FASTKD2 Antibody
-
中文名稱:FASTKD2兔多克隆抗體
-
貨號:CSB-PA078717
-
規格:¥1100
-
圖片:
-
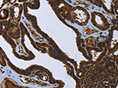
The image on the left is immunohistochemistry of paraffin-embedded Human thyroid cancer tissue using CSB-PA078717(FASTKD2 Antibody) at dilution 1/45, on the right is treated with fusion protein. (Original magnification: ×200)
-
The image on the left is immunohistochemistry of paraffin-embedded Human cervical cancer tissue using CSB-PA078717(FASTKD2 Antibody) at dilution 1/45, on the right is treated with fusion protein. (Original magnification: ×200)
-
Gel: 6%SDS-PAGE, Lysate: 40 μg, Lane 1-3: Hela cells, LoVo cells, HepG2 cells, Primary antibody: CSB-PA078717(FASTKD2 Antibody) at dilution 1/500, Secondary antibody: Goat anti rabbit IgG at 1/8000 dilution, Exposure time: 40 seconds
-
-
其他:
產品詳情
-
Uniprot No.:
-
基因名:FASTKD2
-
別名:FAKD2_HUMAN antibody; FAST kinase domain containing protein 2 antibody; FAST kinase domain-containing protein 2 antibody; FAST kinase domains 2 antibody; Fastkd2 antibody; KIAA0971 antibody
-
宿主:Rabbit
-
反應種屬:Human
-
免疫原:Fusion protein of Human FASTKD2
-
免疫原種屬:Homo sapiens (Human)
-
標記方式:Non-conjugated
-
抗體亞型:IgG
-
純化方式:Antigen affinity purification
-
濃度:It differs from different batches. Please contact us to confirm it.
-
保存緩沖液:-20°C, pH7.4 PBS, 0.05% NaN3, 40% Glycerol
-
產品提供形式:Liquid
-
應用范圍:ELISA,WB,IHC
-
推薦稀釋比:
Application Recommended Dilution ELISA 1:2000-1:5000 WB 1:500-1:2000 IHC 1:50-1:200 -
Protocols:
-
儲存條件:Upon receipt, store at -20°C or -80°C. Avoid repeated freeze.
-
貨期:Basically, we can dispatch the products out in 1-3 working days after receiving your orders. Delivery time maybe differs from different purchasing way or location, please kindly consult your local distributors for specific delivery time.
-
用途:For Research Use Only. Not for use in diagnostic or therapeutic procedures.
相關產品
靶點詳情
-
功能:Plays an important role in assembly of the mitochondrial large ribosomal subunit. As a component of a functional protein-RNA module, consisting of RCC1L, NGRN, RPUSD3, RPUSD4, TRUB2, FASTKD2 and 16S mitochondrial ribosomal RNA (16S mt-rRNA), controls 16S mt-rRNA abundance and is required for intra-mitochondrial translation. May play a role in mitochondrial apoptosis.
-
基因功能參考文獻:
- Despite the fact that proteins of the FASTK family FASTKD1-5 share the same domains, they exhibit various-sometimes opposing-functions in almost all steps of mitochondrial RNA metabolism. PMID: 29036396
- Authors discovered a novel association of a polymorphism in the pro-apoptotic gene FASTKD2 (fas-activated serine/threonine kinase domains 2) with better memory performance PMID: 25385369
- CRISPR-mediated deletion of FASTKD2 leads to aberrant processing. PMID: 26370583
- Fas Activated Serine-Threonine Kinase Domains 2 (FASTKD2) mediates apoptosis of breast and prostate cancer cells through its novel FAST2 domain. PMID: 25409762
- regulation of FASTKD2 by NRIF3 and the DIF-1 complex acts as a novel death switch that selectively modulates apoptosis in breast cancer PMID: 21444724
- mutation in a gene segregating with a peculiar mitochondrial encephalomyopathy associated with COX deficiency in skeletal muscle. FASTKD2 is localized in the mitochondrial inner compartment. PMID: 18771761
顯示更多
收起更多
-
亞細胞定位:Mitochondrion matrix, mitochondrion nucleoid. Mitochondrion matrix.
-
蛋白家族:FAST kinase family
-
組織特異性:Expression detected in spleen, thymus, testis, ovary, colon, heart, smooth muscle, kidney, brain, lung, liver and white adipose tissue with highest expression in heart, smooth muscle and thyroid.
-
數據庫鏈接:
Most popular with customers
-
-
YWHAB Recombinant Monoclonal Antibody
Applications: ELISA, WB, IHC, IF, FC
Species Reactivity: Human, Mouse, Rat
-
Phospho-YAP1 (S127) Recombinant Monoclonal Antibody
Applications: ELISA, WB, IHC
Species Reactivity: Human
-
-
-
-
-















