FOXO3 Antibody
-
中文名稱:FOXO3兔多克隆抗體
-
貨號:CSB-PA572384
-
規格:¥1100
-
圖片:
-
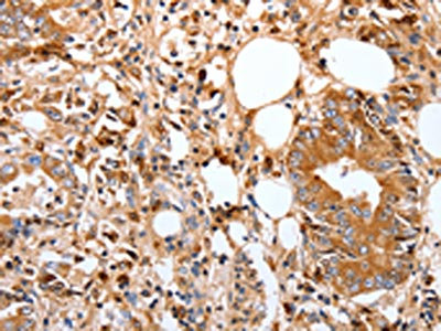
The image on the left is immunohistochemistry of paraffin-embedded Human stomach cancer tissue using CSB-PA572384(FOXO3 Antibody) at dilution 1/17, on the right is treated with synthetic peptide. (Original magnification: ×200)
-
The image on the left is immunohistochemistry of paraffin-embedded Human lung cancer tissue using CSB-PA572384(FOXO3 Antibody) at dilution 1/17, on the right is treated with synthetic peptide. (Original magnification: ×200)
-
-
其他:
產品詳情
-
Uniprot No.:
-
基因名:
-
別名:AF6q21 antibody; AF6q21 protein antibody; DKFZp781A0677 antibody; FKHR2 antibody; FKHRL 1 antibody; FKHRL1 antibody; FKHRL1P2 antibody; Forkhead (Drosophila) homolog (rhabdomyosarcoma) like 1 antibody; Forkhead box O3 antibody; Forkhead box O3A antibody; Forkhead box protein O3 antibody; Forkhead box protein O3A antibody; Forkhead Drosophila homolog of in rhabdomyosarcoma like 1 antibody; Forkhead homolog (rhabdomyosarcoma) like 1 antibody; Forkhead in rhabdomyosarcoma like 1 antibody; Forkhead in rhabdomyosarcoma-like 1 antibody; FOX O3A antibody; FOXO2 antibody; foxo3 antibody; FOXO3_HUMAN antibody; FOXO3A antibody; MGC12739 antibody; MGC31925 antibody
-
宿主:Rabbit
-
反應種屬:Human,Mouse
-
免疫原:Synthetic peptide of Human FOXO3
-
免疫原種屬:Homo sapiens (Human)
-
標記方式:Non-conjugated
-
抗體亞型:IgG
-
純化方式:Antigen affinity purification
-
濃度:It differs from different batches. Please contact us to confirm it.
-
保存緩沖液:-20°C, pH7.4 PBS, 0.05% NaN3, 40% Glycerol
-
產品提供形式:Liquid
-
應用范圍:ELISA,IHC
-
推薦稀釋比:
Application Recommended Dilution ELISA 1:1000-1:5000 IHC 1:50-1:150 -
Protocols:
-
儲存條件:Upon receipt, store at -20°C or -80°C. Avoid repeated freeze.
-
貨期:Basically, we can dispatch the products out in 1-3 working days after receiving your orders. Delivery time maybe differs from different purchasing way or location, please kindly consult your local distributors for specific delivery time.
-
用途:For Research Use Only. Not for use in diagnostic or therapeutic procedures.
相關產品
靶點詳情
-
功能:Transcriptional activator that recognizes and binds to the DNA sequence 5'-[AG]TAAA[TC]A-3' and regulates different processes, such as apoptosis and autophagy. Acts as a positive regulator of autophagy in skeletal muscle: in starved cells, enters the nucleus following dephosphorylation and binds the promoters of autophagy genes, such as GABARAP1L, MAP1LC3B and ATG12, thereby activating their expression, resulting in proteolysis of skeletal muscle proteins. Triggers apoptosis in the absence of survival factors, including neuronal cell death upon oxidative stress. Participates in post-transcriptional regulation of MYC: following phosphorylation by MAPKAPK5, promotes induction of miR-34b and miR-34c expression, 2 post-transcriptional regulators of MYC that bind to the 3'UTR of MYC transcript and prevent its translation. In response to metabolic stress, translocates into the mitochondria where it promotes mtDNA transcription. In response to metabolic stress, translocates into the mitochondria where it promotes mtDNA transcription. Also acts as a key regulator of chondrogenic commitment of skeletal progenitor cells in response to lipid availability: when lipids levels are low, translocates to the nucleus and promotes expression of SOX9, which induces chondrogenic commitment and suppresses fatty acid oxidation. Also acts as a key regulator of regulatory T-cells (Treg) differentiation by activating expression of FOXP3.
