FCRL2 Antibody
-
中文名稱:FCRL2兔多克隆抗體
-
貨號:CSB-PA853454ESR1HU
-
規格:¥440
-
圖片:
-
Western blot
All lanes: FCRL2 antibody at 1.78µg/ml + 293T whole cell lysate
Secondary
Goat polyclonal to rabbit IgG at 1/10000 dilution
Predicted band size: 56, 28, 21, 16, 23 kDa
Observed band size: 56 kDa -
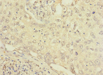
Immunohistochemistry of paraffin-embedded human lung cancer using CSB-PA853454ESR1HU at dilution of 1:100
-
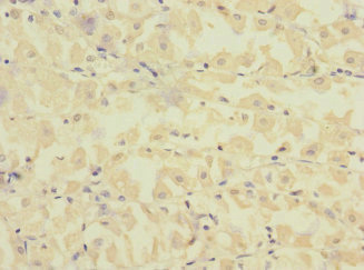
Immunohistochemistry of paraffin-embedded human gastric cancer using CSB-PA853454ESR1HU at dilution of 1:100
-
-
其他:
產品詳情
-
產品名稱:Rabbit anti-Homo sapiens (Human) FCRL2 Polyclonal antibody
-
Uniprot No.:
-
基因名:FCRL2
-
別名:CD307b antibody; Fc receptor homolog 2 antibody; Fc receptor like protein 2 antibody; Fc receptor-like protein 2 antibody; FcR-like protein 2 antibody; FcRH2 antibody; FCRL 2 antibody; FcRL2 antibody; FCRL2_HUMAN antibody; IFGP family protein 4 antibody; IFGP4 antibody; Immunoglobulin receptor translocation associated 4 protein antibody; Immunoglobulin receptor translocation-associated protein 4 antibody; IRTA4 antibody; SH2 domain containing phosphatase anchor protein 1 antibody; SH2 domain-containing phosphatase anchor protein 1 antibody; SPAP1 antibody
-
宿主:Rabbit
-
反應種屬:Human
-
免疫原:Recombinant Human Fc receptor-like protein 2 protein (20-100AA)
-
免疫原種屬:Homo sapiens (Human)
-
標記方式:Non-conjugated
-
克隆類型:Polyclonal
-
抗體亞型:IgG
-
純化方式:Antigen Affinity Purified
-
濃度:It differs from different batches. Please contact us to confirm it.
-
保存緩沖液:PBS with 0.02% sodium azide, 50% glycerol, pH7.3.
-
產品提供形式:Liquid
-
應用范圍:ELISA, WB, IHC
-
推薦稀釋比:
Application Recommended Dilution WB 1:1000-1:5000 IHC 1:20-1:200 -
Protocols:
-
儲存條件:Upon receipt, store at -20°C or -80°C. Avoid repeated freeze.
-
貨期:Basically, we can dispatch the products out in 1-3 working days after receiving your orders. Delivery time maybe differs from different purchasing way or location, please kindly consult your local distributors for specific delivery time.
-
用途:For Research Use Only. Not for use in diagnostic or therapeutic procedures.
相關產品
靶點詳情
-
功能:May have an regulatory role in normal and neoplastic B cell development.
-
基因功能參考文獻:
- decreased FCRL4 expression and association of FCRL2 expression with inflammatory markers and disease activity suggested the contribution of these molecules to rheumatoid arthritis inflammatory processes. PMID: 27193470
- FCRL2 overexpression in B cells from Hashimoto and Graves disease patients compared to normal subjects. PMID: 25738996
- a negative immunomodulatory function for FCRL2 in the regulation of memory B cells. PMID: 21068405
- B-CLL patients with high FCRL2 expression had a significantly longer treatment-free survival & overall survival than those with low FCRL2. PMID: 19682311
- FCRL2 has robust predictive value for determining IGHV gene mutation status and clinical progression and thus may further improve prognostic definition in chronic lymphocytic leukemia. PMID: 18314442
- Fc receptor-like 1-5 molecules are similarly expressed in progressive and indolent clinical subtypes of B-cell chronic lymphocytic leukemia. PMID: 18704934
- Down-regulation of FCRL2 is associated with acute lymphoblastic leukemia. PMID: 18802695
顯示更多
收起更多
-
亞細胞定位:Cell membrane; Single-pass type I membrane protein.
-
組織特異性:Expressed in the secondary lymphoid organs, spleen and lymph node. Expression is limited to the mature B-cell lines. Highly expressed in CD19 and within the mantle zones of the tonsil tissue. Isoform 2 is expressed in the spleen, peripheral blood and bone
-
數據庫鏈接:
Most popular with customers
-
-
YWHAB Recombinant Monoclonal Antibody
Applications: ELISA, WB, IHC, IF, FC
Species Reactivity: Human, Mouse, Rat
-
Phospho-YAP1 (S127) Recombinant Monoclonal Antibody
Applications: ELISA, WB, IHC
Species Reactivity: Human
-
-
-
-
-















