GDI2 Antibody
-
中文名稱:GDI2兔多克隆抗體
-
貨號:CSB-PA009354LA01HU
-
規格:¥440
-
圖片:
-
Western blot
All lanes: GDI2 antibody at 2µg/ml
Lane 1: Mouse brain tissue
Lane 2: HepG2 whole cell lysate
Lane 3: MCF-7 whole cell lysate
Secondary
Goat polyclonal to rabbit IgG at 1/10000 dilution
Predicted band size: 51, 46 kDa
Observed band size: 51 kDa -
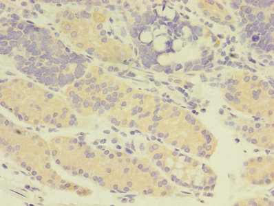
Immunohistochemistry of paraffin-embedded human gastric cancer using CSB-PA009354LA01HU at dilution of 1:100
-
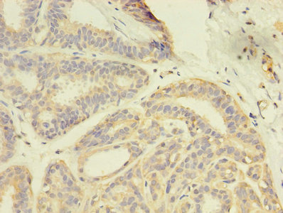
Immunohistochemistry of paraffin-embedded human breast cancer using CSB-PA009354LA01HU at dilution of 1:100
-
-
其他:
產品詳情
-
產品名稱:Rabbit anti-Homo sapiens (Human) GDI2 Polyclonal antibody
-
Uniprot No.:
-
基因名:GDI2
-
別名:GDI-2 antibody; GDI2 antibody; GDIB_HUMAN antibody; GDP dissociation inhibitor 2 antibody; Guanosine diphosphate dissociation inhibitor 2 antibody; Rab GDI beta antibody; Rab GDP dissociation inhibitor beta antibody; RABGDIB antibody
-
宿主:Rabbit
-
反應種屬:Human, Mouse
-
免疫原:Recombinant Human Rab GDP dissociation inhibitor beta protein (1-445AA)
-
免疫原種屬:Homo sapiens (Human)
-
標記方式:Non-conjugated
本頁面中的產品,GDI2 Antibody (CSB-PA009354LA01HU),的標記方式是Non-conjugated。對于GDI2 Antibody,我們還提供其他標記。見下表:
-
克隆類型:Polyclonal
-
抗體亞型:IgG
-
純化方式:>95%, Protein G purified
-
濃度:It differs from different batches. Please contact us to confirm it.
-
保存緩沖液:Preservative: 0.03% Proclin 300
Constituents: 50% Glycerol, 0.01M PBS, PH 7.4 -
產品提供形式:Liquid
-
應用范圍:ELISA, WB, IHC
-
推薦稀釋比:
Application Recommended Dilution WB 1:500-1:5000 IHC 1:20-1:200 -
Protocols:
-
儲存條件:Upon receipt, store at -20°C or -80°C. Avoid repeated freeze.
-
貨期:Basically, we can dispatch the products out in 1-3 working days after receiving your orders. Delivery time maybe differs from different purchasing way or location, please kindly consult your local distributors for specific delivery time.
-
用途:For Research Use Only. Not for use in diagnostic or therapeutic procedures.
相關產品
靶點詳情
-
功能:Regulates the GDP/GTP exchange reaction of most Rab proteins by inhibiting the dissociation of GDP from them, and the subsequent binding of GTP to them.
-
基因功能參考文獻:
- Reduction of nucleoside diphosphate kinase B, Rab GDP-dissociation inhibitor beta and histidine triad nucleotide-binding protein in fetal Down syndrome brain. PMID: 11771757
- The increased levels of cyclin I and GDI2 found to be associated with pancreatic carcinoma were further confirmed by Western blot analyses in an independent series of serum samples and/or pancreatic juice samples PMID: 17507299
-
亞細胞定位:Cytoplasm. Membrane; Peripheral membrane protein.
-
蛋白家族:Rab GDI family
-
組織特異性:Ubiquitous.
-
數據庫鏈接:
Most popular with customers
-
-
YWHAB Recombinant Monoclonal Antibody
Applications: ELISA, WB, IHC, IF, FC
Species Reactivity: Human, Mouse, Rat
-
Phospho-YAP1 (S127) Recombinant Monoclonal Antibody
Applications: ELISA, WB, IHC
Species Reactivity: Human
-
-
-
-
-















