-
中文名稱:HMGCL兔多克隆抗體
-
貨號:CSB-PA010563LA01HU
-
規格:¥440
-
圖片:
-
Western Blot
Positive WB detected in: U87 whole cell lysate, MCF-7 whole cell lysate, HepG2 whole cell lysate
All lanes: HMGCL antibody at 1:2000
Secondary
Goat polyclonal to rabbit IgG at 1/50000 dilution
Predicted band size: 35, 27, 21 kDa
Observed band size: 35 kDa -
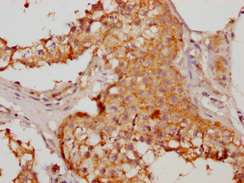
IHC image of CSB-PA010563LA01HU diluted at 1:200 and staining in paraffin-embedded human testis tissue performed on a Leica BondTM system. After dewaxing and hydration, antigen retrieval was mediated by high pressure in a citrate buffer (pH 6.0). Section was blocked with 10% normal goat serum 30min at RT. Then primary antibody (1% BSA) was incubated at 4°C overnight. The primary is detected by a Goat anti-rabbit polymer IgG labeled by HRP and visualized using 0.05% DAB.
-
IHC image of CSB-PA010563LA01HU diluted at 1:200 and staining in paraffin-embedded human liver tissue performed on a Leica BondTM system. After dewaxing and hydration, antigen retrieval was mediated by high pressure in a citrate buffer (pH 6.0). Section was blocked with 10% normal goat serum 30min at RT. Then primary antibody (1% BSA) was incubated at 4°C overnight. The primary is detected by a Goat anti-rabbit polymer IgG labeled by HRP and visualized using 0.05% DAB.
-
-
其他:
產品詳情
-
產品名稱:Rabbit anti-Homo sapiens (Human) HMGCL Polyclonal antibody
-
Uniprot No.:
-
基因名:HMGCL
-
別名:Hydroxymethylglutaryl-CoA lyase, mitochondrial (HL) (HMG-CoA lyase) (EC 4.1.3.4) (3-hydroxy-3-methylglutarate-CoA lyase), HMGCL
-
宿主:Rabbit
-
反應種屬:Human
-
免疫原:Recombinant Human Hydroxymethylglutaryl-CoA lyase, mitochondrial protein (28-325aa)
-
免疫原種屬:Homo sapiens (Human)
-
標記方式:Non-conjugated
本頁面中的產品,HMGCL Antibody (CSB-PA010563LA01HU),的標記方式是Non-conjugated。對于HMGCL Antibody,我們還提供其他標記。見下表:
-
克隆類型:Polyclonal
-
抗體亞型:IgG
-
純化方式:>95%, Protein G purified
-
濃度:It differs from different batches. Please contact us to confirm it.
-
保存緩沖液:Preservative: 0.03% Proclin 300
Constituents: 50% Glycerol, 0.01M PBS, pH 7.4 -
產品提供形式:Liquid
-
應用范圍:ELISA, WB, IHC
-
推薦稀釋比:
Application Recommended Dilution WB 1:1000-1:5000 IHC 1:100-1:500 -
Protocols:
-
儲存條件:Upon receipt, store at -20°C or -80°C. Avoid repeated freeze.
-
貨期:Basically, we can dispatch the products out in 1-3 working days after receiving your orders. Delivery time maybe differs from different purchasing way or location, please kindly consult your local distributors for specific delivery time.
-
用途:For Research Use Only. Not for use in diagnostic or therapeutic procedures.
引用文獻
- Lysine β-hydroxybutyrylation promotes lipid accumulation in alcoholic liver disease N Chen,Biochemical pharmacology,2023
相關產品
靶點詳情
-
功能:Mitochondrial 3-hydroxymethyl-3-methylglutaryl-CoA lyase that catalyzes a cation-dependent cleavage of (S)-3-hydroxy-3-methylglutaryl-CoA into acetyl-CoA and acetoacetate, a key step in ketogenesis. Terminal step in leucine catabolism. Ketone bodies (beta-hydroxybutyrate, acetoacetate and acetone) are essential as an alternative source of energy to glucose, as lipid precursors and as regulators of metabolism.
