GAS6 Antibody
-
中文名稱:GAS6兔多克隆抗體
-
貨號:CSB-PA778945
-
規格:¥1100
-
圖片:
-
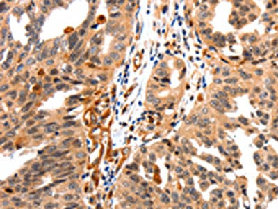
The image on the left is immunohistochemistry of paraffin-embedded Human ovarian cancer tissue using CSB-PA778945(GAS6 Antibody) at dilution 1/10, on the right is treated with synthetic peptide. (Original magnification: ×200)
-
The image on the left is immunohistochemistry of paraffin-embedded Human cervical cancer tissue using CSB-PA778945(GAS6 Antibody) at dilution 1/10, on the right is treated with synthetic peptide. (Original magnification: ×200)
-
-
其他:
產品詳情
-
Uniprot No.:
-
基因名:GAS6
-
別名:AXL receptor tyrosine kinase ligand antibody; AXL stimulatory factor antibody; AXLLG antibody; AXS F antibody; AXSF antibody; DKFZp666G247 antibody; FLJ34709 antibody; Gas 6 antibody; GAS-6 antibody; Gas6 antibody; GAS6_HUMAN antibody; Growth arrest specific 6 antibody; Growth arrest-specific protein 6 antibody; Growth-arrest-specific protein 6 antibody; Growth-arrest-specific protein 6 precursor antibody
-
宿主:Rabbit
-
反應種屬:Human
-
免疫原:Synthetic peptide of Human GAS6
-
免疫原種屬:Homo sapiens (Human)
-
標記方式:Non-conjugated
-
抗體亞型:IgG
-
純化方式:Antigen affinity purification
-
濃度:It differs from different batches. Please contact us to confirm it.
-
保存緩沖液:-20°C, pH7.4 PBS, 0.05% NaN3, 40% Glycerol
-
產品提供形式:Liquid
-
應用范圍:ELISA,IHC
-
推薦稀釋比:
Application Recommended Dilution ELISA 1:1000-1:2000 IHC 1:10-1:50 -
Protocols:
-
儲存條件:Upon receipt, store at -20°C or -80°C. Avoid repeated freeze.
-
貨期:Basically, we can dispatch the products out in 1-3 working days after receiving your orders. Delivery time maybe differs from different purchasing way or location, please kindly consult your local distributors for specific delivery time.
-
用途:For Research Use Only. Not for use in diagnostic or therapeutic procedures.
相關產品
靶點詳情
-
功能:Ligand for tyrosine-protein kinase receptors AXL, TYRO3 and MER whose signaling is implicated in cell growth and survival, cell adhesion and cell migration. GAS6/AXL signaling plays a role in various processes such as endothelial cell survival during acidification by preventing apoptosis, optimal cytokine signaling during human natural killer cell development, hepatic regeneration, gonadotropin-releasing hormone neuron survival and migration, platelet activation, or regulation of thrombotic responses.; (Microbial infection) Can bridge virus envelope phosphatidylserine to the TAM receptor tyrosine kinase Axl to mediate viral entry by apoptotic mimicry. Plays a role in Dengue cell entry by apoptotic mimicry. Plays a role in Vaccinia virus cell entry by apoptotic mimicry. Plays a role in ebolavirus and marburgvirus cell entry by apoptotic mimicry.
