ETFA Antibody
-
中文名稱:ETFA兔多克隆抗體
-
貨號:CSB-PA007844ESR1HU
-
規格:¥440
-
圖片:
-
Western blot
All lanes: ETFA antibody at 4.34µg/ml
Lane 1: A431 whole cell lysate
Lane 2: Hela whole cell lysate
Lane 3: K562 whole cell lysate
Lane 4: A549 whole cell lysate
Lane 5: HepG2 whole cell lysate
Lane 6: MCF-7 whole cell lysate
Secondary
Goat polyclonal to rabbit IgG at 1/10000 dilution
Predicted band size: 36, 31 kDa
Observed band size: 36 kDa -
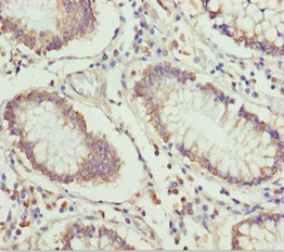
Immunohistochemistry of paraffin-embedded human colon cancer using CSB-PA007844ESR1HU at dilution of 1:100
-
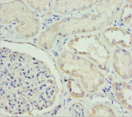
Immunohistochemistry of paraffin-embedded human kidney tissue using CSB-PA007844ESR1HU at dilution of 1:100
-
-
其他:
產品詳情
-
產品名稱:Rabbit anti-Homo sapiens (Human) ETFA Polyclonal antibody
-
Uniprot No.:
-
基因名:
-
別名:Alpha ETF antibody; Alpha-ETF antibody; Electron transfer flavoprotein alpha polypeptide antibody; Electron transfer flavoprotein alpha subunit antibody; Electron transfer flavoprotein subunit alpha mitochondrial antibody; Electron transfer flavoprotein subunit alpha; mitochondrial antibody; Electron transferring flavoprotein alpha polypeptide antibody; EMA antibody; ETFA antibody; ETFA_HUMAN antibody; GA2 antibody; Glutaric aciduria II antibody
-
宿主:Rabbit
-
反應種屬:Human
-
免疫原:Recombinant Human Electron transfer flavoprotein subunit alpha, mitochondrial protein (1-333AA)
-
免疫原種屬:Homo sapiens (Human)
-
標記方式:Non-conjugated
-
克隆類型:Polyclonal
-
抗體亞型:IgG
-
純化方式:Antigen Affinity Purified
-
濃度:It differs from different batches. Please contact us to confirm it.
-
保存緩沖液:PBS with 0.02% sodium azide, 50% glycerol, pH7.3.
-
產品提供形式:Liquid
-
應用范圍:ELISA, WB, IHC
-
推薦稀釋比:
Application Recommended Dilution WB 1:1000-1:5000 IHC 1:20-1:200 -
Protocols:
-
儲存條件:Upon receipt, store at -20°C or -80°C. Avoid repeated freeze.
-
貨期:Basically, we can dispatch the products out in 1-3 working days after receiving your orders. Delivery time maybe differs from different purchasing way or location, please kindly consult your local distributors for specific delivery time.
-
用途:For Research Use Only. Not for use in diagnostic or therapeutic procedures.
相關產品
靶點詳情
-
功能:Heterodimeric electron transfer flavoprotein that accepts electrons from several mitochondrial dehydrogenases, including acyl-CoA dehydrogenases, glutaryl-CoA and sarcosine dehydrogenase. It transfers the electrons to the main mitochondrial respiratory chain via ETF-ubiquinone oxidoreductase (ETF dehydrogenase). Required for normal mitochondrial fatty acid oxidation and normal amino acid metabolism.
-
基因功能參考文獻:
- Data suggest that ETF (heterodimer of ETFA and ETFB) catalyzes irreversible and pH-dependent oxidation of 8alpha-methyl group of FAD to form to 8-formyl-FAD (8f-FAD). PMID: 29301933
- our results indicate that genetic variants in ETFA may modify individual susceptibility to non-GBM of glioma in the Han Chinese population and support the role of the ETFA genes in the occurrence of glioma. PMID: 28320150
- the mechanism of tert-butyl hydroperoxide-induced an apoptosis cascade and endoplasmic reticulum stress in hepatocyte cells by up-regulation of ETFA, providing a new mechanism for liver injury. PMID: 24394546
- These results are consistent with the electron transfer flavoprotein alpha II domain adopting orientations in solution that deviate from the crystal structure of free ETF towards the active, substrate-bound orientation. PMID: 21308847
- investigations are compatible with the notion that the ETFalpha-T171 variant displays an altered conformational landscape that results in reduced protein function under thermal stress PMID: 21219902
- Data established structural hotspots within the ETF fold, and provided a rationale for the prediction of effects of mutations in ETF. PMID: 20674745
- These studies indicate that a series of conformational changes occur during the assembly of the TMADH.ETF electron transfer complex and that the kinetics of assembly observed with mutant TMADH or ETF complexes are much slower PMID: 11756429
- Tissue samples from 16 unrelated patients with ETF deficiency were analysed and the majority of the patients had mutations in the ETFA gene. PMID: 16510302
- No mutations in electron-transfer-flavoprotein but maternal riboflavin deficiency led to multiple acyl-CoA dehydrogenation deficiency PMID: 17689999
顯示更多
收起更多
-
相關疾病:Glutaric aciduria 2A (GA2A)
-
亞細胞定位:Mitochondrion matrix.
-
蛋白家族:ETF alpha-subunit/FixB family
-
數據庫鏈接:
Most popular with customers
-
-
YWHAB Recombinant Monoclonal Antibody
Applications: ELISA, WB, IHC, IF, FC
Species Reactivity: Human, Mouse, Rat
-
Phospho-YAP1 (S127) Recombinant Monoclonal Antibody
Applications: ELISA, WB, IHC
Species Reactivity: Human
-
-
-
-
-















