 antibody; CD39like1 antibody; ecto ATP diphosphohydrolase 2 antibody; ecto ATPase 2 antibody; ecto ATPDase 2 antibody; Ecto-ATP diphosphohydrolase 2 antibody; Ecto-ATPase 2 antibody; Ecto-ATPDase 2 antibody; ectoATPase 2 antibody; ectoATPDase 2 antibody; Ectonucleoside triphosphate diphosphohydrolase 2 antibody; ENTP2_HUMAN antibody; Entpd2 antibody; NTPDase 2 antibody
-
宿主:Rabbit
-
反應種屬:Human
-
免疫原:Recombinant Human Ectonucleoside triphosphate diphosphohydrolase 2 protein (28-268AA)
-
免疫原種屬:Homo sapiens (Human)
-
標記方式:Non-conjugated
-
克隆類型:Polyclonal
-
抗體亞型:IgG
-
純化方式:Antigen Affinity Purified
-
濃度:It differs from different batches. Please contact us to confirm it.
-
保存緩沖液:PBS with 0.02% sodium azide, 50% glycerol, pH7.3.
-
產品提供形式:Liquid
-
應用范圍:ELISA, WB, IHC
-
推薦稀釋比:
Application Recommended Dilution WB 1:1000-1:5000 IHC 1:20-1:200 -
Protocols:
-
儲存條件:Upon receipt, store at -20°C or -80°C. Avoid repeated freeze.
-
貨期:Basically, we can dispatch the products out in 1-3 working days after receiving your orders. Delivery time maybe differs from different purchasing way or location, please kindly consult your local distributors for specific delivery time.
-
用途:For Research Use Only. Not for use in diagnostic or therapeutic procedures.
相關產品
靶點詳情
-
功能:In the nervous system, could hydrolyze ATP and other nucleotides to regulate purinergic neurotransmission. Hydrolyzes ADP only to a marginal extent. The order of activity with different substrates is ATP > GTP > CTP = ITP > UTP >> ADP = UDP.
-
基因功能參考文獻:
- In oviducts, remarkably, ectonucleoside triphosphate diphosphohydrolase 2 (NTPDase2), with the ability to hydrolyze ATP to AMP, are expressed in ciliated epithelial cells but with different subcellular localization. PMID: 29273916
- Hypoxia upregulates ENTPD2 through HIF-1alpha in hepatocellular carcinoma and subsequently leading to the accumulation of extracellular 5'-AMP, which maintains myeloid-derived suppressor cells undifferentiated. PMID: 28894087
- NTPDase2 and -3 are ecto-enzymes expressed in the enteric nervous system. Both enzymes confer protection against gut inflammation in experimental colitis and exhibit alterations in Crohn's disease. These observations suggest that purinergic signalling modulated by E-NTPDases governs neuro-immune interactions that are relevant in Crohn's disease. PMID: 28472257
- the lack of ecto-nucleotidase activity exhibited by NTPDase2 beta and -2 gamma and the C399S mutant, as well as the large reduction of activity in the N443D mutant are due to alterations in the folding/maturation of these proteins PMID: 12888562
- NTPDase2 preferentially hydrolyzes nucleoside triphosphates. PMID: 15496502
- down-regulation in biliary cirrhosis PMID: 15651265
- NTPDase2 has a role in portal fibroblast regulation of bile duct epithelium proliferation PMID: 15799977
- Mutagenesis study indicate the importance of K62 located in CR1, K182 downstream of ACR3, and R155. Mutation of Asp at the six potential glycosylation sites showed the importance of N64 in CR1 and N443 in ACR5 in protein function and expression PMID: 17489562
- The role of cysteine 26 in the catalytic activity of NTPDase-2 and as the target of p-chloromercuriphenylsulfonate (pCMPS), a sulfhydryl reagent and NTPDase-2 inhibitor, is reported. PMID: 18656957
顯示更多
收起更多
-
亞細胞定位:[Isoform Long]: Cell membrane; Multi-pass membrane protein.; [Isoform Short]: Endoplasmic reticulum membrane; Multi-pass membrane protein.; [Isoform gamma]: Endoplasmic reticulum membrane; Multi-pass membrane protein.
-
蛋白家族:GDA1/CD39 NTPase family
-
組織特異性:Brain, placenta, skeletal muscle, kidney, pancreas, heart, ovary, testis, colon, small intestine, prostate and pancreas. No expression in adult thymus, spleen, lung, liver and peripheral blood leukocytes.
-
數據庫鏈接:
Most popular with customers
-
-
YWHAB Recombinant Monoclonal Antibody
Applications: ELISA, WB, IHC, IF, FC
Species Reactivity: Human, Mouse, Rat
-
Phospho-YAP1 (S127) Recombinant Monoclonal Antibody
Applications: ELISA, WB, IHC
Species Reactivity: Human
-
-
-
-
-