-
基因功能參考文獻:
- role in autophagy activation and the maintenance of intracellular homeostasis in inflamed odontoblasts PMID: 29551204
- Low FOXO3A expression is associated with colorectal cancer. PMID: 30066886
- FoxO3a was overexpressed in 64.71% cases of hepatocellular carcinoma (HCC). FoxO3a overexpression was associated with aggressive phenotypes of HCC, such as histologic grade, stage, and small vessel invasion. FoxO3a overexpression was also correlated with poor disease-free survival. Downregulation of FoxO3a in a HepG2 cell line inhibited cell proliferation and migration. PMID: 29365018
- stable knockdown of FOXO3, NCOA3, and TCF7L2 restored growth in low glucose but reduced MEK/MAPK phosphorylation, reduced anchorage-independent growth, and modulated expressions of GLUT1 and Ras pathway related proteins. PMID: 29301589
- the inhibition of miR-9 could induce apoptosis in cervical cancer by targeting FOXO3. PMID: 29602130
- Study in three European populations present experimental evidence for a functional link between common intronic variants in FOXO3 and human longevity. PMID: 29234056
- circRNA-FOXO3 expression was decreased in NSCLC cells and tissue samples. It can inhibit the development of NSCLC cells as a ceRNA through sponging miR-155 and releasing FOXO3 level. PMID: 29620202
- The protein expression levels of several autophagy makers, such as LC3I, LC3II and Beclin-1, were higher in FOXO3 plasmid-transfected AGS cells cultured in an acidic microenvironment than in control cells, while P62 protein expression levels were clearly decreased in FOXO3 plasmid-transfected cells compared with control cells. PMID: 30138933
- Study suggests that miR-487a-3p might repress CTLA4 and FOXO3 by binding to their 3'UTRs and contribute to the development of T1D. PMID: 29859273
- Findings determined that the crucial regions corresponding to the SP1 binding sites located between 2,000 and 1,037 bp were essential for FoxO3a transcriptional activity. Furthermore, FoxO3a transcription was upregulated in response to hypoxic and oxidative stress in colorectal tumor cells (CRC), indicating that the interaction between SP1 and FoxO3a may have important implications in CRC progression. PMID: 29565456
- FOXO3a expression correlated with adverse clinicopathological features, such as lymph node metastasis, perineural invasion and higher Ki-67 proliferation index in triple-negative breast cancers. PMID: 29588373
- human FOXO3B locus encodes a bona fide human gene; unlike FOXO3A, FOXO3B is cytosolically localized in both the presence and absence of active Akt PMID: 29925039
- FoxO3a overexpression increased the transcription and protein expression of Bcl2like protein 11 and cyclindependent kinase inhibitor 1B, and inhibited cyclin D1 transcription and expression. PMID: 29257235
- miR-132 negatively regulates palmitate induced NLRP3 inflammasome activation through FOXO3 down-regulation in THP-1 cells. PMID: 29258239
- these data ascertain the existence of an H2O2-sensitive PRDX1-FOXO3 signaling axis that fine tunes FOXO3 activity toward the transcription of gene targets in response to oxidative stress. PMID: 28398822
- results suggested that SIRT1 deficiency in Bladder cancer cells could suppress cell viability by activating antioxidant response and inducing cell cycle arrest possibly via FOXO3a-related pathways. PMID: 29147649
- these results suggest that miR-30b plays important roles in kynurenine-induced increase of FOXO3 expression PMID: 28905195
- Authors found that miR-629 negatively regulated FOXO3 protein expression and decreased the activity of a luciferase reporter construct containing the FOXO3 3'-untranslated region. These results show that miR-629 regulates FOXO3 at the posttranscriptional level, resulting in enhanced cell proliferation and invasion of pancreatic carcinoma. PMID: 29072689
- auranofin could regulate the Her2/Akt/FOXO3 signaling pathway in SKOV3 cells and be used as a potential antitumor agent considering the expression of MUC4 in ovarian cancer patients. PMID: 28765909
- FNDC5 gene interactions with candidate genes FOXOA3 and APOE PMID: 29143599
- Results indicate a mechanism for beta-arrestin1 in the regulation of the prostate cancer procession through inhibiting FOXO3a. PMID: 29676828
- The findings of this study indicated that FoxO3a knockdown conferred neuroprotective effects after TBI through inhibiting the activation of neuronal autophagy. PMID: 28889023
- Low FOXO3A expression is associated with cancer. PMID: 29533771
- Data show that forkhead box O3 protein (FOXO3) silencing could inhibit mitophagy and mitochondrial dysfunction induced by manganese chloride (MnCl2). PMID: 28661534
- Report an inverse relationship of age with human serum FOXO3A and SIRT3 levels. PMID: 28526626
- FOXO3 longevity interactome on chromosome 6 has been described. PMID: 28722347
- miR-223-3p regulated cell chemo-sensitivity by targeting FOXO3 in prostatic cancer (PCa) both in vitro and in vivo, providing new potential therapeutic strategy for PCa treatment. PMID: 29518547
- H cordata promotes the activation of HIF-1A-FOXO3 and MEF2A pathways. PMID: 27698266
