IFT140 Antibody
-
中文名稱:IFT140兔多克隆抗體
-
貨號:CSB-PA842756LA01HU
-
規格:¥440
-
圖片:
-
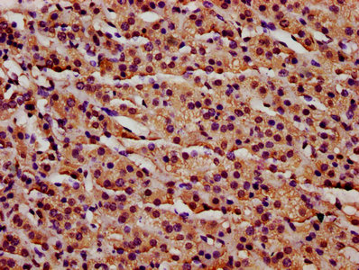
IHC image of CSB-PA842756LA01HU diluted at 1:300 and staining in paraffin-embedded human adrenal gland tissue performed on a Leica BondTM system. After dewaxing and hydration, antigen retrieval was mediated by high pressure in a citrate buffer (pH 6.0). Section was blocked with 10% normal goat serum 30min at RT. Then primary antibody (1% BSA) was incubated at 4°C overnight. The primary is detected by a biotinylated secondary antibody and visualized using an HRP conjugated SP system.
-
-
其他:
產品詳情
-
產品名稱:Rabbit anti-Homo sapiens (Human) IFT140 Polyclonal antibody
-
Uniprot No.:
-
基因名:IFT140
-
別名:IFT140 antibody; KIAA0590 antibody; WDTC2 antibody; Intraflagellar transport protein 140 homolog antibody; WD and tetratricopeptide repeats protein 2 antibody
-
宿主:Rabbit
-
反應種屬:Human
-
免疫原:Recombinant Human Intraflagellar transport protein 140 homolog protein (1291-1462AA)
-
免疫原種屬:Homo sapiens (Human)
-
標記方式:Non-conjugated
本頁面中的產品,IFT140 Antibody (CSB-PA842756LA01HU),的標記方式是Non-conjugated。對于IFT140 Antibody,我們還提供其他標記。見下表:
-
克隆類型:Polyclonal
-
抗體亞型:IgG
-
純化方式:>95%, Protein G purified
-
濃度:It differs from different batches. Please contact us to confirm it.
-
保存緩沖液:Preservative: 0.03% Proclin 300
Constituents: 50% Glycerol, 0.01M PBS, pH 7.4 -
產品提供形式:Liquid
-
應用范圍:ELISA, IHC
-
推薦稀釋比:
Application Recommended Dilution IHC 1:200-1:500 -
Protocols:
-
儲存條件:Upon receipt, store at -20°C or -80°C. Avoid repeated freeze.
-
貨期:Basically, we can dispatch the products out in 1-3 working days after receiving your orders. Delivery time maybe differs from different purchasing way or location, please kindly consult your local distributors for specific delivery time.
-
用途:For Research Use Only. Not for use in diagnostic or therapeutic procedures.
相關產品
靶點詳情
-
功能:Component of the IFT complex A (IFT-A), a complex required for retrograde ciliary transport and entry into cilia of G protein-coupled receptors (GPCRs). Plays a pivotal role in proper development and function of ciliated cells through its role in ciliogenesis and/or cilium maintenance. Required for the development and maintenance of the outer segments of rod and cone photoreceptor cells. Plays a role in maintenance and the delivery of opsin to the outer segment of photoreceptor cells.
-
基因功能參考文獻:
- A maternally inherited homozygous biallelic mutation altering the exon 6 splice donor site in IFT140 gene causes Mainzer-Saldino syndrome. PMID: 28724397
- We provide the first description of an Opitz trigonocephaly C syndrome (OTCS) phenotype that appears to result from IFT140 mutations. The presentation of this patient is consistent with previous reports showing that OTCS already exhibited skeleletal and nonskeletal features of a ciliopathy PMID: 27874174
- Recessive IFT140 mutations cause a severe congenital retinal dystrophy with high hyperopia and often early photophilia. Developmental delay is common but not universal and not all patients have obvious extraocular findings. PMID: 26359340
- This study highlights the phenotype of nonsyndromic RP due to mutations in IFT140 with milder retinal dystrophy than that associated with the syndromic disease. PMID: 26968735
- Identification of IFT140 variants in multiple unrelated non-syndromic Leber congenital amaurosis and retinitis pigmentosa. PMID: 26216056
- Genetic analysis revealed both to harbor recessive mutations in IFT140, a cilium gene recently associated with the skeletal ciliopathy conorenal syndrome. PMID: 24698627
- present study strengthens the rationale for IFT140 screening in skeletal ciliopathy spectrum patients that have kidney disease and/or retinal dystrophy PMID: 23418020
- IFT140 mutations were identified in Mainzer-Saldino syndrome. IFT140 plays a role in proper development and function of ciliated cells. PMID: 22503633
- loss of Ift140 causes pronounced renal cystic disease and suggest that abnormalities in several different pathways may influence cyst progression. PMID: 22282595
顯示更多
收起更多
-
相關疾病:Short-rib thoracic dysplasia 9 with or without polydactyly (SRTD9)
-
亞細胞定位:Cytoplasm, cytoskeleton, cilium basal body. Cytoplasm, cytoskeleton, microtubule organizing center, centrosome. Cell projection, cilium.
-
數據庫鏈接:
Most popular with customers
-
-
YWHAB Recombinant Monoclonal Antibody
Applications: ELISA, WB, IHC, IF, FC
Species Reactivity: Human, Mouse, Rat
-
Phospho-YAP1 (S127) Recombinant Monoclonal Antibody
Applications: ELISA, WB, IHC
Species Reactivity: Human
-
-
-
-
-















