FKBP4 Antibody
-
中文名稱:FKBP4兔多克隆抗體
-
貨號:CSB-PA008700EA01HU
-
規格:¥440
-
圖片:
-
Western Blot
Positive WB detected in: Hela whole cell lysate, Jurkat whole cell lysate, PC-3 whole cell lysate, MCF-7 whole cell lysate, K562 whole cell lysate, HepG2 whole cell lysate, 293T whole cell lysate
All lanes: FKBP4 antibody at 3.3µg/ml
Secondary
Goat polyclonal to rabbit IgG at 1/50000 dilution
Predicted band size: 52 kDa
Observed band size: 59 kDa -
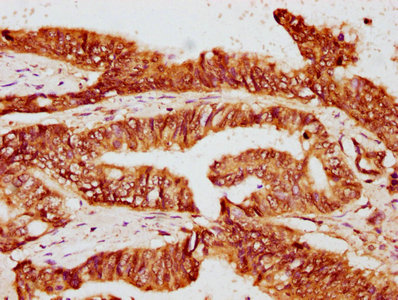
IHC image of CSB-PA008700EA01HU diluted at 1:400 and staining in paraffin-embedded human colon cancer performed on a Leica BondTM system. After dewaxing and hydration, antigen retrieval was mediated by high pressure in a citrate buffer (pH 6.0). Section was blocked with 10% normal goat serum 30min at RT. Then primary antibody (1% BSA) was incubated at 4°C overnight. The primary is detected by a biotinylated secondary antibody and visualized using an HRP conjugated SP system.
-
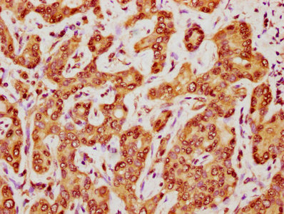
IHC image of CSB-PA008700EA01HU diluted at 1:400 and staining in paraffin-embedded human liver cancer performed on a Leica BondTM system. After dewaxing and hydration, antigen retrieval was mediated by high pressure in a citrate buffer (pH 6.0). Section was blocked with 10% normal goat serum 30min at RT. Then primary antibody (1% BSA) was incubated at 4°C overnight. The primary is detected by a biotinylated secondary antibody and visualized using an HRP conjugated SP system.
-
Immunofluorescence staining of Hela cells with CSB-PA008700EA01HU at 1:133, counter-stained with DAPI. The cells were fixed in 4% formaldehyde, permeabilized using 0.2% Triton X-100 and blocked in 10% normal Goat Serum. The cells were then incubated with the antibody overnight at 4°C. The secondary antibody was Alexa Fluor 488-congugated AffiniPure Goat Anti-Rabbit IgG(H+L).
-
-
其他:
產品詳情
-
產品名稱:Rabbit anti-Homo sapiens (Human) FKBP4 Polyclonal antibody
-
Uniprot No.:
-
基因名:
-
別名:51 kDa FK506-binding protein antibody; 52 kDa FK506 binding protein antibody; 52 kDa FK506-binding protein antibody; 52 kDa FKBP antibody; 59 kDa immunophilin antibody; FK506 binding protein 4 antibody; FK506-binding protein 4 antibody; FKBP 4 antibody; FKBP 52 antibody; FKBP 59 antibody; FKBP-4 antibody; FKBP-52 antibody; FKBP4 antibody; FKBP4_HUMAN antibody; FKBP51 antibody; FKBP52 protein antibody; FKBP59 antibody; HBI antibody; Hsp 56 antibody; HSP binding immunophilin antibody; HSP-binding immunophilin antibody; Hsp56 antibody; Immunophilin FKBP52 antibody; N-terminally processed antibody; p52 antibody; p59 antibody; p59 protein antibody; Peptidyl prolyl cis trans isomerase antibody; peptidyl-prolyl cis-trans isomerase antibody; Peptidyl-prolyl cis-trans isomerase FKBP4 antibody; Peptidylprolyl cis trans isomerase antibody; PPIase antibody; PPIase FKBP4 antibody; Rotamase antibody; T cell FK506 binding protein 59kD antibody
-
宿主:Rabbit
-
反應種屬:Human
-
免疫原:Recombinant Human Peptidyl-prolyl cis-trans isomerase FKBP4 protein (1-240AA)
-
免疫原種屬:Homo sapiens (Human)
-
標記方式:Non-conjugated
本頁面中的產品,FKBP4 Antibody (CSB-PA008700EA01HU),的標記方式是Non-conjugated。對于FKBP4 Antibody,我們還提供其他標記。見下表:
-
克隆類型:Polyclonal
-
抗體亞型:IgG
-
純化方式:>95%, Protein G purified
-
濃度:It differs from different batches. Please contact us to confirm it.
