FOXR2 Antibody
-
中文名稱:FOXR2兔多克隆抗體
-
貨號:CSB-PA757660LA01HU
-
規格:¥440
-
圖片:
-
Western blot
All lanes: FOXR2 antibody at 4µg/ml
Lane 1: SH-SY5Y whole cell lysate
Lane 2: Hela whole cell lysate
Secondary
Goat polyclonal to rabbit IgG at 1/10000 dilution
Predicted band size: 36 kDa
Observed band size: 36 kDa -
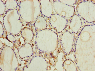
Immunohistochemistry of paraffin-embedded human thyroid tissue using CSB-PA757660LA01HU at dilution of 1:100
-
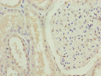
Immunohistochemistry of paraffin-embedded human kidney tissue using CSB-PA757660LA01HU at dilution of 1:100
-
Immunohistochemistry analysis of human lung cancer using CSB-PA757660LA01HU at dilution of 1:100
-
Immunohistochemistry analysis of human melanoma using CSB-PA757660LA01HU at dilution of 1:100
-
-
其他:
產品詳情
-
產品名稱:Rabbit anti-Homo sapiens (Human) FOXR2 Polyclonal antibody
-
Uniprot No.:
-
基因名:FOXR2
-
別名:Forkhead box protein N6 antibody; Forkhead box protein R2 antibody; FOXN6 antibody; Foxr2 antibody; FOXR2_HUMAN antibody
-
宿主:Rabbit
-
反應種屬:Human
-
免疫原:Recombinant Human Forkhead box protein R2 protein (1-300AA)
-
免疫原種屬:Homo sapiens (Human)
-
標記方式:Non-conjugated
本頁面中的產品,FOXR2 Antibody (CSB-PA757660LA01HU),的標記方式是Non-conjugated。對于FOXR2 Antibody,我們還提供其他標記。見下表:
-
克隆類型:Polyclonal
-
抗體亞型:IgG
-
純化方式:>95%, Protein G purified
-
濃度:It differs from different batches. Please contact us to confirm it.
-
保存緩沖液:Preservative: 0.03% Proclin 300
Constituents: 50% Glycerol, 0.01M PBS, PH 7.4 -
產品提供形式:Liquid
-
應用范圍:ELISA, WB, IHC
-
推薦稀釋比:
Application Recommended Dilution WB 1:1000-1:5000 IHC 1:20-1:200 -
Protocols:
-
儲存條件:Upon receipt, store at -20°C or -80°C. Avoid repeated freeze.
-
貨期:Basically, we can dispatch the products out in 1-3 working days after receiving your orders. Delivery time maybe differs from different purchasing way or location, please kindly consult your local distributors for specific delivery time.
-
用途:For Research Use Only. Not for use in diagnostic or therapeutic procedures.
相關產品
靶點詳情
-
基因功能參考文獻:
- FOXR2 might be considered as a promising therapeutic target for non-small cell lung cancer treatment. PMID: 29634928
- FOXR2 was up-regulated and significantly associated with poor endometrial adenocarcinoma prognosis. FOXR2 is a target gene of miR-202. PMID: 28827892
- FOXR2 acts with MYC to promote cancer cell proliferation, which is a potential tumor-specific target for therapeutic intervention against MYC-driven cancers. PMID: 27346356
- our data suggested that FOXR2 significantly promoted proliferation, invasion, and EMT of CRC cells. All these findings provided evidence for the role of FOXR2 as an oncogene in CRC development. PMID: 28548041
- Knockdown of FOXR2 significantly down-regulated the protein expression levels of beta-catenin. PMID: 28068638
- FOXR2 is frequently upregulated in hepatocellular carcinoma specimens compared with neighboring non-cancerous tissues in both messenger RNA and protein. It promoted cell growth and colony formation, and it facilitated tumor xenograft growth. beta-catenin, Skp2, c-Myc, and Gli-1 are the potential downstream effectors of FOXR2. PMID: 26846213
- we observed that the highly expressed FOXR2 in breast and overexpression of FOXR2 was positively associated with the progression and poor prognosis in patients with breast cancer, which indicated that FOXR2 might serve as a valuable prognosis biomarker for breast cancer individuals. PMID: 26596836
- Human FOXN6 gene was identified within human genome sequence RP11-167P23 ( PMID: 15202009
顯示更多
收起更多
-
亞細胞定位:Nucleus.
-
組織特異性:Expressed in breast cancer cell lines and primary cancer.
-
數據庫鏈接:
Most popular with customers
-
-
YWHAB Recombinant Monoclonal Antibody
Applications: ELISA, WB, IHC, IF, FC
Species Reactivity: Human, Mouse, Rat
-
Phospho-YAP1 (S127) Recombinant Monoclonal Antibody
Applications: ELISA, WB, IHC
Species Reactivity: Human
-
-
-
-
-















