FGFBP1 Antibody
-
中文名稱:FGFBP1兔多克隆抗體
-
貨號:CSB-PA623920ESR2HU
-
規格:¥440
-
圖片:
-
Western blot
All lanes: Fibroblast growth factor-binding protein 1 antibody at 5μg/ml + Mouse skeletal muscle tissue
Secondary
Goat polyclonal to rabbit IgG at 1/10000 dilution
Predicted band size: 26 kDa
Observed band size: 26 kDa -
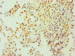
Immunohistochemistry of paraffin-embedded human breast cancer using CSB-PA623920ESR2HU at dilution of 1:100
-
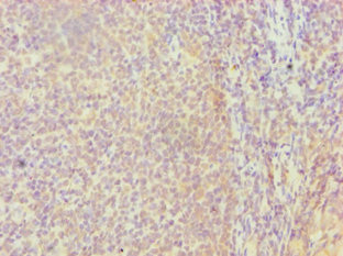
Immunohistochemistry of paraffin-embedded human tonsil tissue using CSB-PA623920ESR2HU at dilution of 1:100
-
-
其他:
產品詳情
-
產品名稱:Rabbit anti-Homo sapiens (Human) FGFBP1 Polyclonal antibody
-
Uniprot No.:
-
基因名:FGFBP1
-
別名:17 kDa HBGF-binding protein antibody; 17 kDa heparin binding growth factor binding protein antibody; 17 kDa heparin-binding growth factor-binding protein antibody; FGF binding protein 1 antibody; FGF BP antibody; FGF BP1 antibody; FGF-binding protein 1 antibody; FGF-BP antibody; FGF-BP1 antibody; FGFBP antibody; FGFBP-1 antibody; Fgfbp1 antibody; FGFP1_HUMAN antibody; Fibroblast growth factor binding protein 1 precursor antibody; Fibroblast growth factor-binding protein 1 antibody; HBp17 antibody
-
宿主:Rabbit
-
反應種屬:Human, Mouse
-
免疫原:Recombinant Human Fibroblast growth factor-binding protein 1protein (24-234AA)
-
免疫原種屬:Homo sapiens (Human)
-
標記方式:Non-conjugated
-
克隆類型:Polyclonal
-
抗體亞型:IgG
-
純化方式:Antigen Affinity Purified
-
濃度:It differs from different batches. Please contact us to confirm it.
-
保存緩沖液:PBS with 0.02% sodium azide, 50% glycerol, pH7.3.
-
產品提供形式:Liquid
-
應用范圍:ELISA, WB, IHC
-
推薦稀釋比:
Application Recommended Dilution WB 1:200-1:1000 IHC 1:20-1:200 -
Protocols:
-
儲存條件:Upon receipt, store at -20°C or -80°C. Avoid repeated freeze.
-
貨期:Basically, we can dispatch the products out in 1-3 working days after receiving your orders. Delivery time maybe differs from different purchasing way or location, please kindly consult your local distributors for specific delivery time.
-
用途:For Research Use Only. Not for use in diagnostic or therapeutic procedures.
相關產品
靶點詳情
-
功能:Acts as a carrier protein that release fibroblast-binding factors (FGFs) from the extracellular matrix (EM) storage and thus enhance the mitogenic activity of FGFs. Enhances FGF2 signaling during tissue repair, angiogenesis and in tumor growth.
-
基因功能參考文獻:
- These findings indicate that the miR-146a-CREB3L1-FGFBP1 signaling axis plays an important role in the regulation of angiogenesis in human umbilical vein endothelial cells. PMID: 27121396
- Genetic polymorphism in the human FGFBP1 gene was associated with higher gene expression and an increased risk of familial Hypertension. PMID: 29158353
- Up-regulated Sox12 induced by FoxQ1 promotes hepatocellular carcinoma invasion and metastasis by transactivating Twist1 and FGFBP1 expression. PMID: 25704764
- overexpression of FGFBP1 or loss of WISP-2 expression is closely related to the metastasis, invasion and poor prognosis of gallbladder cancer. PMID: 23592278
- FGFBP1 associates with hypertension and that systematic analysis of signaling pathways can identify previously undescribed genetic associations. PMID: 21436287
- Sequence variation in FGFBP1 may contribute to variation in bone mineral density, possibly influencing osteoporosis risk. PMID: 20450993
- Upregulation of FGF-BP expression after injury stimulates FGF activity at the wound site, thus enhancing the process of epithelial repair. PMID: 15806171
- the FGF interaction domain is contained in the C terminus of FGF-BP1 PMID: 16257968
- FGF-BP can be rate-limiting for tumor growth and serves as an angiogenic switch molecule, and that it represents an increasingly promising target molecule in anti-tumor therapy[review] PMID: 16324873
- The upregulation of FGF-BP by regenerating renal tubular epithelial cells may provide a mechanism by which the regenerative and angiogenic activity of FGF-2 in renal capillaries can be modulated in children with HIV-HUS and other renal disease. PMID: 16352855
- KLF5 promotes breast cell survival partially through fibroblast growth factor-binding protein 1-pERK-mediated dual specificity MKP-1 protein phosphorylation and stabilization. PMID: 19411256
- KLF5 may promote breast cancer cell proliferation at least partially through directly activating the FGF-BP mRNA transcription. PMID: 19668233
顯示更多
收起更多
-
亞細胞定位:Secreted, extracellular space. Cell membrane; Peripheral membrane protein.
-
蛋白家族:Fibroblast growth factor-binding protein family
-
組織特異性:Expressed in the suprabasal region of the epidermis, in hair follicles, the basement membrane at the dermo-epidermal junction (occasionally extending into the basement membrane of dermal blood vessels), wounded skin and several invasive squamous cell carc
-
數據庫鏈接:
Most popular with customers
-
YWHAB Recombinant Monoclonal Antibody
Applications: ELISA, WB, IHC, IF, FC
Species Reactivity: Human, Mouse, Rat
-
Phospho-YAP1 (S127) Recombinant Monoclonal Antibody
Applications: ELISA, WB, IHC
Species Reactivity: Human
-
-
-
-
-
-















