H1F0 (Ab-81) Antibody
-
中文名稱:H1F0 (Ab-81)兔多克隆抗體
-
貨號:CSB-PA010087OA81nme1HU
-
規格:¥660
-
圖片:
-
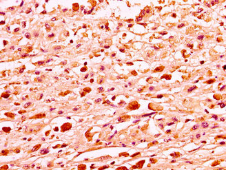
IHC image of CSB-PA010087OA81nme1HU diluted at 1:50 and staining in paraffin-embedded human melanoma performed on a Leica BondTM system. After dewaxing and hydration, antigen retrieval was mediated by high pressure in a citrate buffer (pH 6.0). Section was blocked with 10% normal goat serum 30min at RT. Then primary antibody (1% BSA) was incubated at 4°C overnight. The primary is detected by a biotinylated secondary antibody and visualized using an HRP conjugated SP system.
-
Immunofluorescence staining of HepG2 cells with CSB-PA010087OA81nme1HU at 1:2.5, counter-stained with DAPI. The cells were fixed in 4% formaldehyde, permeabilized using 0.2% Triton X-100 and blocked in 10% normal Goat Serum. The cells were then incubated with the antibody overnight at 4°C. The secondary antibody was Alexa Fluor 488-congugated AffiniPure Goat Anti-Rabbit IgG(H+L).
-
Chromatin Immunoprecipitation Hela (4*106) were treated with Micrococcal Nuclease, sonicated, and immunoprecipitated with 5µg anti-H1F0 (CSB-PA010087OA81nme1HU) or a control normal rabbit IgG. The resulting ChIP DNA was quantified using real-time PCR with primers against the β-Globin promoter.
-
-
其他:
產品詳情
-
產品名稱:Rabbit anti-Homo sapiens (Human) H1F0 Polyclonal antibody
-
Uniprot No.:
-
基因名:H1F0
-
別名:H1 histone family member 0 antibody; H1(0) antibody; H10 antibody; H10_HUMAN antibody; h1f0 antibody; H1FV antibody; Histone H1'' antibody; Histone H1(0) antibody; Histone H1.0 antibody; Histone H10 antibody; Histone H5 antibody; MGC5241 antibody; N-terminally processed antibody
-
宿主:Rabbit
-
反應種屬:Human
-
免疫原:Peptide sequence around site of Lys (81) derived from Human Histone H1.0
-
免疫原種屬:Homo sapiens (Human)
-
標記方式:Non-conjugated
-
克隆類型:Polyclonal
-
抗體亞型:IgG
-
純化方式:Antigen Affinity Purified
-
濃度:It differs from different batches. Please contact us to confirm it.
-
保存緩沖液:Preservative: 0.03% Proclin 300
Constituents: 50% Glycerol, 0.01M PBS, pH 7.4 -
產品提供形式:Liquid
-
應用范圍:ELISA, IHC, IF, ChIP
-
推薦稀釋比:
Application Recommended Dilution IHC 1:20-1:200 IF 1:1-1:10 -
Protocols:
-
儲存條件:Upon receipt, store at -20°C or -80°C. Avoid repeated freeze.
-
貨期:Basically, we can dispatch the products out in 1-3 working days after receiving your orders. Delivery time maybe differs from different purchasing way or location, please kindly consult your local distributors for specific delivery time.
-
用途:For Research Use Only. Not for use in diagnostic or therapeutic procedures.
相關產品
靶點詳情
-
功能:Histones H1 are necessary for the condensation of nucleosome chains into higher-order structures. The histones H1.0 are found in cells that are in terminal stages of differentiation or that have low rates of cell division.
-
基因功能參考文獻:
- H1.X moves more rapidly than other linker histones in vivo Domain swapping between H1.0 and H1.X suggests that the globular domain (GD) and C-terminal domain (CTD) of H1.X independently contribute to the dynamic behavior of H1.X. PMID: 27528617
- this study shows that dynamic epigenetic states defined by the linker histone H1.0 determine which cells within a tumor can sustain the long-term cancer growth. PMID: 27708074
- The N-terminal domain contributes toward the differential chromatin binding affinity, whereas the C-terminal domain contributes toward distinct nucleosomal interface of isotypes H10 and H1c. PMID: 22334665
- nuclear transport of H1 histones requires a heterodimeric nuclear import receptor PMID: 12080050
- H1(0)histone may be an important factor in normal DC differentiation. Tumor-derived factors may inhibit DC differentiation by affecting H1(0) expression. PMID: 12149419
顯示更多
收起更多
-
亞細胞定位:Nucleus. Chromosome. Note=The RNA edited version has been localized to nuclear speckles. During mitosis, it appears in the vicinity of condensed chromosomes.
-
蛋白家族:Histone H1/H5 family
-
數據庫鏈接:
Most popular with customers
-
-
YWHAB Recombinant Monoclonal Antibody
Applications: ELISA, WB, IHC, IF, FC
Species Reactivity: Human, Mouse, Rat
-
-
-
-
-
-















