HSD11B2 Antibody
-
中文名稱:HSD11B2兔多克隆抗體
-
貨號:CSB-PA010765LA01HU
-
規格:¥440
-
圖片:
-
Western Blot
Positive WB detected in: 293 whole cell lysate
All lanes: HSD11B2 antibody at 2.4µg/ml
Secondary
Goat polyclonal to rabbit IgG at 1/50000 dilution
Predicted band size: 45 kDa
Observed band size: 45 kDa -
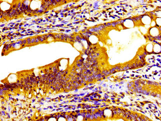
IHC image of CSB-PA010765LA01HU diluted at 1:200 and staining in paraffin-embedded human small intestine tissue performed on a Leica BondTM system. After dewaxing and hydration, antigen retrieval was mediated by high pressure in a citrate buffer (pH 6.0). Section was blocked with 10% normal goat serum 30min at RT. Then primary antibody (1% BSA) was incubated at 4°C overnight. The primary is detected by a biotinylated secondary antibody and visualized using an HRP conjugated SP system.
-
-
其他:
產品詳情
-
產品名稱:Rabbit anti-Homo sapiens (Human) HSD11B2 Polyclonal antibody
-
Uniprot No.:
-
基因名:HSD11B2
-
別名:11 beta HSD2 antibody; 11 beta hydroxysteroid dehydrogenase type 2 antibody; 11 DH2 antibody; 11-beta-HSD2 antibody; 11-beta-hydroxysteroid dehydrogenase type 2 antibody; 11-DH2 antibody; AME antibody; AME1 antibody; Corticosteroid 11 beta dehydrogenase isozyme 2 antibody; Corticosteroid 11-beta-dehydrogenase isozyme 2 antibody; DHI2_HUMAN antibody; HSD11B2 antibody; HSD11K antibody; HSD2 antibody; Hydroxysteroid 11 beta dehydrogenase 2 antibody; Hydroxysteroid 11 beta dehydrogenase isoenzyme 2 antibody; NAD dependent 11 beta hydroxysteroid dehydrogenase antibody; NAD-dependent 11-beta-hydroxysteroid dehydrogenase antibody; SDR9C3 antibody; Short chain dehydrogenase/reductase family 9C; member 3 antibody
-
宿主:Rabbit
-
反應種屬:Human
-
免疫原:Recombinant Human Corticosteroid 11-beta-dehydrogenase isozyme 2 protein (212-343AA)
-
免疫原種屬:Homo sapiens (Human)
-
標記方式:Non-conjugated
本頁面中的產品,HSD11B2 Antibody (CSB-PA010765LA01HU),的標記方式是Non-conjugated。對于HSD11B2 Antibody,我們還提供其他標記。見下表:
-
克隆類型:Polyclonal
-
抗體亞型:IgG
-
純化方式:>95%, Protein G purified
-
濃度:It differs from different batches. Please contact us to confirm it.
-
保存緩沖液:Preservative: 0.03% Proclin 300
Constituents: 50% Glycerol, 0.01M PBS, pH 7.4 -
產品提供形式:Liquid
-
應用范圍:ELISA, WB, IHC
-
推薦稀釋比:
Application Recommended Dilution WB 1:500-1:5000 IHC 1:200-1:500 -
Protocols:
-
儲存條件:Upon receipt, store at -20°C or -80°C. Avoid repeated freeze.
-
貨期:Basically, we can dispatch the products out in 1-3 working days after receiving your orders. Delivery time maybe differs from different purchasing way or location, please kindly consult your local distributors for specific delivery time.
-
用途:For Research Use Only. Not for use in diagnostic or therapeutic procedures.
相關產品
靶點詳情
-
功能:Catalyzes the conversion of cortisol to the inactive metabolite cortisone. Modulates intracellular glucocorticoid levels, thus protecting the nonselective mineralocorticoid receptor from occupation by glucocorticoids.
