HTN3 Antibody
-
中文名稱:HTN3兔多克隆抗體
-
貨號:CSB-PA010879NA01HU
-
規格:¥440
-
圖片:
-
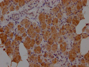
IHC image of CSB-PA010879NA01HU diluted at 1:100 and staining in paraffin-embedded human salivary gland tissue performed on a Leica BondTM system. After dewaxing and hydration, antigen retrieval was mediated by high pressure in a citrate buffer (pH 6.0). Section was blocked with 10% normal goat serum 30min at RT. Then primary antibody (1% BSA) was incubated at 4°C overnight. The primary is detected by a Goat anti-rabbit IgG labeled by HRP and visualized using 0.05% DAB.
-
-
其他:
產品詳情
-
產品名稱:Rabbit anti-Homo sapiens (Human) HTN3 Polyclonal antibody
-
Uniprot No.:
-
基因名:HTN3
-
別名:HTN3 antibody; HIS2 antibody; Histatin-3 antibody; Basic histidine-rich protein antibody; Hst antibody; Histidine-rich protein 3 antibody; PB) [Cleaved into: Histatin-3; His3-(20-44)-peptide antibody; His3 20/44 antibody; His3-(1-25)-peptide antibody; His3 1/25 antibody; Histatin-3 1/25 antibody; Histatin-6); His3-(20-43)-peptide antibody; His3 20/43 antibody; His3-(1-24)-peptide antibody; His3 1/24 antibody; Histatin-3 1/24 antibody; Histatin-5); His3-(20-32)-peptide antibody; His3 20/32 antibody; His3-(1-13)-peptide antibody; His3 1/13 antibody; Histatin-3 1/13); His3-(20-31)-peptide antibody; His3 20/31 antibody; His3-(1-12)-peptide antibody; His3 1/12 antibody; Histatin-3 1/12); His3-(20-30)-peptide antibody; His3 20/30 antibody; His3-(1-11)-peptide antibody; His3 1/11 antibody; Histatin-3 1/11); His3-(24-32)-peptide antibody; His3 24/32 antibody; His3-(5-13)-peptide antibody; His3 5/13 antibody; Histatin-3 5/13); His3-(24-31)-peptide antibody; His3 24/31 antibody; His3-(5-12)-peptide antibody; His3 5/12 antibody; Histatin-11 antibody; Histatin-3 5/12); His3-(24-30)-peptide antibody; His3 24/30 antibody; His3-(5-11)-peptide antibody; His3 5/11 antibody; Histatin-12 antibody; Histatin-3 5/11); His3-(25-32)-peptide antibody; His3 25/32 antibody; His3-(6-13)-peptide antibody; His3 6/13 antibody; Histatin-3 6/13); His3-(25-30)-peptide antibody; His3 25/30 antibody; His3-(6-11)-peptide antibody; His3 6/11 antibody; Histatin-3 6/11); His3-(26-32)-peptide antibody; His3 26/32 antibody; His3-(7-13)-peptide antibody; His3 7/13 antibody; Histatin-3 7/13); His3-(26-31)-peptide antibody; His3 26/31 antibody; His3-(7-12)-peptide antibody; His3 7/12 antibody; Histatin-3 7/12); His3-(26-30)-peptide antibody; His3 26/30 antibody; His3-(7-11)-peptide antibody; His3 7/11 antibody; Histatin-3 7/11); His3-(31-51)-peptide antibody; His3 31/51 antibody; His3-(12-32)-peptide antibody; His3 12/32 antibody; Histatin-3 12/32 antibody; Histatin-4); His3-(31-44)-peptide antibody; His3 31/44 antibody; His3-(12-25)-peptide antibody; His3 12/25 antibody; Histatin-3 12/25 antibody; Histatin-9); His3-(31-43)-peptide antibody; His3 31/43 antibody; His3-(12-24)-peptide antibody; His3 12/24 antibody; Histatin-3 12/24 antibody; Histatin-7); His3-(32-44)-peptide antibody; His3 32/44 antibody; His3-(13-25)-peptide antibody; His3 13/25 antibody; Histatin-10 antibody; Histatin-3 13/25); His3-(32-43)-peptide antibody; His3 32-43 antibody; His3-(13-24)-peptide antibody; His3 13/24 antibody; Histatin-3 13/24 antibody; Histatin-8); His3-(33-44)-peptide antibody; His3 33/44 antibody; His3-(14-25)-peptide antibody; His3 14/25 antibody; Histatin-3 14/25); His3-(33-43)-peptide antibody; His3 33/43 antibody; His3-(14-24)-peptide antibody; His3 14/24 antibody; Histatin-3 14/24); His3-(34-44)-peptide antibody; His3 34/44 antibody; His3-(15-25)-peptide antibody; His3 15/25 antibody; Histatin-3 15/25); His3-(34-43)-peptide antibody; His3 34/43 antibody; His3-(15-24)-peptide antibody; His3 15/24 antibody; Histatin-3 15/24); His3-(45-51)-peptide antibody; His3 45/51 antibody; His3-(26-32)-peptide antibody; His3 26/32 antibody; Histatin-3 26/32); His3-(47-51)-peptide antibody; His3 47/51 antibody; His3-(28-32)-peptide antibody; His3 28/32 antibody; Histatin-3 28/32); His3-(48-51)-peptide antibody; His3 48/51 antibody; His3-(29-32)-peptide antibody; His3 29/32 antibody; Histatin-3 29/32)] antibody
-
宿主:Rabbit
-
反應種屬:Human
-
免疫原:Peptide sequence from Human Histatin-3 protein (20-34AA)
-
免疫原種屬:Homo sapiens (Human)
-
標記方式:Non-conjugated
本頁面中的產品,HTN3 Antibody (CSB-PA010879NA01HU),的標記方式是Non-conjugated。對于HTN3 Antibody,我們還提供其他標記。見下表:
-
克隆類型:Polyclonal
-
抗體亞型:IgG
-
純化方式:>95%, Antigen Affinity purified & Affinity purified
-
濃度:It differs from different batches. Please contact us to confirm it.
