HOXD10 Antibody
-
中文名稱:HOXD10兔多克隆抗體
-
貨號:CSB-PA010682ESR2HU
-
規格:¥440
-
圖片:
-
Western blot
All lanes: HOXD10 antibody at 3.21μg/ml
Lane 1: Mouse liver tissue
Lane 2: Mouse gonadal tissue
Secondary
Goat polyclonal to rabbit IgG at 1/10000 dilution
Predicted band size: 38 kDa
Observed band size: 38 kDa -
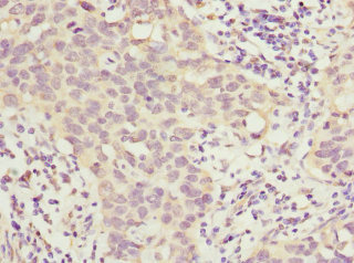
Immunohistochemistry of paraffin-embedded human bladder cancer using CSB-PA010682ESR2HU at dilution of 1:100
-
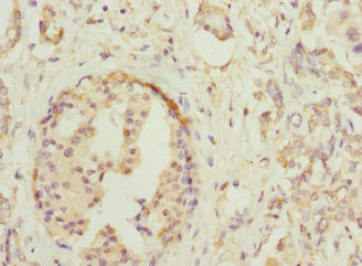
Immunohistochemistry of paraffin-embedded human pancreatic cancer using CSB-PA010682ESR2HU at dilution of 1:100
-
-
其他:
產品詳情
-
產品名稱:Rabbit anti-Homo sapiens (Human) HOXD10 Polyclonal antibody
-
Uniprot No.:
-
基因名:HOXD10
-
別名:AI385591 antibody; AI874987 antibody; Homeo box 4D antibody; Homeo box D10 antibody; Homeobox D10 antibody; Homeobox protein Hox-4D antibody; Homeobox protein Hox-4E antibody; Homeobox protein Hox-D10 antibody; Hox 4.4 antibody; Hox 4.5 antibody; Hox 4D antibody; Hox 4E antibody; Hox 5.3 antibody; HOX4D antibody; HOX4E antibody; HOXD10 antibody; HXD10 antibody; HXD10_HUMAN antibody; OTTMUSP00000017845 antibody; RP23-313J15.9 antibody
-
宿主:Rabbit
-
反應種屬:Human, Mouse
-
免疫原:Recombinant Human Homeobox protein Hox-D10 protein (1-240AA)
-
免疫原種屬:Homo sapiens (Human)
-
標記方式:Non-conjugated
-
克隆類型:Polyclonal
-
抗體亞型:IgG
-
純化方式:Antigen Affinity Purified
-
濃度:It differs from different batches. Please contact us to confirm it.
-
保存緩沖液:PBS with 0.02% sodium azide, 50% glycerol, pH7.3.
-
產品提供形式:Liquid
-
應用范圍:ELISA, WB, IHC
-
推薦稀釋比:
Application Recommended Dilution WB 1:1000-1:5000 IHC 1:20-1:200 -
Protocols:
-
儲存條件:Upon receipt, store at -20°C or -80°C. Avoid repeated freeze.
-
貨期:Basically, we can dispatch the products out in 1-3 working days after receiving your orders. Delivery time maybe differs from different purchasing way or location, please kindly consult your local distributors for specific delivery time.
-
用途:For Research Use Only. Not for use in diagnostic or therapeutic procedures.
相關產品
靶點詳情
-
功能:Sequence-specific transcription factor which is part of a developmental regulatory system that provides cells with specific positional identities on the anterior-posterior axis.
