GNB1L Antibody
-
中文名稱:GNB1L兔多克隆抗體
-
貨號:CSB-PA866315ESR2HU
-
規格:¥440
-
圖片:
-
Western blot
All lanes: GNB1L antibody at 3.69µg/ml
Lane 1: Mouse brain tissue
Lane 2: Jurkat whole cell lysate
Secondary
Goat polyclonal to rabbit IgG at 1/10000 dilution
Predicted band size: 36, 23 kDa
Observed band size: 36 kDa -
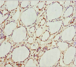
Immunohistochemistry of paraffin-embedded human thyroid tissue using CSB-PA866315ESR2HU at dilution of 1:100
-
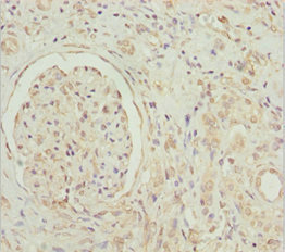
Immunohistochemistry of paraffin-embedded human kidney tissue using CSB-PA866315ESR2HU at dilution of 1:100
-
-
其他:
產品詳情
-
產品名稱:Rabbit anti-Homo sapiens (Human) GNB1L Polyclonal antibody
-
Uniprot No.:
-
基因名:GNB1L
-
別名:DGCRK3 antibody; ESTM55 antibody; fb98e06 antibody; fj09d12 antibody; FKSG1 antibody; G protein subunit beta-like protein 1 antibody; G-protein beta subunit-like protein antibody; GNB1L antibody; GNB1L_HUMAN antibody; guanine nucleotide binding protein (G protein); beta polypeptide 1-like antibody; guanine nucleotide binding protein beta-subunit-like polypeptide antibody; Guanine nucleotide-binding protein subunit beta-like protein 1 antibody; GY2 antibody; KIAA1645 antibody; WD repeat-containing protein 14 antibody; WD40 repeat-containing protein deleted in VCFS antibody; WDR14 antibody; WDVCF antibody; wu:fb98e06 antibody; wu:fj09d12 antibody; zgc:55774 antibody
-
宿主:Rabbit
-
反應種屬:Human, Mouse
-
免疫原:Recombinant Human Guanine nucleotide-binding protein subunit beta-like protein 1 protein (1-327AA)
-
免疫原種屬:Homo sapiens (Human)
-
標記方式:Non-conjugated
-
克隆類型:Polyclonal
-
抗體亞型:IgG
-
純化方式:Antigen Affinity Purified
-
濃度:It differs from different batches. Please contact us to confirm it.
-
保存緩沖液:PBS with 0.02% sodium azide, 50% glycerol, pH7.3.
-
產品提供形式:Liquid
-
應用范圍:ELISA, WB, IHC
-
推薦稀釋比:
Application Recommended Dilution WB 1:1000-1:5000 IHC 1:20-1:200 -
Protocols:
-
儲存條件:Upon receipt, store at -20°C or -80°C. Avoid repeated freeze.
-
貨期:Basically, we can dispatch the products out in 1-3 working days after receiving your orders. Delivery time maybe differs from different purchasing way or location, please kindly consult your local distributors for specific delivery time.
-
用途:For Research Use Only. Not for use in diagnostic or therapeutic procedures.
相關產品
Most popular with customers
-
-
YWHAB Recombinant Monoclonal Antibody
Applications: ELISA, WB, IHC, IF, FC
Species Reactivity: Human, Mouse, Rat
-
Phospho-YAP1 (S127) Recombinant Monoclonal Antibody
Applications: ELISA, WB, IHC
Species Reactivity: Human
-
-
-
-
-