-
基因功能參考文獻:
- Sequence defects (16q22.1) cause Monogenic Hypertension Syndrome in children (with muscle weakness in severe forms)as result of apparent mineralocorticoid excess. PMID: 29229168
- High systemic 11beta-HSD2 activity in preeclampsia but not in intrauterine growth retardation suggests an increased cortisol deactivation in maternal tissue in preeclampsia rather than in the placenta. PMID: 29523277
- Analyses demonstrated a trend in the association between maternal trait anxiety and depression symptoms with placental gene expression of NR3C1. We found a significant interaction with maternal ethnicity. In Caucasians only, prenatal trait anxiety and depressive symptoms were associated with an increase in placental NR3C1 expression, and prenatal life events were associated with a down regulation of HSD11B2 PMID: 29100173
- mutations that allow the formation of an inactive dimer, alter substrate/coenzyme binding, or impair structural stability of HSD11B2 yield severe apparent mineralocorticoid excess (AME). In contrast, mutations that cause an indirect disruption of substrate binding or mildly alter intramolecular interactions result in type 2 AME. PMID: 29229831
- Six sequence variations were observed. Four mutations were indicated in the coding region of HSD11B2 and the other two in 3'-UTR. Two SNPs: c.468C > A and c.534G > A were found to be in total disequilibrium. High variability in HSD11B2 sequence was indicated in the study population, but the relevance of observed SNPs to gestational hypertension or pre-eclampsia development was not confirmed. PMID: 27686600
- the role of 11beta-HSD2 in determining birth weight PMID: 28502862
- SUMOylation of 11beta-HSD2 at residue K266 modulates cortisol-mediated MR nuclear translocation independently of effects on transactivation. PMID: 28938454
- 11beta-HSD2 activity is not reduced in patients with drug resistant hypertension, suggesting that variation in the conversion of cortisol to cortisone does not contribute to development of antihypertensive treatment resistance. PMID: 28180242
- abundantly localized in syncytial layer of the chorionic villi and the decidual epithelium PMID: 27697223
- The data demonstrate for the first time that 11b- HSD2 plays a key role in the pathophysiology of malignant epidermal cells. PMID: 28797028
- DNA sequence analysis of affected members of Apparent mineralocorticoid excess family revealed homozygous c.799A>G mutations within exon 4 of HSD11B2, corresponding to a p.T267A mutation of 11betaHSD2. PMID: 27526338
- activation of Hedgehog signaling is crucial for the upregulation and maintenance of 11beta-HSD2 expression in placenta PMID: 27379371
- Rac1 GTPase regulates 11beta-HSD2 expression, mineralocorticoid receptor activation, and mineralocorticoid receptor-mediated pro-fibrotic signaling. PMID: 28320863
- enhancer of zeste homolog 2 (EZH2) accounts for the silence of 11beta-HSD2 expression via trimethylation of histone H3 lysine 27 at the promoter of the 11beta-HSD2 gene. PMID: 28302719
- Sensitivity to glucocorticoids did not appear to be mediated by changes in the expression of the beta variant of the glucocorticoid receptor or the 11-beta hydroxysteroid dehydrogenase 2 isozyme. PMID: 26963327
- Review of the role of HSD11B2 in pregnancy complications, fetal diseases, and later life morbidity. PMID: 27018008
- Since increased DNA methylation in HSD11B2 and FKBP5 are seen in a minority of bisulfite sequencing clones, these epigenetic changes, and functional consequences, may affect subpopulations of placental cells. PMID: 27013342
- significant positive correlation between DNA methylation of 11beta-HSD2 CpG 1 in infants and maternal sensitivity. PMID: 26822444
- The 11beta-HSD2 expression decreased in pre-eclamptic women of Chinese Han ethnicity, but was not interrelated with the promoter methylation status. PMID: 25331012
- zearalenone is a selective inhibitor of HSD11B2, implying that this agent may cause excessive glucocorticoid action in local tissues such as kidney and placentas. PMID: 26798634
- Infants with the high-risk neurobehavioral profile showed more methylation than infants with the low-risk neurobehavioral profile at CpG3 for NR3C1 and less methylation of CpG3 for HSD11B2. PMID: 26585459
- The CA-repeat length did not influence BP levels or serum F/E ratios in pediatric subjects. However, the serum F/E ratio was associated with BP, suggesting a role of 11betaHSD2 in mineralocorticoid hypertension. PMID: 25907225
- growth potential of fetus related to the 11beta-HSD2 expression in the placenta, and 11beta-HSD2 expression related to the trace metals status of the mother PMID: 26462907
- maternal depression and anxiety may impact on fetal programming by down-regulating HSD11B2, and antidepressant treatment alone is unlikely to protect against this effect. PMID: 26593902
- Data show that glucocorticoid response genes NR3C1, ADCYAP1R1 and HSD11B2 were relatively hypomethylated whereas FKBP5 was hypermethylated. PMID: 26343289