-
基因功能參考文獻:
- Data suggest that HMGCS1 (HMG-CoA synthase 1) signals through ketogenesis/acetoacetate to promote cell proliferation and BRAF(V600E)-dependent MEK1 activation in BRAF(V600E)-positive melanoma and colon cancer cells; HMGCS1 co-localizes with HMGCL (HMG-CoA lyase) and BRAF(V600E) in cytosol of melanoma and colon cancer cells. (BRAF = proto-oncogene protein B-raf) PMID: 28468827
- The genetic analysis revealed a novel homozygote deletion in exon 3 and 4 in HMGCL gene. HMG-CoA lyase deficiency should be thought in the patients with hypoketotic hypoglycemia, hyperammonemia, elevated liver function tests, noncompaction left ventricle and characteristic white matter changes and in the differential diagnosis of macrocephaly. PMID: 25708061
- this is the first study describing HMGCL deficiency caused by uniparental disomy. PMID: 25872961
- This efficient UPLC-MS/MS assay permits rapid and high sensitive determination of HMGCR enzyme activity, tracing potential alterations in cholesterol biosynthesis. PMID: 24333427
- in the 2 stop codon mutations c.109G>T and c.504_505delCT studied, the stop codon does not appear to be the cause of aberrant splicing; the mutation c.504_505delCT causes 2 mRNA transcripts with a stop codon that generate two simultaneous nonsense-mediated mRNA decay phenomena PMID: 23465862
- analysis of HMGCLL1 as an extramitochondrial human 3-hydroxy-3-methylglutaryl-CoA lyase and comparison with MHGCL PMID: 22865860
- An alternative transcript of HMGCS2 carrying a deletion of exon 4, and two alternative transcripts of HMGCL with deletions of exons 5 and 6, and exons 5, 6 and 7, respectively, were detected. PMID: 21952825
- levels of enzyme activity do not strongly correlate with formation of inter-subunit adducts by HMGCL mutants. C170S, C266S, and C323S proteins do not form inter-subunit disulfide adducts but such an adduct is restored in the C170S/C174S double mutant. PMID: 21514269
- Crystal structures of ternary complexes of WT HMGCL with the competitive inhibitor 3-hydroxyglutaryl-CoA and of the catalytically deficient HMGCL R41M mutant with substrate HMG-CoA have been determined to 2.4 and 2.2 A. PMID: 20558737
- We report on a new case of 3-hydroxy-3-methylglutaric aciduria particular by its late onset in a 3-year-old patient. Molecular investigation identified two new sequence modifications in the HMGCL gene: c.494G>A (p.Arg165Gln) and c.820G>A (p.Gly274Arg). PMID: 19932602
- The peroxisomal enzyme forms a covalently linked dimeric species upon crosslinking with dibromopropanone or o-phenylenedimaleimide . Cysteine-323 is required for intersubunit covalent crosslinking. PMID: 12464283
- A role is suggested for arginine-41 in deprotonation or enolization of acetyldithio-CoA, implicating this residue in the HMG-CoA cleavage reaction chemistry that leads to acetyl-CoA product formation. PMID: 15122894
- Data describe the DNA mutational analysis of 3-hydroxy-3-methylglutaryl-coenzyme A lyase. PMID: 15164951
- Exon 2 of HL skipping led to the loss of beta-sheet 1, and the skipping of exons 2 and 3 caused the disappearance of alpha helix 1 and beta-sheets 1 and 2 PMID: 15752612
- Crystal structure of human 3-hydroxy-3-methylglutaryl-CoA Lyase PMID: 16330550
- findings of common mutations in HMGCL have direct implications on rapid molecular diagnosis, prenatal and pre-implantation diagnosis and population based prevention programs directed towards 3HMG in Saudi Arabia. PMID: 17173698
- HMG-CoA located on the surface of the enzyme implicates Asn(311) and Lys(313) in substrate binding by establishing polar contacts with phosphate and ribose groups of adenosine, and Lys(48) by contacting the carboxyl group of the panthotenic acid moiety. PMID: 17459752
- The unique HMGCL gene mutations exist in Taiwanese 3-hydroxy-3-methylglutaryl CoA lyase deficiency deficiency patients. PMID: 19036343
- Finding that all identified missense mutations cause a >95% decrease in the enzyme activity, indicates that the disease appears only in very severe genotypes. PMID: 19177531
顯示更多
收起更多
-
相關疾病:3-hydroxy-3-methylglutaryl-CoA lyase deficiency (HMGCLD)
-
亞細胞定位:Mitochondrion matrix. Peroxisome.
-
蛋白家族:HMG-CoA lyase family
-
組織特異性:Highest expression in liver. Expressed in pancreas, kidney, intestine, testis, fibroblasts and lymphoblasts. Very low expression in brain and skeletal muscle. The relative expression of isoform 2 (at mRNA level) is highest in heart (30%), skeletal muscle
-
數據庫鏈接:
Most popular with customers
-
-
YWHAB Recombinant Monoclonal Antibody
Applications: ELISA, WB, IHC, IF, FC
Species Reactivity: Human, Mouse, Rat
-
-
-
-
-
-















