GPHN Antibody
-
中文名稱:GPHN兔多克隆抗體
-
貨號:CSB-PA009716LA01HU
-
規格:¥440
-
圖片:
-
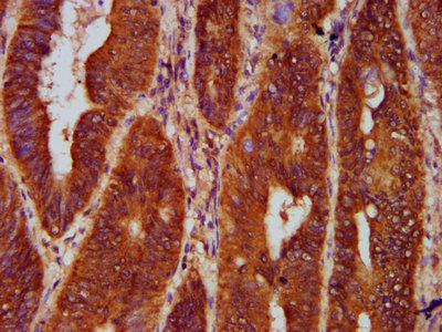
IHC image of CSB-PA009716LA01HU diluted at 1:300 and staining in paraffin-embedded human colon cancer performed on a Leica BondTM system. After dewaxing and hydration, antigen retrieval was mediated by high pressure in a citrate buffer (pH 6.0). Section was blocked with 10% normal goat serum 30min at RT. Then primary antibody (1% BSA) was incubated at 4°C overnight. The primary is detected by a biotinylated secondary antibody and visualized using an HRP conjugated SP system.
-
IHC image of CSB-PA009716LA01HU diluted at 1:300 and staining in paraffin-embedded human brain tissue performed on a Leica BondTM system. After dewaxing and hydration, antigen retrieval was mediated by high pressure in a citrate buffer (pH 6.0). Section was blocked with 10% normal goat serum 30min at RT. Then primary antibody (1% BSA) was incubated at 4°C overnight. The primary is detected by a biotinylated secondary antibody and visualized using an HRP conjugated SP system.
-
-
其他:
產品詳情
-
產品名稱:Rabbit anti-Homo sapiens (Human) GPHN Polyclonal antibody
-
Uniprot No.:
-
基因名:GPHN
-
別名:Domain E antibody; Domain G antibody; GEPH antibody; GEPH_HUMAN antibody; GPH antibody; GPHN antibody; GPHRYN antibody; KIAA1385 antibody; Molybdopterin molybdenumtransferase antibody; MPT adenylyltransferase antibody; MPT Mo-transferase antibody
-
宿主:Rabbit
-
反應種屬:Human
-
免疫原:Recombinant Human Gephyrin protein (360-460AA)
-
免疫原種屬:Homo sapiens (Human)
-
標記方式:Non-conjugated
本頁面中的產品,GPHN Antibody (CSB-PA009716LA01HU),的標記方式是Non-conjugated。對于GPHN Antibody,我們還提供其他標記。見下表:
-
克隆類型:Polyclonal
-
抗體亞型:IgG
-
純化方式:>95%, Protein G purified
-
濃度:It differs from different batches. Please contact us to confirm it.
-
保存緩沖液:Preservative: 0.03% Proclin 300
Constituents: 50% Glycerol, 0.01M PBS, pH 7.4 -
產品提供形式:Liquid
-
應用范圍:ELISA, IHC
-
推薦稀釋比:
Application Recommended Dilution IHC 1:200-1:500 -
Protocols:
-
儲存條件:Upon receipt, store at -20°C or -80°C. Avoid repeated freeze.
-
貨期:Basically, we can dispatch the products out in 1-3 working days after receiving your orders. Delivery time maybe differs from different purchasing way or location, please kindly consult your local distributors for specific delivery time.
-
用途:For Research Use Only. Not for use in diagnostic or therapeutic procedures.
相關產品
靶點詳情
-
功能:Microtubule-associated protein involved in membrane protein-cytoskeleton interactions. It is thought to anchor the inhibitory glycine receptor (GLYR) to subsynaptic microtubules. Acts as a major instructive molecule at inhibitory synapses, where it also clusters GABA type A receptors.; Has also a catalytic activity and catalyzes two steps in the biosynthesis of the molybdenum cofactor. In the first step, molybdopterin is adenylated. Subsequently, molybdate is inserted into adenylated molybdopterin and AMP is released.
