GHRHR Antibody
-
中文名稱:GHRHR兔多克隆抗體
-
貨號:CSB-PA009413LA01HU
-
規格:¥440
-
圖片:
-
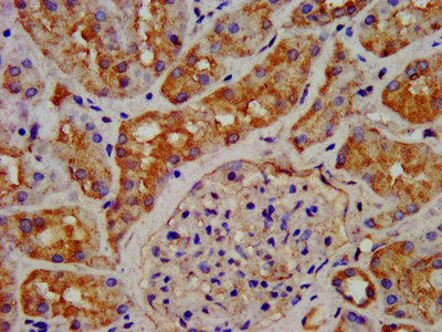
IHC image of CSB-PA009413LA01HU diluted at 1:200 and staining in paraffin-embedded human kidney tissue performed on a Leica BondTM system. After dewaxing and hydration, antigen retrieval was mediated by high pressure in a citrate buffer (pH 6.0). Section was blocked with 10% normal goat serum 30min at RT. Then primary antibody (1% BSA) was incubated at 4°C overnight. The primary is detected by a biotinylated secondary antibody and visualized using an HRP conjugated SP system.
-
Immunofluorescence staining of HepG2 cells with CSB-PA009413LA01HU at 1:67, counter-stained with DAPI. The cells were fixed in 4% formaldehyde, permeabilized using 0.2% Triton X-100 and blocked in 10% normal Goat Serum. The cells were then incubated with the antibody overnight at 4°C. The secondary antibody was Alexa Fluor 488-congugated AffiniPure Goat Anti-Rabbit IgG(H+L).
-
-
其他:
產品詳情
-
產品名稱:Rabbit anti-Homo sapiens (Human) GHRHR Polyclonal antibody
-
Uniprot No.:
-
基因名:
-
別名:GHRFR antibody; GHRH R antibody; GHRH receptor antibody; Ghrhr antibody; GHRHR_HUMAN antibody; GHRHRpsv antibody; GRF R antibody; GRF receptor antibody; GRFR antibody; Growth hormone releasing factor receptor antibody; Growth hormone releasing hormone receptor antibody; Growth hormone-releasing factor receptor antibody; Growth hormone-releasing hormone receptor antibody
-
宿主:Rabbit
-
反應種屬:Human
-
免疫原:Recombinant Human Growth hormone-releasing hormone receptor protein (23-127AA)
-
免疫原種屬:Homo sapiens (Human)
-
標記方式:Non-conjugated
本頁面中的產品,GHRHR Antibody (CSB-PA009413LA01HU),的標記方式是Non-conjugated。對于GHRHR Antibody,我們還提供其他標記。見下表:
-
克隆類型:Polyclonal
-
抗體亞型:IgG
-
純化方式:>95%, Protein G purified
-
濃度:It differs from different batches. Please contact us to confirm it.
-
保存緩沖液:Preservative: 0.03% Proclin 300
Constituents: 50% Glycerol, 0.01M PBS, pH 7.4 -
產品提供形式:Liquid
-
應用范圍:ELISA, IHC, IF
-
推薦稀釋比:
Application Recommended Dilution IHC 1:200-1:500 IF 1:50-1:200 -
Protocols:
-
儲存條件:Upon receipt, store at -20°C or -80°C. Avoid repeated freeze.
-
貨期:Basically, we can dispatch the products out in 1-3 working days after receiving your orders. Delivery time maybe differs from different purchasing way or location, please kindly consult your local distributors for specific delivery time.
-
用途:For Research Use Only. Not for use in diagnostic or therapeutic procedures.
相關產品
靶點詳情
-
功能:Receptor for GRF, coupled to G proteins which activate adenylyl cyclase. Stimulates somatotroph cell growth, growth hormone gene transcription and growth hormone secretion.
-
基因功能參考文獻:
- Mutation in GHRHR is associated with pituitary diseases. PMID: 29277338
- Report GHRH-R labelling of apocrine glands and neoplastic epithelium in adnexal tumours and apocrine glands of the skin. PMID: 29895126
- Single nucleotide variant in GHRHR gene is associated with isolated growth hormone deficiency. PMID: 28910730
- GHRHR mutation is associated with growth hormone deficiency. PMID: 28525353
- The pP79L mutation is associated with the compromise in function, with the residual partial activity explaining the mild phenotype. PMID: 27501283
- This is the first report to demonstrate the GHRH-R codon 72 mutation in Sri Lankan patients with confirmed growth hormone deficiency. PMID: 27031974
- This study shows that GHRH-R is expressed by the majority of malignant mixed Mullerian tumors in both epithelial and mesenchymal components PMID: 26535981
- Identification of new missense mutations and an insertion mutation for the GHRHR gene in patients with isolated growth hormone deficiency. PMID: 25541890
- A reduced stature in older subjects heterozygous for the c.57+1G>A GHRHR mutation, indicating different effects of heterozygosis through lifespan. PMID: 25761575
- we found that pGHRH-R and its main splice variant are expressed in thyroid tissue and was upregulated in tumor cells compared to normal thyroid cells PMID: 25752763
- Indel mutation in the growth hormone releasing hormone receptor gene is associated with isolated growth hormone deficiency. PMID: 25153028
- These preliminary results suggest a greater than average GHRH-R expression in invasive lobular carcinomas and invasive ductal carcinomas associated with casting-type calcifications on the mammogram. PMID: 24479854
- Compound heterozygous mutations of the growth hormone-releasing hormone receptor gene is associated with isolated growth hormone deficiency PMID: 23602557
- Genu valgum was more prevalent in growth hormone deficiency GHRHR mutation patients than controls. PMID: 24057284
- We report a novel splice-disrupting mutation in GHRHR in 2 siblings and provide evidence that all c.57+1G>A (IVS1+1G>A) mutant chromosomes have the same haplotype ancestor PMID: 23052699
- The study established the GHRHR gene sequence variation map in isolated severe growth hormone deficiency patients and normal adult height. PMID: 22489751
