GNPAT Antibody
-
中文名稱:GNPAT兔多克隆抗體
-
貨號:CSB-PA226932
-
規格:¥1100
-
圖片:
-
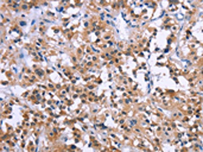
The image on the left is immunohistochemistry of paraffin-embedded Human thyroid cancer tissue using CSB-PA226932(GNPAT Antibody) at dilution 1/30, on the right is treated with synthetic peptide. (Original magnification: ×200)
-
The image on the left is immunohistochemistry of paraffin-embedded Human gastric cancer tissue using CSB-PA226932(GNPAT Antibody) at dilution 1/30, on the right is treated with synthetic peptide. (Original magnification: ×200)
-
-
其他:
產品詳情
-
Uniprot No.:
-
基因名:GNPAT
-
別名:Acyl CoA dihydroxyacetonephosphateacyltransferase antibody; Acyl-CoA:dihydroxyacetonephosphateacyltransferase antibody; DAP AT antibody; DAP-AT antibody; DAPAT antibody; DHAP AT antibody; DHAP-AT antibody; DHAPAT antibody; Dihydroxyacetone phosphate acyltransferase antibody; EC 2.3.1.42 antibody; Glycerone-phosphate O-acyltransferase antibody; Glyceronephosphate O acyltransferase antibody; GNPAT antibody; GNPAT_HUMAN antibody; OTTHUMP00000036147 antibody
-
宿主:Rabbit
-
反應種屬:Human,Mouse,Rat
-
免疫原:Synthetic peptide of Human GNPAT
-
免疫原種屬:Homo sapiens (Human)
-
標記方式:Non-conjugated
-
抗體亞型:IgG
-
純化方式:Antigen affinity purification
-
濃度:It differs from different batches. Please contact us to confirm it.
-
保存緩沖液:-20°C, pH7.4 PBS, 0.05% NaN3, 40% Glycerol
-
產品提供形式:Liquid
-
應用范圍:ELISA,IHC
-
推薦稀釋比:
Application Recommended Dilution ELISA 1:1000-1:2000 IHC 1:25-1:100 -
Protocols:
-
儲存條件:Upon receipt, store at -20°C or -80°C. Avoid repeated freeze.
-
貨期:Basically, we can dispatch the products out in 1-3 working days after receiving your orders. Delivery time maybe differs from different purchasing way or location, please kindly consult your local distributors for specific delivery time.
-
用途:For Research Use Only. Not for use in diagnostic or therapeutic procedures.
相關產品
靶點詳情
-
功能:Dihydroxyacetonephosphate acyltransferase involved in plasmalogen biosynthesis.
-
基因功能參考文獻:
- GNPAT p.D519G is strongly associated with markedly increased iron stores in p.C282Y homozygotes after correction for age, iron-related variables, and alcohol consumption. PMID: 27936396
- GNPAT rs11558492 is not a major modifier of iron status and is not associated with liver fibrosis in HFE-related Hemochromatosis patients. PMID: 28425416
- Here, we report the characterization of the recombinant human DHAP acyl-transferase, which performs the first step in alkyl-DHAP synthesis. PMID: 27836547
- Reduction of GNPAT activated NF-kappaB in glial cell lines and microglia in cortex. PMID: 28292831
- C282Y homozygotes referred for HFE testing commonly have a GNPAT variant. This GNPAT variant does not appear be a co-modifying gene affecting expression of HFE related hemochromatosis in this population. The GNPAT variant does not predict the severity of iron overload. PMID: 27740525
- The variant of the GNPAT gene showed the most significant association with severe iron overload. PMID: 25605615
- ACOX1 and GNPAT silencing up-regulated ceramide galactosyltransferase (UGT8) mRNA expression, and down-regulated UDP-glucoseceramide glucosyltransferase (UGCG). PMID: 23933200
- Novel mutations in GNPAT cause rhizomelic chondrodysplasia punctata (RCDP) type 2. PMID: 21990100
- peroxisomal DHAPAT is essential for the biosynthesis of plasmalogens in animal cells PMID: 15687349
- Chromosome 1q42.1 harbors GNPAT and DISC1 as candidate genes for schizophrenia. PMID: 16997000
顯示更多
收起更多
-
相關疾病:Rhizomelic chondrodysplasia punctata 2 (RCDP2)
-
亞細胞定位:Peroxisome membrane; Peripheral membrane protein; Matrix side.
-
蛋白家族:GPAT/DAPAT family
-
數據庫鏈接:
Most popular with customers
-
-
YWHAB Recombinant Monoclonal Antibody
Applications: ELISA, WB, IHC, IF, FC
Species Reactivity: Human, Mouse, Rat
-
Phospho-YAP1 (S127) Recombinant Monoclonal Antibody
Applications: ELISA, WB, IHC
Species Reactivity: Human
-
-
-
-
-















