ERVFRD-1 Antibody
-
中文名稱:ERVFRD-1兔多克隆抗體
-
貨號:CSB-PA352689LA01HU
-
規格:¥440
-
圖片:
-
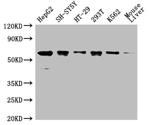
Western Blot
Positive WB detected in: HepG2 whole cell lysate,SH-SY5Y whole cell lysate,HT-29 whole cell lysate,293T whole cell lysate,K562 whole cell lysate,Mouse liver tissue
All lanes: ERVFRD-1 antibody at 1:2000
Secondary
Goat polyclonal to rabbit IgG at 1/50000 dilution
Predicted band size: 60 kDa
Observed band size: 60 kDa
-
-
其他:
產品詳情
-
產品名稱:Rabbit anti-Homo sapiens (Human) ERVFRD-1 Polyclonal antibody
-
Uniprot No.:
-
基因名:ERVFRD-1
-
別名:Syncytin-2 (Endogenous retrovirus group FRD member 1) (Envelope polyprotein) (HERV-FRD) (HERV-FRD_6p24.1 provirus ancestral Env polyprotein) [Cleaved into: Surface protein (SU), Transmembrane protein (TM)], ERVFRD-1, ERVFRDE1
-
宿主:Rabbit
-
反應種屬:Human, Mouse
-
免疫原:Recombinant Human Syncytin-2 protein (33-315aa)
-
免疫原種屬:Homo sapiens (Human)
-
標記方式:Non-conjugated
本頁面中的產品,ERVFRD-1 Antibody (CSB-PA352689LA01HU),的標記方式是Non-conjugated。對于ERVFRD-1 Antibody,我們還提供其他標記。見下表:
-
克隆類型:Polyclonal
-
抗體亞型:IgG
-
純化方式:>95%, Protein G purified
-
濃度:It differs from different batches. Please contact us to confirm it.
-
保存緩沖液:Preservative: 0.03% Proclin 300
Constituents: 50% Glycerol, 0.01M PBS, pH 7.4 -
產品提供形式:Liquid
-
應用范圍:ELISA, WB
-
推薦稀釋比:
Application Recommended Dilution WB 1:1000-1:5000 -
Protocols:
-
儲存條件:Upon receipt, store at -20°C or -80°C. Avoid repeated freeze.
-
貨期:Basically, we can dispatch the products out in 1-3 working days after receiving your orders. Delivery time maybe differs from different purchasing way or location, please kindly consult your local distributors for specific delivery time.
-
用途:For Research Use Only. Not for use in diagnostic or therapeutic procedures.
相關產品
靶點詳情
-
功能:This endogenous retroviral envelope protein has retained its original fusogenic properties and participates in trophoblast fusion and the formation of a syncytium during placenta morphogenesis. The interaction with MFSD2A is apparently important for this process.; Endogenous envelope proteins may have kept, lost or modified their original function during evolution but this one can still make pseudotypes with MLV, HIV-1 or SIV-1 virions and confer infectivity. Retroviral envelope proteins mediate receptor recognition and membrane fusion during early infection. The surface protein mediates receptor recognition, while the transmembrane protein anchors the envelope heterodimer to the viral membrane through one transmembrane domain. The other hydrophobic domain, called fusion peptide, mediates fusion of the viral membrane with the target cell membrane.
-
基因功能參考文獻:
- genetic predisposition in ERVFRDE-1 may be associated with an increased risk of preeclampsia. This polymorphism is possibly involved in the regulation of syncytin-2 expression in preeclamptic placenta. PMID: 29750965
- N-glycans at residues 133, 312, 332 and 443 of syncytin-2 are required for optimal fusion induction, and that single-nucleotide polymorphism C46R, N118S, T367M, R417H, V483I and T522M can alter the fusogenic function of syncytin-2. PMID: 26853155
- Decreased syncytin-2 and MFSD2 proteins in gestational diabetic placentas might cause abnormal syncytiotrophoblast formation and possibly be involved in the pathology PMID: 26875564
- ERVWE1, ERVFRDE1 and ERV3 transcription was down-regulated in hydatidiform moles and gestational trophoblastic neoplasia. PMID: 26992684
- These results thereby demonstrate that induced expression of Syncytin-2 is highly dependent on the interaction of bZIP-containing transcription factors to a CRE/AP-1 motif and that this element is important for the regulation of Syncytin-2 expression PMID: 25781974
- MFSD2a, the Syncytin-2 receptor, is important for trophoblast fusion. PMID: 23177091
- results further highlighted the existence of a correlation between the extent of the decrease in the expression levels of both syncytins 1 and 2 fusogenic proteins and the degree of severity of preeclampsia symptoms PMID: 21493955
- Analysis of non-spliced ERVFRDE1 mRNAs and env mRNAs detected efficient splicing of endogenously expressed RNAs in trophoblastic but not in non-placental cells. PMID: 21771862
- The crystal structure of a central fragment of syncytin 2 "fossil" ectodomain is reported, allowing a remarkable superposition with the structures of the corresponding domains of present-day infectious retroviruses PMID: 16140326
- immunolocalized only in the villous trophoblast of the chorionic villi, at the level of cytotrophoblastic cells PMID: 16714059
- findings show that in both humans and mice, one of the two syncytins (human syncytin-2 and mouse syncytin-B) is immunosuppressive and, rather unexpectedly, the other (human syncytin-1 and mouse syncytin-A) is not PMID: 18077339
- Syncytin 2 expression illustrates the abnormal trophoblast differentiation observed in placenta of fetal T21-affected pregnancies. PMID: 18215254
- expression decreased in preeclamptic placentas; may function as a second fusogenic protein for placental cell fusion PMID: 18650494
- These results highlight the importance of Syncytin-2 in BeWo and primary human trophoblast cell fusion. PMID: 19616006
顯示更多
收起更多
-
亞細胞定位:Virion.; [Surface protein]: Cell membrane; Peripheral membrane protein.; [Transmembrane protein]: Cell membrane; Single-pass membrane protein.
-
蛋白家族:Gamma type-C retroviral envelope protein family, HERV class-I FRD env subfamily
-
組織特異性:Expressed at higher level in placenta. Expressed at lower level in adrenal, bone marrow, brain, breast, colon, kidney, lung, ovary, peripheral blood lymphocytes, prostate, skin, spleen, testis, thymus, thyroid, trachea.
-
數據庫鏈接:
Most popular with customers
-
-
YWHAB Recombinant Monoclonal Antibody
Applications: ELISA, WB, IHC, IF, FC
Species Reactivity: Human, Mouse, Rat
-
Phospho-YAP1 (S127) Recombinant Monoclonal Antibody
Applications: ELISA, WB, IHC
Species Reactivity: Human
-
-
-
-
-















