EVA1A Antibody
-
中文名稱:EVA1A兔多克隆抗體
-
貨號:CSB-PA222058
-
規格:¥1100
-
圖片:
-
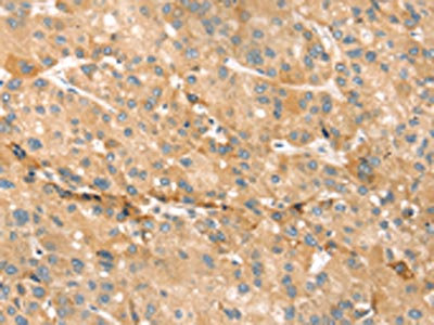
The image on the left is immunohistochemistry of paraffin-embedded Human liver cancer tissue using CSB-PA222058(EVA1A Antibody) at dilution 1/30, on the right is treated with synthetic peptide. (Original magnification: ×200)
-
The image on the left is immunohistochemistry of paraffin-embedded Human thyroid cancer tissue using CSB-PA222058(EVA1A Antibody) at dilution 1/30, on the right is treated with synthetic peptide. (Original magnification: ×200)
-
Gel: 12%SDS-PAGE, Lysate: 40 μg, Lane: Human normal liver tissue, Primary antibody: CSB-PA222058(EVA1A Antibody) at dilution 1/550, Secondary antibody: Goat anti rabbit IgG at 1/8000 dilution, Exposure time: 10 seconds
-
-
其他:
產品詳情
-
Uniprot No.:
-
基因名:EVA1A
-
別名:EVA1A; FAM176A; TMEM166; SP24; Protein eva-1 homolog A; Protein FAM176A; Transmembrane protein 166
-
宿主:Rabbit
-
反應種屬:Human,Mouse
-
免疫原:Synthetic peptide of Human EVA1A
-
免疫原種屬:Homo sapiens (Human)
-
標記方式:Non-conjugated
-
抗體亞型:IgG
-
純化方式:Antigen affinity purification
-
濃度:It differs from different batches. Please contact us to confirm it.
-
保存緩沖液:-20°C, pH7.4 PBS, 0.05% NaN3, 40% Glycerol
-
產品提供形式:Liquid
-
應用范圍:ELISA,WB,IHC
-
推薦稀釋比:
Application Recommended Dilution ELISA 1:1000-1:2000 WB 1:200-1:1000 IHC 1:25-1:100 -
Protocols:
-
儲存條件:Upon receipt, store at -20°C or -80°C. Avoid repeated freeze.
-
貨期:Basically, we can dispatch the products out in 1-3 working days after receiving your orders. Delivery time maybe differs from different purchasing way or location, please kindly consult your local distributors for specific delivery time.
-
用途:For Research Use Only. Not for use in diagnostic or therapeutic procedures.
相關產品
靶點詳情
-
功能:Acts as a regulator of programmed cell death, mediating both autophagy and apoptosis.
-
基因功能參考文獻:
- Low EVA1A expression is associated with glioblastoma. PMID: 28185834
- The adenovirus-mediated increase of FAM176A inhibited the growth of the tumor cells. PMID: 24257118
- TMEM166 expression was widely down-regulated in the cancer tissues. PMID: 22495369
- Low TMEM166 mRNA and protein expression is associated with esophageal squamous cell carcinoma. PMID: 23098460
- TMEM166 is a novel regulator involved in both autophagy and apoptosis. PMID: 17492404
顯示更多
收起更多
-
亞細胞定位:Endoplasmic reticulum membrane; Single-pass membrane protein. Lysosome membrane; Single-pass membrane protein.
-
蛋白家族:EVA1 family
-
組織特異性:Expressed in lung, kidney, liver, pancreas, placenta, but not in heart and skeletal muscle.
-
數據庫鏈接:
Most popular with customers
-
-
YWHAB Recombinant Monoclonal Antibody
Applications: ELISA, WB, IHC, IF, FC
Species Reactivity: Human, Mouse, Rat
-
Phospho-YAP1 (S127) Recombinant Monoclonal Antibody
Applications: ELISA, WB, IHC
Species Reactivity: Human
-
-
-
-
-