-
基因功能參考文獻:
- Growth Arrest-Specific 6(GAS6) levels increased significantly after vitamin K1 prophylaxis in preterm newborns but not in term infants PMID: 28335649
- Higher levels of Gas6 in plasma are obviously correlated with acute lung injury (ALI) development. An early increase in the plasma Gas6 level suggests that endothelial injury is a key link in the pathogenesis of ALI. PMID: 29176262
- This study demonstrates that motility behavior of AXL-expressing tumor cells can be elicited by Gas6-bearing apoptotic bodies generated from tumor treatment with therapeutics that produce killing of a portion of the tumor cells present but not all, hence generating potentially problematic invasive and metastatic behavior of the surviving tumor cells PMID: 28923840
- Self-sustaining cells are characterized by excessive GAS6 secretion and TAM-PDK-RSK-mTOR pathway activation. PMID: 28675785
- The anti-angiogenic effect of luteolin may be associated with the inhibition of the Gas6/Axl pathway and its downstream phosphatidylinositol 3-kinase (PI3K)/protein kinase B (Akt)/mammalian target of rapamycin (mTOR) signaling pathways. PMID: 28627676
- TWIST1, in part via GAS6 and L1CAM, led to higher expression and activation of Akt upon cisplatin treatment, and inhibition of Akt activation sensitized cells to cisplatin. PMID: 27876874
- Gas6 bound to the fiber proteins of adenovirus and suppressed IFN beta production. PMID: 29288958
- Protein S and Gas6 mediates phagocytosis of HIV-1-infected cells by bridging receptor tyrosine kinase Mer to phosphatidylserine exposed on infected cells. PMID: 29304470
- A critical role for GAS6 in epithelial cells in maintaining oral homeostasis. PMID: 28049839
- AXL is the only relevant Zika virus entry cofactor expressed on fetal endothelial cells, and that when produced in mammalian cells, only Zika virus, but not West Nile virus or dengue virus, can use AXL, because it more efficiently binds Gas6. PMID: 28167751
- The plasma concentrations of Gas6 and Axl are lowered in rheumatoid arthritis patients. PMID: 24702788
- Suppression of AXL by shRNA and inhibitor prolonged survival of chronic myelogenous leukemia (CML) mice and reduced the growth of leukemia stem cells ( LSCs) in mice. Gas6/AXL ligation stabilizes beta-catenin in an AKT-dependent fashion in human CML CD34(+) cells. Our findings improve the understanding of LSC regulation and validate Gas6/AXL as a pair of therapeutic targets to eliminate CML LSCs PMID: 27852702
- AXL+ and GAS6+ expression is relevant to a poor prognosis in resected lung adenocarcinoma (AD)patients at stage I. AXL/GAS6 might serve as crucial predictive and prognostic biomarkers and targets to identify individuals at high risk of post-operative death. PMID: 28440492
- Taken together, our data indicate that elevated plasma Gas6 levels is associated with the severity of disease during HTNV infection in humans, suggesting that Gas6 may play an important role by binding with Tyro3 on monocytes. PMID: 28537534
- Study detected an inverse correlation between CSF Gas6 levels at Alzheimer's disease (AD) diagnosis and both disease duration and decrease in the MMSE score two years later. Conversely,no correlation was found between CSF Gas6 and both AD biomarkers and years of formal schooling. Results suggest that upregulation of CSF Gas6 may be part of a defensive response aimed at counteracting AD progression. PMID: 27636849
- Upon chemotherapy macrophages increase Gas6 synthesis, which significantly attenuates the cytotoxic effect of 5-FU chemotherapy on colorectal cancer cells. PMID: 27486820
- These results show that TYRO3, AXL and GAS6 are expressed at higher levels in LMS and expression of its ligands correlates to a worse PFS in LMS patients. PMID: 29024938
- these data suggest that endogenous GAS6 and Mer receptor signaling contribute to the establishment of prostate cancer stem cells in the bone marrow microenvironment PMID: 27028863
- The GAS6-AXL signaling network is a mesenchymal (Mes) molecular subtype-specific therapeutic target for ovarian cancer PMID: 27703030
- The expression of AXL was positively associated with GAS6 expression (P < 0.001), and tumor differentiation (P = 0.014) in advanced NSCLC with metastases. AXL expression displayed no association with gender, age, smoking history, pathology, T stage, N stage, CEA, and LDH. PMID: 28551766
- These results demonstrate that Gas6/Axl axis confers aggressiveness in breast cancer. PMID: 27279912
- Our data suggest that a TT genotype at +1332C/T polymorphism might be associated with decreased risk for preeclampsia, but the 834+7G/A polymorphism is not associated with the disorder, in the Chinese population. PMID: 28242471
- Inhibition of the GAS6/AXL pathway augments the efficacy of chemotherapies PMID: 27893463
