GMPPB Antibody
-
中文名稱:GMPPB兔多克隆抗體
-
貨號:CSB-PA896740LA01HU
-
規格:¥440
-
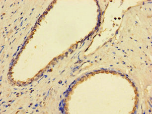
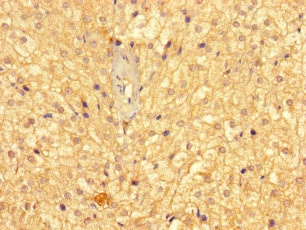
圖片:
-
其他:
產品詳情
-
產品名稱:Rabbit anti-Homo sapiens (Human) GMPPB Polyclonal antibody
-
Uniprot No.:
-
基因名:GMPPB
-
別名:GDP mannose pyrophosphorylase B antibody; GDP-mannose pyrophosphorylase B antibody; GMPPB antibody; GMPPB_HUMAN antibody; GTP-mannose-1-phosphate guanylyltransferase beta antibody; KIAA1851 antibody; Mannose 1 phosphate guanylyltransferase antibody; Mannose-1-phosphate guanyltransferase beta antibody
-
宿主:Rabbit
-
反應種屬:Human
-
免疫原:Recombinant Human Mannose-1-phosphate guanyltransferase beta protein (61-360AA)
-
免疫原種屬:Homo sapiens (Human)
-
標記方式:Non-conjugated
本頁面中的產品,GMPPB Antibody (CSB-PA896740LA01HU),的標記方式是Non-conjugated。對于GMPPB Antibody,我們還提供其他標記。見下表:
-
克隆類型:Polyclonal
-
抗體亞型:IgG
-
純化方式:>95%, Protein G purified
-
濃度:It differs from different batches. Please contact us to confirm it.
-
保存緩沖液:Preservative: 0.03% Proclin 300
Constituents: 50% Glycerol, 0.01M PBS, PH 7.4 -
產品提供形式:Liquid
-
應用范圍:ELISA, IHC
-
推薦稀釋比:
Application Recommended Dilution IHC 1:20-1:200 -
Protocols:
-
儲存條件:Upon receipt, store at -20°C or -80°C. Avoid repeated freeze.
-
貨期:Basically, we can dispatch the products out in 1-3 working days after receiving your orders. Delivery time maybe differs from different purchasing way or location, please kindly consult your local distributors for specific delivery time.
-
用途:For Research Use Only. Not for use in diagnostic or therapeutic procedures.
相關產品
靶點詳情
-
功能:Catalyzes the formation of GDP-mannose, an essential precursor of glycan moieties of glycoproteins and glycolipids.
-
基因功能參考文獻:
- Late-onset limb-girdle muscular dystrophy caused by GMPPB mutations. PMID: 28478914
- Study finds that the GMPPB mutation spectrum in Chinese patients may differ from that of European populations, with the mutation p.(Arg357His) most frequently found. These mutations may lead to abnormal folding of GMPPB leading to protein aggregates in the cytoplasm rather than an overall loss in protein expression. PMID: 28433477
- Patients with GMPPB-CMS have phenotypic features aligned with CMS subtypes harbouring mutations within the early stages of the glycosylation pathway. Additional features shared with the dystroglycanopathies include myopathic features, raised Creatine Kinase levels and variable mild cognitive delay. PMID: 27147698
- We observe that c.79G>C (p.D27H) is associated with a mild limb-girdle muscular dystrophy phenotype, whereas c.860G>A (p.R287Q) is associated with a relatively severe congenital muscular dystrophy typically involving brain development. PMID: 26310427
- This study found mutations in GMPPB can lead to a wide spectrum of clinical features where deficit in neuromuscular transmission is the major component in a subset of cases. PMID: 26133662
- The phenotypic spectrum of GMPPB mutations was expanded to include limb-girdle muscular dystrophies. PMID: 25681410
- Work confirms a role for GMPPB defects in alpha-dystroglycanopathy, and suggests that glycosylation may play a role in the neuronal membrane channels or networks involved in the physiology of generalized epilepsy syndromes. PMID: 24780531
- Individuals with GMPPB mutations have hypoglycosylated alpha-dystroglycan in muscle. These mutations cause congenital and limb-girdle muscular dystrophies. PMID: 23768512
顯示更多
收起更多
-
相關疾病:Muscular dystrophy-dystroglycanopathy congenital with brain and eye anomalies A14 (MDDGA14); Muscular dystrophy-dystroglycanopathy congenital with mental retardation B14 (MDDGB14); Muscular dystrophy-dystroglycanopathy limb-girdle C14 (MDDGC14)
-
亞細胞定位:Cytoplasm.
-
蛋白家族:Transferase hexapeptide repeat family
-
數據庫鏈接:
Most popular with customers
-
-
YWHAB Recombinant Monoclonal Antibody
Applications: ELISA, WB, IHC, IF, FC
Species Reactivity: Human, Mouse, Rat
-
Phospho-YAP1 (S127) Recombinant Monoclonal Antibody
Applications: ELISA, WB, IHC
Species Reactivity: Human
-
-
-
-
-