-
基因功能參考文獻:
- Results show that HOXD10 promoter is hypermethylated in papillary thyroid cancer (PTC) tissues and its mRNA expression decreased. Moreover, the hypermethylation of HOXD10 was associated with invasion of the primary tumor. Further data provide evidence that the epigenetic suppression of the HOXD10 gene may play a role in the tumorigenesis of PTC. PMID: 29115628
- Results show that HOXD10 is frequently methylated in human hepatocellular carcinoma (HCC), and the expression of HOXD10 is regulated by promoter region methylation. HOXD10 suppresses HCC cell growth both in vitro and in vivo. HOXD10 suppresses human HCC by inhibiting ERK signaling. PMID: 29075359
- our data suggest that the loss of HoxD10 function is common and may thus result in a progressive phenotype in PCa. HoxD10 may function as a biomarker that differentiates patients with BCR disease from the ones that are not after radical prostatectomy, implicating its potential as a therapeutic target. PMID: 28231752
- Knock down of the dickkopf WNT signaling pathway inhibitor 2 (DKK2) resulted in a significant suppression of HOXD10, HOXD11 and HOXD13 while over-expression of DKK2 and stimulation with factors of the WNT signaling pathway. PMID: 27363011
- By treating LECs with VEGF-C156S and analyzing subsequent changes in gene expression, we identified several 'immediate early' transcription factors that showed a rapid transient upregulation VEGFR-3 stimulation. these results reveal an important and unanticipated role of HOXD10 in the regulation of VEGFR-3 signaling in lymphatic endothelial cells, and in the control of lymphangiogenesis and permeability. PMID: 27199372
- Knockdown of HOXD10 in renal cells also resulted in increased resistance to colistin cytotoxicity. PMID: 28335481
- High expression of HOXD10 is associated with laryngeal squamous cell carcinoma. PMID: 27658780
- Low HOXD10 promotes migration and invasion in gastric cancer. PMID: 26311318
- These results suggested that HOXD10 may be a putative suppressor gene and can act as a prognostic marker and potentially a novel therapeutic target for cholangiocellular carcinoma. PMID: 26260613
- miR-23a was upregulated in glioma. This overexpression promoted glioma cell invasion, probably by modulating MMP-14 via directly inhibiting the expression of HOXD10. PMID: 24305689
- POU2F1 activity regulates HOXD10 and HOXD11 gene expression in head and neck squamous cell carcinoma, promoting a proliferative and invasive phenotype. PMID: 25301728
- Downregulation of the HOXD10 gene expression was associated with breast cancer. PMID: 25081374
- KLF4 and HOXD10 were identified as direct targets of miR-10b in bladder cancer cells PMID: 24573354
- It is a member of the HOX gene family. HOX genes are the main regulatory genes that directly influence organogenesis and maintain the function of differentiated tissues PMID: 24219032
- MicroRNA-10b promotes nucleus pulposus cell proliferation through RhoC-Akt pathway by targeting HOXD10 in intervetebral disc degeneration. PMID: 24376640
- HOXD10 expression varies by stage of disease and produces differential effects in head and neck squamous cell carcinoma. PMID: 25010866
- TBX1 can alter TGF-beta/BMP, an important signaling pathway, through interacting with HOXD10. Above findings may shed light on the mechanism of TBX1 mutations leading to renal malformations found in patients carrying a 22q11 deletion. PMID: 22842189
- downregulation of HOXD10 expression by miR-10b overexpression may induce an increase of pro-metastatic gene products, such as MMP14 and RHOC, and contribute to the acquisition of metastatic phenotypes in epithelial ovarian cancer cells PMID: 23670532
- HoxD10 potentially functions as a tumor suppressor that is inactivated through promoter hypermethylation in gastric cancer. PMID: 22160393
- Suggest that miR-10b can stimulate the upregulation of RhoC and AKT phosphorylation through targeting HOXD10, thus promoting cell invasion in gastric tumors. PMID: 22293682
- miR-10b induced glioma cell invasion by modulating tumor invasion factors MMP-14 and uPAR expression via the direct target HOXD10 PMID: 21419107
- results indicate a role for HoxD10 in maintaining a nonangiogenic state in the endothelium PMID: 12466126
- Missense Mutation in HOXD10 is associated with congenital vertical talus and Charcot-Marie-Tooth disease PMID: 15146389
- An autosomal-dominant-inherited mutation in a HOXD10 gene with complete penetrance is found in all members of a pedigree with congenital vertical talus. PMID: 15368082
- No evidence was found of linkage near the HOXD gene cluster on chromosome 2q, suggesting genes other than HOXD10 are responsible for idiopathic clubfoot. PMID: 17417092
- Pak1 is a target of miR-7 and that HoxD10 plays a regulatory role in modifying the expression of miR-7. PMID: 18922890
顯示更多
收起更多
-
相關疾病:Vertical talus, congenital (CVT)
-
亞細胞定位:Nucleus.
-
蛋白家族:Abd-B homeobox family
-
組織特異性:Strongly expressed in the adult male and female urogenital tracts.
-
數據庫鏈接:
Most popular with customers
-
-
Phospho-YAP1 (S127) Recombinant Monoclonal Antibody
Applications: ELISA, WB, IHC
Species Reactivity: Human
-
-
-
-
-
-















