GAS2 Antibody
-
中文名稱:GAS2兔多克隆抗體
-
貨號:CSB-PA189397
-
規格:¥1100
-
圖片:
-
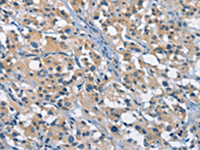
The image on the left is immunohistochemistry of paraffin-embedded Human thyroid cancer tissue using CSB-PA189397(GAS2 Antibody) at dilution 1/50, on the right is treated with fusion protein. (Original magnification: ×200)
-
The image on the left is immunohistochemistry of paraffin-embedded Human gastric cancer tissue using CSB-PA189397(GAS2 Antibody) at dilution 1/50, on the right is treated with fusion protein. (Original magnification: ×200)
-
-
其他:
產品詳情
-
Uniprot No.:
-
基因名:GAS2
-
別名:GAS 2 antibody; GAS-2 antibody; Gas2 antibody; GAS2_HUMAN antibody; Growth arrest specific 2 antibody; Growth arrest specific protein 2 antibody; Growth arrest-specific protein 2 antibody; MGC32610 antibody
-
宿主:Rabbit
-
反應種屬:Human,Mouse
-
免疫原:Fusion protein of Human GAS2
-
免疫原種屬:Homo sapiens (Human)
-
標記方式:Non-conjugated
-
抗體亞型:IgG
-
純化方式:Antigen affinity purification
-
濃度:It differs from different batches. Please contact us to confirm it.
-
保存緩沖液:-20°C, pH7.4 PBS, 0.05% NaN3, 40% Glycerol
-
產品提供形式:Liquid
-
應用范圍:ELISA,IHC
-
推薦稀釋比:
Application Recommended Dilution ELISA 1:1000-1:2000 IHC 1:25-1:100 -
Protocols:
-
儲存條件:Upon receipt, store at -20°C or -80°C. Avoid repeated freeze.
-
貨期:Basically, we can dispatch the products out in 1-3 working days after receiving your orders. Delivery time maybe differs from different purchasing way or location, please kindly consult your local distributors for specific delivery time.
-
用途:For Research Use Only. Not for use in diagnostic or therapeutic procedures.
相關產品
靶點詳情
-
功能:May play a role in apoptosis by acting as a cell death substrate for caspases. Is cleaved during apoptosis and the cleaved form induces dramatic rearrangements of the actin cytoskeleton and potent changes in the shape of the affected cells. May be involved in the membrane ruffling process.
-
基因功能參考文獻:
- Taken together, our results demonstrated the deregulation of GAS2 in both AML and ALL and the requirement of GAS2-Calpain2 axis for the growth of leukemic cells. PMID: 26358320
- Truncated HBx deregulates cell growth via direct silencing of GAS2 and thereby provides a survival advantage for pre-neoplastic hepatocytes to facilitate cancer development via TP53 signaling. PMID: 25925944
- GAS2 is up-regulated in chronic myeloid leukemia cells. PMID: 24465953
- Studies have identified a Gas2/calpain-dependent mechanism by which ICSBP influences beta-catenin activity in myeloid leukemia. PMID: 20679491
- Gas2DN can increase the activity of calpain and induce degradation of stabilized/mutated beta-catenin PMID: 15817486
顯示更多
收起更多
-
亞細胞定位:Cytoplasm, cytoskeleton, stress fiber. Membrane; Peripheral membrane protein.
-
蛋白家族:GAS2 family
-
組織特異性:Ubiquitously expressed with highest levels in liver, lung, and kidney. Not found in spleen.
-
數據庫鏈接:
Most popular with customers
-
-
YWHAB Recombinant Monoclonal Antibody
Applications: ELISA, WB, IHC, IF, FC
Species Reactivity: Human, Mouse, Rat
-
Phospho-YAP1 (S127) Recombinant Monoclonal Antibody
Applications: ELISA, WB, IHC
Species Reactivity: Human
-
-
-
-
-