-
保存緩沖液:Preservative: 0.03% Proclin 300
Constituents: 50% Glycerol, 0.01M PBS, PH 7.4 -
產品提供形式:Liquid
-
應用范圍:ELISA, IHC
-
推薦稀釋比:
Application Recommended Dilution IHC 1:100-1:500 -
Protocols:
-
儲存條件:Upon receipt, store at -20°C or -80°C. Avoid repeated freeze.
-
貨期:Basically, we can dispatch the products out in 1-3 working days after receiving your orders. Delivery time maybe differs from different purchasing way or location, please kindly consult your local distributors for specific delivery time.
-
用途:For Research Use Only. Not for use in diagnostic or therapeutic procedures.
相關產品
靶點詳情
-
功能:Histatins are salivary proteins that are considered to be major precursors of the protective proteinaceous structure on tooth surfaces (enamel pellicle). In addition, histatins exhibit antibacterial and antifungal activities. His3-(20-43)-peptide (histatin-5) is especially effective against C.albicans and C.neoformans, and inhibits Lys-gingipain and Arg-gingipain (rgpB) from P.gingivalis. In addition, His3-(20-43)-peptide is a potent inhibitor of metalloproteinases MMP2 and MMP9.
-
基因功能參考文獻:
- This aim of this study was to identify novel biomarkers using comparative global proteome analysis to improve the risk assessment for recurrent coronary events. Beta -defensin-128 and histatin-3 may be potential biomarkers whch may be used to improve risk the stratification for recurrent coronary events. PMID: 28627688
- the availability of Cu during exposure of Candida albicans to histatin-5 (Hist-5) modulates its antifungal activity. PMID: 28763199
- The aim of this study was to achieve a molecular understanding and a physico-chemical insight of the obtained small angle X-ray scattering and to gain information of the conformational changes of Histatin 5 due to altering salt content, charge distribution, and net charge. PMID: 26914439
- Histatin 5 Salivary Complexes PMID: 26544073
- Hst 5 may affect mitochondrial functions and cause oxidative stress; however, the ultimate cause of cell death is by volume dysregulation and ion imbalance triggered by osmotic stress. [Review] PMID: 24951439
- High intensity of caries is associated with increased levels of some salivary components - sIgA, histatin-5 and lactoperoxidase. PMID: 24974109
- analysis of histatin 5 uptake by Candida albicans utilizes polyamine transporters Dur3 and Dur31 proteins PMID: 22033918
- Histatin-5 is a likely transport molecule for toxic Ni(II) in human saliva.Its binding constant to nickel is five time higher than that of albumin. PMID: 21741339
- Hst 5 binding to beta-glucans on the cell wall of C. albicans is salt-sensitive. Uptake of Hst 5 shows dose-dependent translocation and intracellular accumulation precede vacuole expansion and propidium iodide uptake. PMID: 20487276
- Killing of Candida albicans requires cellular uptake and energy metabolism (Histatin 5) PMID: 11816973
- caused a loss of cell viability concomitant with a decrease in cellular volume as determined both by a classical candidacidal assay with exogenous Hst 5 and by using a genetically engineered C. albicans strain expressing Hst 5 (salivary histatin 5) PMID: 12183519
- study provides evidence for a novel function for yeast Ssa1/2 heat-shock proteins as cell envelope binding receptors for histatin 5 that mediate fungicidal activity PMID: 12761219
- results suggest that the genesis of histatin 3-related peptides, being under the principal action of trypsin-like activities, is probably not a random process but rather follows a sequential fragmentation pathway; cleavage sites are identified PMID: 15272024
- A 20-residue-derived histatin 5 peptide preserves anticandidal activity, binds DNA, and has nuclease activity in the presence of copper and zinc ions. PMID: 17176059
- Two cationic lysine residues at positions 2 and 10 in the P-113 peptide of Histatin 5 are important for transport into the cytosol of Candida albicans and that binding and transport are independent functional events. PMID: 17999963
- key steps of its lethal mechanism against parasites PMID: 18230684
- Gene polymorphism at codon 23 of the histatin 3 gene was not associated with periodontitis in the Japanese population. Rather it appeared to be associated with resistance to periodontitis. PMID: 19753800
顯示更多
收起更多
-
亞細胞定位:Secreted. Note=Secreted by serous acinar and demilune cells.
-
蛋白家族:Histatin/statherin family
-
數據庫鏈接:
Most popular with customers
-
YWHAB Recombinant Monoclonal Antibody
Applications: ELISA, WB, IHC, IF, FC
Species Reactivity: Human, Mouse, Rat
-
Phospho-YAP1 (S127) Recombinant Monoclonal Antibody
Applications: ELISA, WB, IHC
Species Reactivity: Human
-
-
-
-
-
-