- In conclusion, our study shows that SNPsrs8191974 and rs2028299 of the Gas6 are significantly associated with type 2 diabetes mellitus (T2DM) in the Chinese population PMID: 28399188
- High GAS6 expression is associated with Multiple Myeloma. PMID: 28154173
- Data show that the variant growth arrest specific 6 (GAS6) +1332 T allele is associated with a decreased risk for severe preeclampsia in a South West Han Chinese population, but the 834+7G/A polymorphism has no effect on the severe preeclampsia. PMID: 28186592
- Gas6 plasma level within 24 hours of ICU admission may predicts in-ICU mortality in patients with sepsis PMID: 27788141
- In this paper, we review the biology of the Gas6/Tyro3, Axl, and MerTK(collectively named TAM system)and the current evidence supporting its potential role in the pathogenesis of multiple sclerosis . PMID: 27801848
- serum testosterone and GAS6 levels were positively associated in male patients with coronary heart disease PMID: 26924277
- investigation of the prognostic values of stromal NK cells and Gas6 in triple negative breast cancer (TNBC), and to eventually establish a prognostic risk model for patients with TNBC PMID: 27145494
- CONCLUSIONS: Our results suggest that GAS6 c.834 + 7G> A polymorphism may have a pivotal role in the pathogenesis of preeclampsia (PE) suggesting that the A allele has a protective role for PE. PMID: 25915719
- Gas6-mediated uptake is not a means to clear the bulk of circulating membrane-derived microparticles (PMPs) but may serve to locally phagocytose PMPs generated at sites of platelet activation and as a way to effect endothelial responses. PMID: 27006397
- High expression of Gas6 correlated with Upper Tract Urothelial Carcinoma. PMID: 26350366
- Gas6 and Axl serum levels increase in parallel to chronic liver disease progression inactivation. PMID: 25908269
- GAS6 intron 8 c.834 + 7G > A polymorphism was not associated with diabetic nephropathy in type 2 diabetes mellitus. However, heterozygous state of this polymorphism may be a risk factor for diabetic retinopathy in patients with diabetic nephropathy. PMID: 25869052
- decreased plasma Gas6 concentration and labial salivary gland expression were associated with primary Sjogren syndrome(pSS); Gas6 may represent a novel independent risk factor for pSS, with a potential role in salivary gland inflammation and dysfunction PMID: 26445266
- Gas6 increases the metastatic capacity of oral squamous cell carcinoma(OSCC) cells and serum Gas6 could be a candidate biomarker for diagnostic and prognostic use in OSCC patients. PMID: 26207647
- Gas6 gene variants are associated with IR, although their effects on subsequent progression to T2D were minimal in this prospective Asian cohort PMID: 26284522
- Data shoed increased GAS6 and decreased MGP levels in hemodialysis patients, as mediators of induction or prevention of vascular calcification. PMID: 25957430
- Gas6-induced Axl signaling is a critical driver of pancreatic cancer progression. PMID: 26206560
- genetic variability of GAS6 and PEAR1 genes may be associated with platelet hyperaggregability PMID: 25703520
- Suggest an association between low plasma GAS6 levels and conventional cardiometabolic risk factors in psoriasis. PMID: 25752901
- a protective role for AA Gas6 variant in type 2 diabetic patients may be concluded PMID: 26415371
- These results suggest that plasma Gas6 is associated with sex hormones in both pre- and postmenopausal women PMID: 24676757
- The present study highlights that the GAS6/ProS-TAM system correlates in several ways with disease activity in systemic lupus erythematosus PMID: 23497733
- Inhibition of the Gas6 receptor Mer or therapeutic targeting of Gas6 by warfarin is a promising strategy for the treatment of multiple myeloma. PMID: 25102945
- HIF-1 and HIF-2 directly activate the expression of AXL and GAS6/AXL signaling uses lateral activation of the met proto-oncogene (MET) through SRC proto-oncogene nonreceptor tyrosine kinase to maximize cellular invasion. PMID: 25187556
- Plasma levels of growth arrest specific protein 6 are increased in idiopathic recurrent pregnancy loss PMID: 24899617
- plasma levels associated with albuminuria in patients with type 2 diabetes PMID: 24512357
- Gas6 could play a potential role in the pathogenesis of adult-onset Still's disease PMID: 24770797
顯示更多
收起更多
-
亞細胞定位:Secreted.
-
組織特異性:Plasma. Isoform 1 and isoform 2 are widely expressed, isoform 1 being expressed at higher levels than isoform 2 in most tissues. Isoform 2 is the predominant form in spleen.
-
數據庫鏈接:
Most popular with customers
-
-
YWHAB Recombinant Monoclonal Antibody
Applications: ELISA, WB, IHC, IF, FC
Species Reactivity: Human, Mouse, Rat
-
-
-
-
-
-















