IFIT2 Antibody
-
中文名稱:IFIT2兔多克隆抗體
-
貨號:CSB-PA011021LA01HU
-
規格:¥440
-
圖片:
-
Western Blot
Positive WB detected in: HEK293 whole cell lysate, Rat liver tissue
All lanes: IFIT2 antibody at 3µg/ml
Secondary
Goat polyclonal to rabbit IgG at 1/50000 dilution
Predicted band size: 55 kDa
Observed band size: 55 kDa -
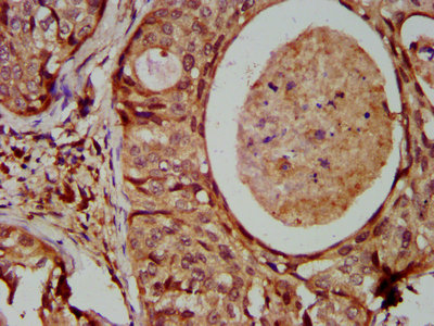
IHC image of CSB-PA011021LA01HU diluted at 1:600 and staining in paraffin-embedded human cervical cancer performed on a Leica BondTM system. After dewaxing and hydration, antigen retrieval was mediated by high pressure in a citrate buffer (pH 6.0). Section was blocked with 10% normal goat serum 30min at RT. Then primary antibody (1% BSA) was incubated at 4°C overnight. The primary is detected by a biotinylated secondary antibody and visualized using an HRP conjugated SP system.
-
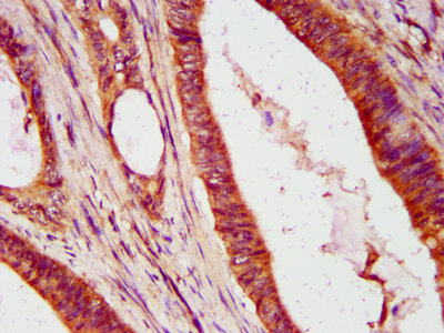
IHC image of CSB-PA011021LA01HU diluted at 1:600 and staining in paraffin-embedded human colon cancer performed on a Leica BondTM system. After dewaxing and hydration, antigen retrieval was mediated by high pressure in a citrate buffer (pH 6.0). Section was blocked with 10% normal goat serum 30min at RT. Then primary antibody (1% BSA) was incubated at 4°C overnight. The primary is detected by a biotinylated secondary antibody and visualized using an HRP conjugated SP system.
-
Immunofluorescent analysis of HepG2 cells using CSB-PA011021LA01HU at dilution of 1:100 and Alexa Fluor 488-congugated AffiniPure Goat Anti-Rabbit IgG(H+L)
-
-
其他:
產品詳情
-
產品名稱:Rabbit anti-Homo sapiens (Human) IFIT2 Polyclonal antibody
-
Uniprot No.:
-
基因名:IFIT2
-
別名:CIG-42 antibody; cig42 antibody; G10P2 antibody; GARG 39 antibody; Glucocorticoid attenuated response gene 39 antibody; IFI 54 antibody; IFI 54K antibody; IFI-54K antibody; IFI54 antibody; IFIT 2 antibody; IFIT-2 antibody; IFIT2 antibody; IFIT2_HUMAN antibody; Interferon induced 54 kDa protein antibody; Interferon induced protein 54 antibody; Interferon induced protein with tetratricopeptide repeats 2 antibody; Interferon, alpha inducible protein (MW 54kD) antibody; Interferon-induced 54 kDa protein antibody; Interferon-induced protein with tetratricopeptide repeats 2 antibody; ISG 54 K antibody; ISG 54K antibody; ISG-54 K antibody; ISG54 antibody
-
宿主:Rabbit
-
反應種屬:Human, Rat
-
免疫原:Recombinant Human Interferon-induced protein with tetratricopeptide repeats 2 protein (130-265AA)
-
免疫原種屬:Homo sapiens (Human)
-
標記方式:Non-conjugated
本頁面中的產品,IFIT2 Antibody (CSB-PA011021LA01HU),的標記方式是Non-conjugated。對于IFIT2 Antibody,我們還提供其他標記。見下表:
-
克隆類型:Polyclonal
-
抗體亞型:IgG
-
純化方式:>95%, Protein G purified
-
濃度:It differs from different batches. Please contact us to confirm it.
-
保存緩沖液:Preservative: 0.03% Proclin 300
Constituents: 50% Glycerol, 0.01M PBS, pH 7.4 -
產品提供形式:Liquid
-
應用范圍:ELISA, WB, IHC, IF
-
推薦稀釋比:
Application Recommended Dilution WB 1:500-1:5000 IHC 1:500-1:1000 IF 1:50-1:200 -
Protocols:
-
儲存條件:Upon receipt, store at -20°C or -80°C. Avoid repeated freeze.
