GNAO1 Antibody
-
中文名稱:GNAO1兔多克隆抗體
-
貨號:CSB-PA009593DSR2HU
-
規格:¥440
-
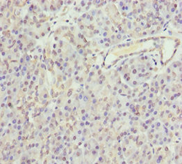
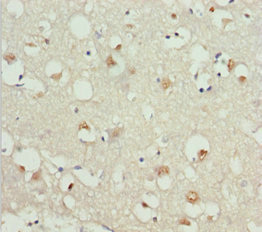
圖片:
-
其他:
產品詳情
-
產品名稱:Rabbit anti-Homo sapiens (Human) GNAO1 Polyclonal antibody
-
Uniprot No.:
-
基因名:
-
別名:DKFZp686O0962 antibody; G alpha o antibody; G protein alpha 0 antibody; Galphao antibody; GNAO 1 antibody; GNAO antibody; GNAO_HUMAN antibody; GNAO1 antibody; Go alpha antibody; Guanine nucleotide binding protein (G protein) alpha activating activity polypeptide O antibody; Guanine nucleotide binding protein alpha activating polypeptide antibody; Guanine nucleotide binding protein G(o) subunit alpha antibody; Guanine nucleotide-binding protein G(o) subunit alpha antibody
-
宿主:Rabbit
-
反應種屬:Human
-
免疫原:Recombinant Human Guanine nucleotide-binding protein G(o) subunit alpha protein (60-180AA)
-
免疫原種屬:Homo sapiens (Human)
-
標記方式:Non-conjugated
-
克隆類型:Polyclonal
-
抗體亞型:IgG
-
純化方式:Antigen Affinity Purified
-
濃度:It differs from different batches. Please contact us to confirm it.
-
保存緩沖液:PBS with 0.02% sodium azide, 50% glycerol, pH7.3.
-
產品提供形式:Liquid
-
應用范圍:ELISA, IHC
-
推薦稀釋比:
Application Recommended Dilution IHC 1:20-1:200 -
Protocols:
-
儲存條件:Upon receipt, store at -20°C or -80°C. Avoid repeated freeze.
-
貨期:Basically, we can dispatch the products out in 1-3 working days after receiving your orders. Delivery time maybe differs from different purchasing way or location, please kindly consult your local distributors for specific delivery time.
-
用途:For Research Use Only. Not for use in diagnostic or therapeutic procedures.
相關產品
靶點詳情
-
功能:Guanine nucleotide-binding proteins (G proteins) are involved as modulators or transducers in various transmembrane signaling systems. The G(o) protein function is not clear. Stimulated by RGS14.
-
基因功能參考文獻:
- first report of siblings of opposite sex harboring the same GNAO1 mutation but showing differences in phenotype with pronounced dystonia in the boy and epilepsy in his sister. PMID: 28628939
- GNAO1 transcription was inhibited by promoter hypermethylation, contributing to its low expression. It was further revealed that the silencing effect was regulated by methyltransferase 1 (DNMT1), and was further enhanced by transforming growth factor beta (TGF-beta). PMID: 29709639
- Taken together, the data presented here suggest that TLR2 activation in human mast cells promotes the release of inflammatory mediators via distinct signaling pathways that partially depend on the action of Go proteins. PMID: 27515449
- Study identified distinct biochemical mechanisms of pathogenic human GNAO1 mutations that may improve the understanding of the heterogeneous clinical spectrum of GNAO1-associated epilepsy and movement disorders. Furthermore, these results also carry significant implications for personalized therapeutics in GNAO1 encephalopathies. PMID: 28747448
- The neurological phenotypes associated with GNAO1 mutations appear to lie on a spectrum, and it is possible that the c.607G>A (p.Gly203Arg) variant characterizes a phenotype with both severe epilepsy and chorea. PMID: 28202424
- authors report 2 cases of brothers with a severe movement disorder and hypotonia without epilepsy who have been confirmed by whole exome sequencing to have a novel mutation in GNAO1 PMID: 26060304
- Phenotypic spectrum of novel GNAO1 variants in four unrelated female patients included epileptic encephalopathy and involuntary movements with severe developmental delay. PMID: 25966631
- GNAO1 is a disease-causing gene for the autosomal dominant form of early infantile epileptic encephalopathy. The novel pathogenic variant identified in should contribute to our understanding of the expanding spectrum of infantile-onset epilepsy. PMID: 26485252
- Endothelial cells in capillary malformations are enriched for GNAQ mutations and are likely responsible for the pathophysiology underlying capillary malformation. PMID: 26368330
- Galphao-R243H has a mild decrease in nucleotide affinity that causes rapid nucleotide turnover and subsequent hyperactivity in cancer PMID: 24982418
- Genetic variants of BCL2, GNAO1, and CHD2 are associated with non-obstructive azoospermia risk. PMID: 24549219
- the present study is the first to demonstrate that GNAO1 is overexpressed in GC and that its overexpression correlates with poor prognosis, as it promotes gastric cancer cell viability. PMID: 24366063
- Down-regulation of GNAO1 increases cell proliferation, while suppressing the senescence of hepatocellular carcinoma cells. PMID: 23984917
- These data suggest that aberrant Galphao signaling can cause multiple neurodevelopmental phenotypes, including epileptic encephalopathy and involuntary movements. PMID: 23993195
- CKbeta8- and CKbeta8-1-induced activation of ERK1/2 is mediated by the G(i)/G(o) protein, PLC, and PKCdelta. PMID: 20097574
- a novel role in the signal transduction of thrombin receptors in HMECs (human microvascular endothelial cells) that regulates calcium signaling and cytoskeletal rearrangements PMID: 12039967
- study suggests that one of the functions of Goalpha in the brain is to mediate extracellular signal-regulated kinase activation by G protein-coupled receptors PMID: 12911629
- Activated Goalpha interacted directly with PLZF, and enhanced its function as a transcriptional and cell growth suppressor. PMID: 18262754
- the successful purification of functionally intact Gbeta5-free recombinant RGS11 was reported that differentially interact with R7BP and Galpha(oa). PMID: 19497306
顯示更多
收起更多
-
相關疾病:Epileptic encephalopathy, early infantile, 17 (EIEE17); Neurodevelopmental disorder with involuntary movements (NEDIM)
-
亞細胞定位:Cell membrane. Membrane; Lipid-anchor.
-
蛋白家族:G-alpha family, G(i/o/t/z) subfamily
-
數據庫鏈接:
Most popular with customers
-
-
YWHAB Recombinant Monoclonal Antibody
Applications: ELISA, WB, IHC, IF, FC
Species Reactivity: Human, Mouse, Rat
-
Phospho-YAP1 (S127) Recombinant Monoclonal Antibody
Applications: ELISA, WB, IHC
Species Reactivity: Human
-
-
-
-
-