-
保存緩沖液:Preservative: 0.03% Proclin 300
Constituents: 50% Glycerol, 0.01M PBS, pH 7.4 -
產品提供形式:Liquid
-
應用范圍:ELISA, WB, IHC, IF
-
推薦稀釋比:
Application Recommended Dilution WB 1:500-1:5000 IHC 1:200-1:500 IF 1:50-1:200 -
Protocols:
-
儲存條件:Upon receipt, store at -20°C or -80°C. Avoid repeated freeze.
-
貨期:Basically, we can dispatch the products out in 1-3 working days after receiving your orders. Delivery time maybe differs from different purchasing way or location, please kindly consult your local distributors for specific delivery time.
-
用途:For Research Use Only. Not for use in diagnostic or therapeutic procedures.
相關產品
靶點詳情
-
功能:Immunophilin protein with PPIase and co-chaperone activities. Component of steroid receptors heterocomplexes through interaction with heat-shock protein 90 (HSP90). May play a role in the intracellular trafficking of heterooligomeric forms of steroid hormone receptors between cytoplasm and nuclear compartments. The isomerase activity controls neuronal growth cones via regulation of TRPC1 channel opening. Acts also as a regulator of microtubule dynamics by inhibiting MAPT/TAU ability to promote microtubule assembly. May have a protective role against oxidative stress in mitochondria.
-
基因功能參考文獻:
- ID4 selectively regulates AR activity through direct interaction with FKBP52. PMID: 28252832
- FKBP52 could be abnormally released from NFTs negative neurons in AD brains in correlation with the early pathologic Tau-D(421) neuronal accumulation. PMID: 27479154
- Mechanistically, USP49 deubiquitinates and stabilizes FKBP51, which in turn enhances PHLPP's capability to dephosphorylate AKT. PMID: 28363942
- Low expression of FKBP4 is associated with Progesterone Resistance in Endometriosis. PMID: 27778641
- Results provide a molecular mechanism by which FKBP52 modulates telomerase activity by promoting dynein-dynactin-dependent nuclear import of hTERT. PMID: 27503910
- The Hsp90-associated FKBP52 cochaperone has become increasingly associated with aberrant steroid hormone receptor signaling in disease. [review] PMID: 25986565
- The capacity FKBP52 to oligomerize Tau is not linked to its peptidyl-prolyl isomerase activity. PMID: 26903089
- FKBP52 and beta-catenin interact directly in vitro. FKBP52 promotes beta-catenin interaction with androgen receptor signaling. PMID: 26207810
- FKBP4 was not differentially expressed in PTSD patients with low HPA axis reactivity compared to PTSD patients with high HPA axis reactivity. PMID: 25745955
- FKBP51 is the major target accounting for the neuritotrophic effect of neuroimmunophilin ligands. Selectivity against the homolog FKBP52 is essential for optimal neuritotrophic efficacy. PMID: 25615537
- identify a novel steroid-responsive FKBP52-dependent pathway suppressing the expression and activity of tryptophan-2,3-dioxygenase PMID: 25132599
- FKBP52 seems to be disrupted in preeclampsia and intrauterine growth restriction pregnancies PMID: 26065228
- The biological action of NF-kappaB in different cell types could be positively regulated by a high FKBP52/FKBP51 expression ratio. PMID: 25104352
- Molecular chaperone activity and biological regulatory actions of the TPR-domain immunophilins FKBP51 and FKBP52 PMID: 24694367
- Despite their substantial structural similarity, in both the beta3 bulge and the beta4-beta5 loop, the FK1 domain of FKBP51 undergoes significantly populated conformational transitions that appear to be suppressed in FKBP52. PMID: 24749623
- FKBP52 appears to be an endogenous candidate that directly interacts with the pathogenic Tau-P301L and modulates its function in vitro and in vivo PMID: 24623856
- The guinea pig GR-specific mutations within the H1-H3 loop confer global changes within the GR-Hsp90 complex that favor FKBP51 repression over FKBP52 potentiation. PMID: 23686112
- FKBP4, p23, and Aha1 cooperatively regulate the progression of hAgo2 through the chaperone cycle. PMID: 23741051
- This study does not confirm a role for genetic variants in the SFRS3 and FKBP4 genes in the pathogenesis of corticosteroid-induced ocular hypertension. PMID: 22921020
- involved in the induction of decidualization PMID: 22279148
- FKBP52 expression level is abnormally low in frontal cortex of Alzheimer's disease compared to controls. PMID: 22233767