- bone quality and metabolism and its correlation with insulin sensitivity in subjects heterozygous for a null mutation in GHRHR PMID: 21995288
- GHRH-R and Hsp90 were found to be independent predictive factors of histopathological response to neoadjuvant RCT. PMID: 22160161
- study describes a new frame shift mutation in the coding sequence of exon 4 (corresponding to the extracellular domain of the receptor)(c.391delG) in the GHRHR in a family with isolated GH deficiency PMID: 21816782
- This chapter reviews the biology of the GHRHR, the mutations that affect its gene and their effects in homozygous and heterozygous individuals. PMID: 20374725
- The homozygous GHRHR mutation was rare, being detected in only one Japanese isolated GH deficiency family. PMID: 21044116
- The endometriotic stromal cells (ESCs) and transformed human ESCs, but not normal endometrial tissues, expressed GHRH-R mRNA. PMID: 19524226
- These results show, for the first time, the activation of the MAPKs cascade by the splic variant (SV1) receptor. PMID: 19897610
- Longevity in untreated congenital growth hormone deficiency due to a homozygous mutation in the GHRH receptor gene. PMID: 19965916
- To ascertain whether (splice variant) SV1 mediates mitogenic effects on nonpituitary tissues, we expressed SV1 in 3T3 mouse fibroblasts and studied the properties of the transfected cells PMID: 11773624
- results demonstrate that mutations in the GHRHR are not limited to the coding sequence and that promoter mutations that impair Pit-1 binding can reduce expression of the GHRHR gene PMID: 11875102
- human GHRHR isoforms are found in experimental prostate neoplasms in mice; this could explain the effects of GHRH antagonists on growth of prostate cancer PMID: 12126741
- expression of mRNA and splice variants of this receptor in human malignant bone tumors PMID: 12220726
- an examination of the possible clinical significance of a polymorphism in the gene of this receptor: involvement in acromegaly PMID: 12220735
- mutations in the GHRH receptor gene make abnormalities of this gene one of the most common causes of of isolated growth hormone deficiency--REVIEW PMID: 12424433
- Compound heterozygotes for two previously undescribed mutations in the GHRHR that are predicted to cause complete lack of functional GHRHR protein: a nonsense mutation in codon 43 (Q43X), and a splice mutation at the beginning of intron 3 (IVS3+1G-->A). PMID: 12444890
- GHRH receptor may be associated with carcinogenesis PMID: 12867592
- autocrine stimulatory loop between GHRH and SV1 variant of GHRH receptor in primary cancers. PMID: 15362970
- GHRH-R was demonstrated in prostate and breast carcinomas, opening a variety of possibilities for the use of GHRH antagonists in the treatment of prostatic and mammary tumors. PMID: 15944917
- analysis of receptors for growth hormone-releasing hormone in human osteosarcomas and Ewing's sarcomas PMID: 16820890
- Heterozygosity for a null GHRHR mutation is not associated with reduction in adult stature or in serum IGF-I but is associated with changes in body composition and possibly an increase in insulin sensitivity PMID: 17356054
- Size of individual abdominal organs is influenced in different ways by severe and congenital lack of GH due to a GHRH-R mutation. PMID: 18034778
- the expression of GHRH and its tumoral receptor SV1 in primary human melanomas and dysplastic nevi by immunohistochemistry. None of the specimens tested expressed GHRH PMID: 18255167
- targeting the GHRH receptor may be a therapeutic option in Triple-negative breast cancers PMID: 18629632
- Gsp mutations up-regulate GHRHR mRNA expression in GH-secreting pituitary adenoma cells & desensitize the adenoma cells to GHRH in terms of their GHRHR mRNA expression. PMID: 19029774
- GHRHR might be one of the most important genes so far identified affecting normal variation in human height. PMID: 19209235
- Mutations in GH1 and GHRHR were identified in 41 patients from 21 pedigrees, representing 11.1% of our cohort with a higher prevalence of mutations in familial cases (38.6%) and in consanguineous pedigrees (75%) of congenital growth hormone deficiency. PMID: 19567534
- Common variants of the GNRH1 and GNRHR genes are not associated with risk of invasive breast cancer in Caucasians PMID: 19640273
- These results provide strong evidence that the splicing mutation IVS8+1G>A of growth hormone-releasing hormone receptor is a cause of pituitary dwarfism in the Chinese family. PMID: 19733620
顯示更多
收起更多
-
相關疾病:Growth hormone deficiency, isolated, 1B (IGHD1B)
-
亞細胞定位:Cell membrane; Multi-pass membrane protein.
-
蛋白家族:G-protein coupled receptor 2 family
-
組織特異性:Pituitary gland.
-
數據庫鏈接:
Most popular with customers
-
Phospho-YAP1 (S127) Recombinant Monoclonal Antibody
Applications: ELISA, WB, IHC
Species Reactivity: Human
-
-
-
-
-
-
-















