HINT2 Antibody
-
中文名稱:HINT2兔多克隆抗體
-
貨號:CSB-PA190666
-
規格:¥1100
-
圖片:
-
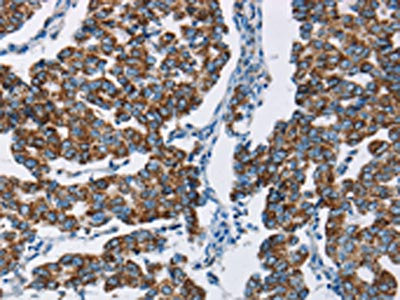
The image on the left is immunohistochemistry of paraffin-embedded Human breast cancer tissue using CSB-PA190666(HINT2 Antibody) at dilution 1/50, on the right is treated with fusion protein. (Original magnification: ×200)
-
The image on the left is immunohistochemistry of paraffin-embedded Human thyroid cancer tissue using CSB-PA190666(HINT2 Antibody) at dilution 1/50, on the right is treated with fusion protein. (Original magnification: ×200)
-
Gel: 12%SDS-PAGE, Lysate: 40 μg, Lane 1-2: Mouse heart tissue, human hepatocellular carcinoma tissue, Primary antibody: CSB-PA190666(HINT2 Antibody) at dilution 1/300, Secondary antibody: Goat anti rabbit IgG at 1/8000 dilution, Exposure time: 20 seconds
-
-
其他:
產品詳情
-
Uniprot No.:
-
基因名:HINT2
-
別名:1190005L05Rik antibody; HINT-2 antibody; HINT-3 antibody; HINT2 antibody; HINT2_HUMAN antibody; histidine triad nucleotide binding protein 2 antibody; Histidine triad nucleotide-binding protein 2 antibody; HIT-17 antibody; HIT-17kDa antibody; mitochondrial antibody; PKCI-1-related HIT protein antibody; Protein kinase C inhibitor 2 antibody
-
宿主:Rabbit
-
反應種屬:Human,Mouse
-
免疫原:Fusion protein of Human HINT2
-
免疫原種屬:Homo sapiens (Human)
-
標記方式:Non-conjugated
-
抗體亞型:IgG
-
純化方式:Antigen affinity purification
-
濃度:It differs from different batches. Please contact us to confirm it.
-
保存緩沖液:-20°C, pH7.4 PBS, 0.05% NaN3, 40% Glycerol
-
產品提供形式:Liquid
-
應用范圍:ELISA,WB,IHC
-
推薦稀釋比:
Application Recommended Dilution ELISA 1:2000-1:5000 WB 1:500-1:2000 IHC 1:50-1:200 -
Protocols:
-
儲存條件:Upon receipt, store at -20°C or -80°C. Avoid repeated freeze.
-
貨期:Basically, we can dispatch the products out in 1-3 working days after receiving your orders. Delivery time maybe differs from different purchasing way or location, please kindly consult your local distributors for specific delivery time.
-
用途:For Research Use Only. Not for use in diagnostic or therapeutic procedures.
相關產品
靶點詳情
-
功能:Exhibits adenosine 5'-monophosphoramidase activity, hydrolyzing purine nucleotide phosphoramidates with a single phosphate group such as adenosine 5'monophosphoramidate (AMP-NH2) to yield AMP and NH2. Hydrolyzes adenosine 5'-O-p-nitrophenylphosphoramidate (AMP-pNA). Hydrolyzes fluorogenic purine nucleoside tryptamine phosphoramidates in vitro. May be involved in steroid biosynthesis. May play a role in apoptosis.
-
基因功能參考文獻:
- Authors deduced that HINT2 triggers apoptosis in pancreatic cancer cells by regulating mitochondrial Ca(2+) influx through the mitochondrial calcium uniporter (MCU). Authors found that HINT2 can sensitize BxPC-3 and L3.6pl cells to gemcitabine-induced apoptosis and that gemcitabine up-regulates HINT2 expression. PMID: 28947137
- HINT2 downregulation depended on hypoxia inducible factor (HIF)-2alpha-mediated transcriptional activation of zinc finger E-box-binding homeobox 1 (ZEB1). These results suggest that HINT2 downregulation promotes HIF-2alpha expression, which induces EMT and enhances CRC cell migration and invasion. PMID: 28088787
- Low HINT2 expression is associated with low response to therapy in endometrial cancer. PMID: 23682076
- X-ray crystal structure of human HINT2 with and without bound AMP. PMID: 23659632
- Hint2 is required for an optimal steroidogenic response, possibly because of a particular signalling function exerted within the mitochondria. PMID: 18653718
顯示更多
收起更多
-
亞細胞定位:Mitochondrion.
-
蛋白家族:HINT family
-
組織特異性:High expression in liver and pancreas. Expression is significantly down-regulated in hepatocellular carcinoma (HCC) patients.
-
數據庫鏈接:
Most popular with customers
-
-
YWHAB Recombinant Monoclonal Antibody
Applications: ELISA, WB, IHC, IF, FC
Species Reactivity: Human, Mouse, Rat
-
-
-
-
-
-