-
貨期:Basically, we can dispatch the products out in 1-3 working days after receiving your orders. Delivery time maybe differs from different purchasing way or location, please kindly consult your local distributors for specific delivery time.
-
用途:For Research Use Only. Not for use in diagnostic or therapeutic procedures.
相關產品
靶點詳情
-
功能:IFN-induced antiviral protein which inhibits expression of viral messenger RNAs lacking 2'-O-methylation of the 5' cap. The ribose 2'-O-methylation would provide a molecular signature to distinguish between self and non-self mRNAs by the host during viral infection. Viruses evolved several ways to evade this restriction system such as encoding their own 2'-O-methylase for their mRNAs or by stealing host cap containing the 2'-O-methylation (cap snatching mechanism). Binds AU-rich viral RNAs, with or without 5' triphosphorylation, RNA-binding is required for antiviral activity. Can promote apoptosis.
-
基因功能參考文獻:
- The results of the present study revealed that the inhibition of proteasome activity blocked the degradation of IFIT2 and promoted the aggregation of IFIT2 in the centrosome, which in turn induced cell apoptosis. In short, IFIT2 may be a potential target for cancer therapeutics. PMID: 28367102
- Mechanistic investigations reveal that AJUBA specifically binds the FERM domain of JAK1 to dissociate JAK1 from the IFNgamma recepter, resulting in an inhibition of STAT1 phosporylation and concomitantly its nuclear translocation. Clinically, the level of AJUBA in CRC specimens is negatively correlated with the levels of IFIT2 and pSTAT1 PMID: 27893714
- LINC00161 is an essential regulator in cisplatin-induced apoptosis, and the LINC00161-miR-645-IFIT2 signalling axis plays an important role in reducing osteosarcoma chemoresistance. PMID: 27609068
- there is a positive feedback loop between phosphorylated STAT1 and ISG56, ISG54 or ISG60. PMID: 26423178
- Data show that interferon-induced proteins with tetratricopeptide repeats 1 and 2 (IFIT1 and IFIT2) contribute to the regulation of hepatitis B virus (HBV) replication, likely at both transcriptional and posttranscriptional steps. PMID: 23867918
- Data shows that IFIT2 expression is downregulated in adenocarcinoma of gastric esophageal junction cells; its ectopic expression leads to cell apoptosis, suggesting its role as a tumor suppressor. PMID: 25174799
- IFIT2, a protein responsible for interferon stimulation, may prevent oral squamous cell carcinoma (OSCC) metastasis and serve as a valuable prognostic marker. PMID: 22986528
- ISG54 binds specifically to some RNAs, such as adenylate uridylate (AU)-rich RNAs, with or without 5' triphosphorylation. PMID: 22825553
- Inhibitor of kappaB kinase epsilon (IKK(epsilon)), STAT1, and IFIT2 proteins define novel innate immune effector pathway against West Nile virus infection. PMID: 22065572
- The expression of OASL and IFIT2 was significantly higher in SLE patients than in controls. PMID: 20506645
- role of ISG54 in the induction of apoptosis via a mitochondrial pathway shedding new light on the mechanism by which IFN elicits anti-viral and anti-cancer effects PMID: 21190939
- The expression of interferon-induced genes IFI-54K and IFI-56K in the infected cells was found to increase 50-100-fold PMID: 12708317
- We observed that, although double-stranded RNA or Sendai virus infection induced the two genes with similar kinetics, their induction kinetics in response to interferon-beta were quite different. PMID: 16973618
- IFN-induced protein with tetratricopeptide repeats 2 inhibits migration activity and increases survival of oral squamous cell carcinoma. PMID: 18819931
- IFIT2/GARG39 was identified as a microtubule-associated protein enriched in the mitotic spindle of mouse NIH3T3 and B16F10 melanoma cells. PMID: 17030862
顯示更多
收起更多
-
亞細胞定位:Cytoplasm. Endoplasmic reticulum.
-
蛋白家族:IFIT family
-
數據庫鏈接:
Most popular with customers
-
YWHAB Recombinant Monoclonal Antibody
Applications: ELISA, WB, IHC, IF, FC
Species Reactivity: Human, Mouse, Rat
-
Phospho-YAP1 (S127) Recombinant Monoclonal Antibody
Applications: ELISA, WB, IHC
Species Reactivity: Human
-
-
-
-
-
-