-
基因功能參考文獻:
- This study shown that the SNPs located in the rs723432 (Pallele=0.007; uncorrected) in the GPHN gene showed associated with Japanese individuals affected with schizophrenia. PMID: 28073605
- these data reveal that IQSEC3 acts together with gephyrin to regulate inhibitory synapse development. PMID: 27002143
- A missense mutation of gephyrin that was unable to synthesize MoCo and activate MoCo-dependent enzymes was identified. PMID: 26613940
- A yin-yang haplotype pattern encompassing gephyrin consists of 284 divergent nucleotide states and both variants vary drastically from their mutual ancestral haplotype, suggesting rapid evolution. PMID: 25813846
- The N-terminal region of GABRA3 and the GlyR beta subunit occupies the same binding site of gephyrin. PMID: 25531214
- Results show that PKC-dependent phosphorylation of GAP43 plays a critical role in regulating postsynaptic gephyrin aggregation in developing GABAergic synapses. PMID: 25755278
- Structural exonic microdeletions affecting the GPHN gene constitute a rare genetic risk factor for IGE and other neuropsychiatric disorders by an impairment of the GABAergic inhibitory synaptic transmission. PMID: 24561070
- The enhancement of Cb-induced gephyrin clustering by GTP-TC10 does not depend on the guanine nucleotide exchange activity of Cb but involves an interaction that resembles reported interactions of other small GTPases with their effectors PMID: 24297911
- abnormal accumulations of gephyrin are highly correlated with the neuropathologic diagnosis of Alzheimer disease in 17 AD versus 14 control cases. Furthermore, gephyrin accumulations were specific for AD. PMID: 24128675
- Rare exonic deletions implicate the synaptic organizer Gephyrin (GPHN) in risk for autism, schizophrenia and seizures. PMID: 23393157
- Extracellular signal-regulated kinase and glycogen synthase kinase 3beta regulate gephyrin postsynaptic aggregation and GABAergic synaptic function in a calpain-dependent mechanism PMID: 23408424
- A reduction in the number of gephyrin clusters in primary neurons reduces GABA signaling. PMID: 23077067
- Phosphorylation of gephyrin in hippocampal neurons by cyclin-dependent kinase CDK5 at Ser-270 is dependent on collybistin. PMID: 22778260
- The gephyrin's presence in a cytosolic 600 kDa protein complex suggests that its metabolic and/or other non-neuronal functions are exerted in the cytoplasm and are not confined to a particular subcellular compartment. PMID: 22270318
- Gephyrin expression is significantly lower in the temporal neocortex of temporal lobe epilepsy (TLE) patients and may be involved in the development of TLE. PMID: 21404332
- The authors have identified a protein kinase C (PKC) phosphorylation site within the cytoplasmic domain of the beta-subunit of the GlyR (residue S403) that causes a reduction of the binding affinity between the receptor and gephyrin. PMID: 21829170
- Data demonstrate the direct interaction between DYNLL1 and peptides derived from ASFV p54 and gephyrin interacting sequences. PMID: 21094642
- we did not obtain evidence for gephyrin gene mutations in patients with temporal lobe epilepsy PMID: 21071388
- Data are consistent with the postsynaptic gephyrin scaffold acting as a platform for protein phosphatase 1 (PP1), which regulates gephyrin cluster size by dephosphorylation of gephyrin- or cytoskeleton-associated proteins. PMID: 20206270
- Study propose that the collybistin-gephyrin complex has an intimate role in the clustering of GABA(A)Rs containing the alpha2 subunit. PMID: 20622020
- Gephyrin plays a role in synaptic function by interacting with GRIP1 splice forms at GABAergic synapses in transfected cultured hippocampal neurons. PMID: 18315564
- Gephyrin may have a central organizer role in assembling and stabilizing inhibitory postsynaptic membranes in human brain and is similar in function to those observed in the rodent brain. PMID: 12535948
- the N10Y mutation and alternative splicing of GPHN transcripts do not affect interactions with glycine receptor but may affect other interactions with the cytoskeleton or gephyrin accessory proteins PMID: 12684523
- Review: A total of 32 different disease-causing mutations, including several common to more than one family, have been identified in molybdenum cofactor-deficient patients and their relatives PMID: 12754701
- Colocalization of immunoreactivities for gephyrin and glycine receptor subunits was detected in the dorsal and ventral horns of the spinal cord, the hypoglossal nucleus and the medial vestibular nucleus of the medulla. PMID: 14622920
- GPHN as an MLL-GPHN chimera is able to transform hematopoietic progenitors; a tubulin-binding domain of GPHN is necessary and sufficient for this activity and also confers oligomerization capacity on MLL protein, which may contribute to leukemogenesis PMID: 14751928
- Within clusters, we identified two subpopulations of GlyR with distinct degrees of stabilization between receptors and scaffolding proteins. PMID: 17293395
- crystal structure of N terminal G domain PMID: 11554796
顯示更多
收起更多
-
相關疾病:Molybdenum cofactor deficiency, complementation group C (MOCODC)
-
亞細胞定位:Cell junction, synapse, postsynaptic cell membrane; Lipid-anchor; Cytoplasmic side. Cell membrane; Lipid-anchor; Cytoplasmic side. Cytoplasm, cytosol. Cytoplasm, cytoskeleton. Cell projection, dendrite. Cell junction, synapse, postsynaptic density.
-
蛋白家族:MoaB/Mog family; MoeA family
-
數據庫鏈接:
Most popular with customers
-
-
YWHAB Recombinant Monoclonal Antibody
Applications: ELISA, WB, IHC, IF, FC
Species Reactivity: Human, Mouse, Rat
-
Phospho-YAP1 (S127) Recombinant Monoclonal Antibody
Applications: ELISA, WB, IHC
Species Reactivity: Human
-
-
-
-
-















