IFT74 Antibody
-
中文名稱:IFT74兔多克隆抗體
-
貨號:CSB-PA040376
-
規格:¥1100
-
圖片:
-
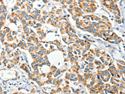
The image on the left is immunohistochemistry of paraffin-embedded Human liver cancer tissue using CSB-PA040376(IFT74 Antibody) at dilution 1/60, on the right is treated with synthetic peptide. (Original magnification: ×200)
-
The image on the left is immunohistochemistry of paraffin-embedded Human breast cancer tissue using CSB-PA040376(IFT74 Antibody) at dilution 1/60, on the right is treated with synthetic peptide. (Original magnification: ×200)
-
-
其他:
產品詳情
-
Uniprot No.:
-
基因名:IFT74
-
別名:intraflagellar transport 74, Chlamydomonas, homolog of antibody; Capillary morphogenesis gene 1 protein antibody; Capillary morphogenesis protein 1 antibody; Ccdc2 antibody; CMG 1 antibody; CMG-1 antibody; Coiled-coil domain containing 2 antibody; Coiled-coil domain-containing protein 2 antibody; IFT74 antibody; IFT74_HUMAN antibody; intraflagellar transport 74 homolog (Chlamydomonas) antibody; intraflagellar transport 74 homolog antibody; Intraflagellar transport protein 74 homolog antibody
-
宿主:Rabbit
-
反應種屬:Human
-
免疫原:Synthetic peptide of Human IFT74
-
免疫原種屬:Homo sapiens (Human)
-
標記方式:Non-conjugated
-
抗體亞型:IgG
-
純化方式:Antigen affinity purification
-
濃度:It differs from different batches. Please contact us to confirm it.
-
保存緩沖液:-20°C, pH7.4 PBS, 0.05% NaN3, 40% Glycerol
-
產品提供形式:Liquid
-
應用范圍:ELISA,IHC
-
推薦稀釋比:
Application Recommended Dilution ELISA 1:1000-1:5000 IHC 1:50-1:200 -
Protocols:
-
儲存條件:Upon receipt, store at -20°C or -80°C. Avoid repeated freeze.
-
貨期:Basically, we can dispatch the products out in 1-3 working days after receiving your orders. Delivery time maybe differs from different purchasing way or location, please kindly consult your local distributors for specific delivery time.
-
用途:For Research Use Only. Not for use in diagnostic or therapeutic procedures.
相關產品
靶點詳情
-
功能:Component of the intraflagellar transport (IFT) complex B: together with IFT81, forms a tubulin-binding module that specifically mediates transport of tubulin within the cilium. Binds beta-tubulin via its basic region. Required for ciliogenesis.
-
基因功能參考文獻:
- this study found that the two core intraflagellar transport proteins IFT74 and IFT81 form a tubulin-binding module and mapped the interaction to a calponin homology domain of IFT81 and a highly basic domain in IFT74. PMID: 23990561
- The results revealed that the common variations in IFT74 and GRN neither constitute strong ALS risk factors nor modify the age-at-onset. PMID: 17383054
-
相關疾病:Bardet-Biedl syndrome 20 (BBS20)
-
亞細胞定位:Cell projection, cilium. Cytoplasmic vesicle. Note=Localizes along primary cilia at interphase and around the basal body/centriole at interphase and mitosis.
-
蛋白家族:IFT74 family
-
組織特異性:Highly expressed in adult and fetal kidney and expressed at lower level in adult heart, placenta, lung, liver and pancreas, and in fetal heart, lung and liver. Little to no expression was detected in adult brain and skeletal muscle or in fetal brain, thym
-
數據庫鏈接:
Most popular with customers
-
-
YWHAB Recombinant Monoclonal Antibody
Applications: ELISA, WB, IHC, IF, FC
Species Reactivity: Human, Mouse, Rat
-
Phospho-YAP1 (S127) Recombinant Monoclonal Antibody
Applications: ELISA, WB, IHC
Species Reactivity: Human
-
-
-
-
-















