EPS8L2 Antibody
-
中文名稱:EPS8L2兔多克隆抗體
-
貨號:CSB-PA887991LA01HU
-
規格:¥440
-
圖片:
-
其他:
產品詳情
-
產品名稱:Rabbit anti-Homo sapiens (Human) EPS8L2 Polyclonal antibody
-
Uniprot No.:
-
基因名:EPS8L2
-
別名:Epidermal growth factor receptor kinase substrate 8 like protein 2 antibody; Epidermal growth factor receptor kinase substrate 8-like protein 2 antibody; Epidermal growth factor receptor pathway substrate 8 like protein 2 antibody; Epidermal growth factor receptor pathway substrate 8 related protein 2 antibody; Epidermal growth factor receptor pathway substrate 8-related protein 2 antibody; EPS8 like 2 antibody; EPS8 like protein 2 antibody; EPS8 related protein 2 antibody; EPS8-like protein 2 antibody; EPS8-related protein 2 antibody; EPS8L 2 antibody; EPS8L2 antibody; EPS8R 2 antibody; EPS8R2 antibody; ES8L2_HUMAN antibody; FLJ16738 antibody; FLJ21935 antibody; FLJ22171 antibody; MGC126530 antibody; MGC3088 antibody
-
宿主:Rabbit
-
反應種屬:Human
-
免疫原:Recombinant Human Epidermal growth factor receptor kinase substrate 8-like protein 2 protein (201-500AA)
-
免疫原種屬:Homo sapiens (Human)
-
標記方式:Non-conjugated
本頁面中的產品,EPS8L2 Antibody (CSB-PA887991LA01HU),的標記方式是Non-conjugated。對于EPS8L2 Antibody,我們還提供其他標記。見下表:
-
克隆類型:Polyclonal
-
抗體亞型:IgG
-
純化方式:>95%, Protein G purified
-
濃度:It differs from different batches. Please contact us to confirm it.
-
保存緩沖液:Preservative: 0.03% Proclin 300
Constituents: 50% Glycerol, 0.01M PBS, PH 7.4 -
產品提供形式:Liquid
-
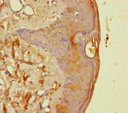
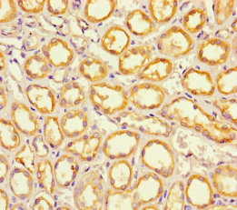
應用范圍:ELISA, IHC
-
推薦稀釋比:
Application Recommended Dilution IHC 1:20-1:200 -
Protocols:
-
儲存條件:Upon receipt, store at -20°C or -80°C. Avoid repeated freeze.
-
貨期:Basically, we can dispatch the products out in 1-3 working days after receiving your orders. Delivery time maybe differs from different purchasing way or location, please kindly consult your local distributors for specific delivery time.
-
用途:For Research Use Only. Not for use in diagnostic or therapeutic procedures.
相關產品
靶點詳情
-
功能:Stimulates guanine exchange activity of SOS1. May play a role in membrane ruffling and remodeling of the actin cytoskeleton. In the cochlea, is required for stereocilia maintenance in adult hair cells.
-
基因功能參考文獻:
- frame-shift variant (c.1014delC; p.Ser339Alafs*15) was identified in EPS8L2, encoding Epidermal growth factor receptor Pathway Substrate 8 L2, a protein of hair cells' stereocilia previously implicated in progressive deafness in the mouse PMID: 26282398
-
相關疾病:Deafness, autosomal recessive, 106 (DFNB106)
-
亞細胞定位:Cytoplasm. Cell projection, stereocilium.
-
蛋白家族:EPS8 family
-
組織特異性:Detected in fibroblasts and placenta.
-
數據庫鏈接:
Most popular with customers
-
-
YWHAB Recombinant Monoclonal Antibody
Applications: ELISA, WB, IHC, IF, FC
Species Reactivity: Human, Mouse, Rat
-
Phospho-YAP1 (S127) Recombinant Monoclonal Antibody
Applications: ELISA, WB, IHC
Species Reactivity: Human
-
-
-
-
-















