GFM2 Antibody
-
中文名稱:GFM2兔多克隆抗體
-
貨號:CSB-PA856889ESR2HU
-
規格:¥440
-
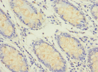
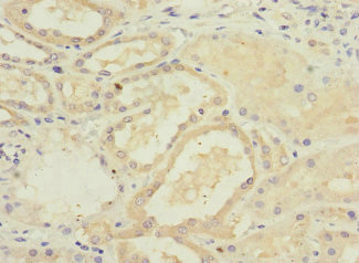
圖片:
-
其他:
產品詳情
-
產品名稱:Rabbit anti-Homo sapiens (Human) GFM2 Polyclonal antibody
-
Uniprot No.:
-
基因名:GFM2
-
別名:GFM2 antibody; EFG2 antibody; MSTP027 antibody; Ribosome-releasing factor 2 antibody; mitochondrial antibody; RRF2mt antibody; Elongation factor G 2 antibody; mitochondrial antibody; EF-G2mt antibody; mEF-G 2 antibody; Elongation factor G2 antibody; hEFG2 antibody
-
宿主:Rabbit
-
反應種屬:Human
-
免疫原:Recombinant Human Ribosome-releasing factor 2, mitochondrial protein (520-779AA)
-
免疫原種屬:Homo sapiens (Human)
-
標記方式:Non-conjugated
-
克隆類型:Polyclonal
-
抗體亞型:IgG
-
純化方式:Antigen Affinity Purified
-
濃度:It differs from different batches. Please contact us to confirm it.
-
保存緩沖液:PBS with 0.02% sodium azide, 50% glycerol, pH7.3.
-
產品提供形式:Liquid
-
應用范圍:ELISA, IHC
-
推薦稀釋比:
Application Recommended Dilution IHC 1:20-1:200 -
Protocols:
-
儲存條件:Upon receipt, store at -20°C or -80°C. Avoid repeated freeze.
-
貨期:Basically, we can dispatch the products out in 1-3 working days after receiving your orders. Delivery time maybe differs from different purchasing way or location, please kindly consult your local distributors for specific delivery time.
-
用途:For Research Use Only. Not for use in diagnostic or therapeutic procedures.
相關產品
靶點詳情
-
功能:Mitochondrial GTPase that mediates the disassembly of ribosomes from messenger RNA at the termination of mitochondrial protein biosynthesis. Acts in collaboration with MRRF. GTP hydrolysis follows the ribosome disassembly and probably occurs on the ribosome large subunit. Not involved in the GTP-dependent ribosomal translocation step during translation elongation.
-
基因功能參考文獻:
- GFM2 mutations could be causative of a phenotype of Leigh syndrome with arthrogryposis multiplex congenita. PMID: 26016410
- These findings constitute the first reported phenotype associated with SNPs in the EF-G2mt gene and implicate the human EF-G2mt gene as a pharmacogenetic candidate gene for statin toxicity in humans PMID: 22719265
- Myoblasts isolated from the MELAS patients show A3243G mutation in tRNALeu(UUR) produces a severe respiratory chain deficiency and this phenotype can be partially suppressed by overexpression of EFTu and EFG2. PMID: 18753147
- EF-G2mt is an exclusive recycling factor in mammalian mitochondrial protein synthesis. PMID: 19716793
-
亞細胞定位:Mitochondrion.
-
蛋白家族:TRAFAC class translation factor GTPase superfamily, Classic translation factor GTPase family, EF-G/EF-2 subfamily
-
組織特異性:Widely expressed.
-
數據庫鏈接:
Most popular with customers
-
-
YWHAB Recombinant Monoclonal Antibody
Applications: ELISA, WB, IHC, IF, FC
Species Reactivity: Human, Mouse, Rat
-
Phospho-YAP1 (S127) Recombinant Monoclonal Antibody
Applications: ELISA, WB, IHC
Species Reactivity: Human
-
-
-
-
-