- Aimed to discover markers of drug resistance in breast cancer before neoadjuvant chemotherapy. Found FKBP4 and S100A9 might be putative prediction markers in discriminating the drug resistant group from the drug sensitive group of breast cancer patients. PMID: 22074005
- Transgenic overexpression of HSP56 does not result in cardiac hypertrophy nor protect from ischaemia/reperfusion injury. PMID: 20932935
- these results provide evidence that FKBP5 transcriptional dysregulation together with FKBP4 as its functional antagonist are implicated in biological features of major depressive disorder symptoms in human immunodeficiency virus-infected individuals. PMID: 20726698
- RET51/FKBP52 complex is involved in Parkinson disease. PMID: 20442138
- Data show that FKBP52, which is abundant in brain, binds directly and specifically to Tau, especially in its hyperphosphorylated form. PMID: 20133804
- activation of the Wnt pathway and mutation of the tcf-4 gene in hepatocellular carcinoma (HCC) PMID: 12603528
- Data show that FK506-binding protein 52(FKBP52) selectively potentiates hormone-dependent reporter gene activation, and this potentiation is readily blocked by co-expression of the closely related FKBP51. PMID: 12606580
- Promoter constructs with only 143 bp of upstream sequence contain a CAAT motif sequence and consensus binding sites for Sp1, heat-shock factor, and MYC-MAX. The sequence maintained high activity when transfected. PMID: 12782134
- FKBP52 is a component of the copper efflux machinery, and in so, may also promote neuroprotection from copper toxicity PMID: 15133031
- Data report the crystal structures of two overlapped fragments of FK506-binding protein 52 and the heterocomplex of glucocorticoid receptors with heat-shock proteins 90. PMID: 15159550
- FK506-binding proteins 51 and 52 differentially regulate dynein interaction and nuclear translocation of the glucocorticoid receptor PMID: 15591061
- FKBP52 is an AR folding factor that has critically important physiological roles in some male reproductive tissues PMID: 15831525
- results suggest that FKBP52 plays an important role in the regulation of TRPV5 and thus in the process of Ca(2+) reabsorption PMID: 16352746
- FKBP52 is an essential regulator of PR-A action in the uterus. PMID: 16873445
- FKBP52 may play a role in growth and development of male genitalia, since it is expressed in genital skin of prepubertal boys; however, alterations in the sequence and in expression of the FKBP4 gene are not a common cause of non-syndromic hypospadias. PMID: 17343741
- phosphorylation of the FK linker appears to be an important regulatory determinant of FKBP52-mediated potentiation of steroid receptor activity PMID: 17717070
- immunophilin ligands can protect neurons from Ca(2+)-induced cell death by modulating Ca(2+) channels and promote neurite outgrowth via FKBP52 binding PMID: 18162540
- Data show that the loss of FKBP52 encourages the growth of endometriotic lesions with increased inflammation, cell proliferation, and angiogenesis. PMID: 18988805
- Increased FKBP4 expression of correlated to HIV(+)major depressive disorder(MDD) but not to HIV without MDD PMID: 19199039
- knockdown of FKBP4 gene, coding for the immunophilin FKBP52, inhibited cortisol-activated glucocorticoid receptor nuclear translocation PMID: 19545546
- Resutls show that three of five autoantibodies, FKBP52, PPIA, and PRDX2, showed significantly increased reactivity in primary breast cancer and CIS compared with healthy controls. PMID: 19584157
- FKBP52 mediates stimulus-dependent TRPC1 gating through isomerization, which is required for chemotropic turning of neuronal growth cones to midline axon guidance of commissural interneurons in the developing spinal cord. PMID: 19945390
顯示更多
收起更多
-
亞細胞定位:Cytoplasm, cytosol. Mitochondrion. Nucleus. Cytoplasm, cytoskeleton. Cell projection, axon.
-
組織特異性:Widely expressed.
-
數據庫鏈接:
Most popular with customers
-
YWHAB Recombinant Monoclonal Antibody
Applications: ELISA, WB, IHC, IF, FC
Species Reactivity: Human, Mouse, Rat
-
Phospho-YAP1 (S127) Recombinant Monoclonal Antibody
Applications: ELISA, WB, IHC
Species Reactivity: Human
-
-
-
-
-
-