- A lower FOXO3 mRNA expression in granulosa cells leads to poor oocyte development in patients with unexplained infertility undergoing controlled ovarian stimulation for in vitro fertilization-embryo transfer. PMID: 28621049
- Negative expression of FoxO3/FoxO4 and lymph node metastasis were the risk factors for the poor prognosis of bladder cancer. PMID: 28554751
- miR-155-5p promotes fibroblast cell proliferation and inhibits FOXO signaling pathway by negative modulation of both FOXO3 and CDKN1B in vulvar lichen sclerosis PMID: 29339071
- Cytoplasmic retention of FOXO3a may represent a potential biomarker for response to combined treatment with inhibitors of PI3K and autophagy in PIK3CA-mutant cervical cancer cells. PMID: 28036259
- Results show that FOXO3-phosphorylation at threonine-32 (T32) and nuclear localization in neuroblastoma biopsies significantly correlated with stage IV disease. Data suggest that, depending on the mode and intensity of activation, cellular FOXO3 acts as a homeostasis regulator promoting tumor growth at hypoxic conditions and tumor angiogenesis in high-stage neuroblastoma. PMID: 27769056
- FoxO3a might be a key regulator in cetuximab resistance through up-regulating c-Myc in colorectal cancer targeted therapy. PMID: 27825133
- Atorvastatin strengthens Skp2 binding to FOXO1 or ICAM1, leading to ubiquitination and degradation. Skp2-dependent ubiquitination of major pathogenic molecules is the key mechanism for statin's protective effect on endothelial function in diabetes. PMID: 28802579
- Transcriptional factor PAX3 (PAX3) exerted its tumor suppressor function by inhibiting the activity of major signaling pathways and enhancing expression and activity of transcription factor forkhead box O3 protein (FOXO3a). PMID: 27458157
- The result suggests that FOXO3 rs12212067 polymorphism does not play an important role in susceptibility to T. cruzi infection and/or chronic Chagas cardiomyopathy. PMID: 27125259
- Overexpression of circ-Foxo3 decreased the interaction between Foxo3 and MDM2, and repressed the function of MDM2 in modulating poly-ubiquitination of Foxo3. PMID: 27886165
- silencing FOXO3 diminishes bepridil- and trifluoperazine-induced apoptosis in triple-negative breast cancer cells PMID: 27283899
- The authors found that transient TUBB3 activation, through ABCB1, in response to the stimulation of FOXO3a expression, significantly contributes to the cross-resistance of the paclitaxel-resistant cell population and consequently limits the efficacy of both agents where cancer cells have developed multiple resistance. PMID: 27284014
- findings provide further evidence for the involvement of FoxO3 during terminal erythropoiesis and confirm the modulation of the PI3K/AKT pathway as a potential therapeutic strategy for beta-thalassemia PMID: 29099866
- The data reveal a previously unexplored function of FOXO3a in gastric cancer invasion by regulating proteins involved in extracellular matrix degradation and Epithelial-Mesenchymal Transition. FOXO3a may be of prognostic value and a potential therapeutic target in blocking tumor metastasis. PMID: 27127880
- pro-apoptotic role of miR-34a in PA-induced cholangiocyte lipoapoptosis in culture and in the liver PMID: 28250026
- Ergosterol peroxide stimulated Foxo3 activity by inhibiting pAKT and c-Myc and activating pro-apoptotic protein Puma and Bax to induce HepG2 cancer cell death. PMID: 27058618
- These results show that significantly increased levels of FOXO3, IRF4, and xIAP mRNA in Chinese HIV-1-infected patients. PMID: 27841661
- Knockdown of MIEF2 reduces DOX-induced mitochondrial fission and apoptosis in cardiomyocytes and in vivo. Also, knockdown of MIEF2 protects heart from DOX-induced cardiotoxicity. Our study identifies a novel pathway composed of Foxo3a and MIEF2 that mediates DOX cardiotoxicity. PMID: 28137654
- data show that the GSK3B-FOXO3 pathway is activated after partial hepatectomy, and this may be one of the mechanisms that lead to upregulation of hepatic IGF1R after partial hepatectomy. PMID: 28952285
- Chromosome 6q deletion correlates with poor prognosis and low relative expression of FOXO3 in chronic lymphocytic leukemia patients. PMID: 28699185
- Diabetic Glc also promoted beta-catenin nuclear localization and the formation of a complex with FOXO3a that localized to the promoters of Sod2, p21(cip1), and potentially p27(kip1) PMID: 27411103
- first report of the association between rs13217795 and allergic rhinitis, and the first independent verification of the association between rs13217795 and asthma PMID: 29141605
顯示更多
收起更多
-
相關疾病:A chromosomal aberration involving FOXO3 is found in secondary acute leukemias. Translocation t(6;11)(q21;q23) with KMT2A/MLL1.
-
亞細胞定位:Cytoplasm, cytosol. Nucleus. Mitochondrion matrix. Mitochondrion outer membrane; Peripheral membrane protein; Cytoplasmic side.
-
組織特異性:Ubiquitous.
-
數據庫鏈接:
Most popular with customers
-
-
YWHAB Recombinant Monoclonal Antibody
Applications: ELISA, WB, IHC, IF, FC
Species Reactivity: Human, Mouse, Rat
-
Phospho-YAP1 (S127) Recombinant Monoclonal Antibody
Applications: ELISA, WB, IHC
Species Reactivity: Human
-
-
-
-
-