- No interaction was found between HSD11B2 and exposure during pregnancy, but individuals with the A allele of rs5479 had an increased risk of schizophrenia after exposure at age 3-9 years PMID: 26115144
- 11betaHSD2 inhibition suppressed lung tumor growth and invasion in association with increased tissue active glucocorticoid levels, decreased COX-2 expression, inhibition of ERK and mTOR signaling pathways. PMID: 26011146
- A novel HSD11B2 functional mutation accounting for an Ala221Gly substitution causes Apparent mineralocorticoid excess. The hypertension phenotype is also epigenetically modulated by HSD11B2 methylation in subjects heterozygous for the mutation PMID: 26126204
- infants with low NR3C1 methylation but high HSD11B2 methylation had lower excitability scores; those with high NR3C1 methylation but low HSD11B2 methylation had more asymmetrical reflexes PMID: 25459891
- Insulin reduced the 11beta-HSD2 activity in cancer colon cell lines (HCT116, SW620 and HT-29) at the transcriptional level, in a time and dose dependent manner. PMID: 25133511
- Preeclampsia reduces methylation level at fetal HSD11B2 promoter. PMID: 25200528
- hypertensivesThe 11bHSD2 polymorphism-derived allele frequency was very low, completely absent in controls and no homozygous mutants were found PMID: 25572238
- variants of HSD11B2 may be not a cause of obesity. PMID: 24729284
- The inverse association of offspring 11beta-HSD-2 activity with maternal age at Holocaust exposure is consistent with the influence of glucocorticoid programming. PMID: 24971590
- No correlation was observed between the placental gene expression of 11bHSD-2 and infantile growth at 10 months of age. PMID: 24147632
- Results show a link between the site-specific methylation of placental 11beta-hydroxysteroid dehydrogenase (HSD11B2) promoter and the development of intrauterine growth restriction (IUGR). PMID: 24129435
- the downregulation of 11HSD2 gene expression is a typical feature of the development of colorectal polypous lesions and their transformation into colorectal adenocarcinoma PMID: 24189979
- fetal HSD11B2[CA]n microsatellite polymorphism of the HSD11B2 gene in healthy uncomplicated human pregnancy is associated with maternal cortisol concentration PMID: 24685985
- placental 11bHSD2 expression is significantly reduced in pregnancies complicated by intrahepatic cholestasis of pregnancy. PMID: 24262137
- Increased glucocorticoid exposure as a consequence of reduced 11beta-hydroxysteroid dehydrogenase type 2 activity is likely to be a critical determinant of growth in early life PMID: 24517145
- analysis of placental 11-B hydroxysteroid dehydrogenase methylation patterns and how they relate to prenatal socioeconomic adversity PMID: 24040322
- Data suggest that placental HSD11B2 mRNA expression during prolonged pregnancy is higher in women who do not respond to induction of labor than in responders and in women who enter labor spontaneously. PMID: 24054540
- Data suggest that expression of HSD11B2 in placenta/trophoblast cells is regulated, in part, via the ERK1/2 (mitogen-activated protein kinases 3/1) signaling pathway; this pathway mediates cadmium chloride repression of placental HSD11B2 activity. PMID: 23966319
- HSD11B2 CA-repeat genotype is not associated with hypertension itself, but with renal sodium excretion, probably through salt intake/appetite. PMID: 23446772
- 11beta-HSD2 expression can be modulated by PPARalpha and PPARgamma in placental trophoblasts through Sp-1 PMID: 24169559
- HSD11B1 and HSD11B2 single nucleotide polymorphisms in hypertensive disorders in pregnancy. PMID: 23659736
- Genotyping indicated no hypertension related mutations in the coding region and short introns of HSD11B2 PMID: 23303402
- genetic association studies in Japan: Data suggest that in normal subjects total CA-repeat length in HSD11B2 is negatively correlated with insulin secretion; subjects with longer CA repeats in HSD11B2 are more susceptible to glucose intolerance. PMID: 23357976
- Data suggest that interaction of p300/Sp1 (lysine acetyltransferase 2B/transcription factor Sp1) with HSD11B2 promoter plays crucial role in histone acetylation in syncytiotrophoblasts; these interactions may be important in placentation. PMID: 23714681
- cortisol/cortisone ratio increased with age, but cortisone decreased, suggesting decrease in 11beta-HSD2 activity. Results suggest that cortisol-mediated activation of mineralocorticoid receptor may explain blood pressure increase in elderly subjects. PMID: 23443726
顯示更多
收起更多
-
相關疾病:Apparent mineralocorticoid excess (AME)
-
亞細胞定位:Microsome. Endoplasmic reticulum.
-
蛋白家族:Short-chain dehydrogenases/reductases (SDR) family
-
組織特異性:Expressed in kidney, pancreas, prostate, ovary, small intestine and colon. At midgestation, expressed at high levels in placenta and in fetal kidney and, at much lower levels, in fetal lung and testis.
-
數據庫鏈接:
Most popular with customers
-
-
YWHAB Recombinant Monoclonal Antibody
Applications: ELISA, WB, IHC, IF, FC
Species Reactivity: Human, Mouse, Rat
-
Phospho-YAP1 (S127) Recombinant Monoclonal Antibody
Applications: ELISA, WB, IHC
Species Reactivity: Human
-
-
-
-
-















