-
中文名稱:IGF2BP2兔多克隆抗體
-
貨號:CSB-PA908724
-
規格:¥1100
-
圖片:
-
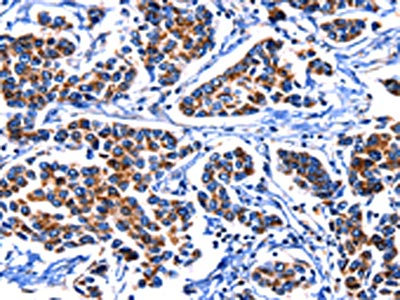
The image on the left is immunohistochemistry of paraffin-embedded Human esophagus cancer tissue using CSB-PA908724(IGF2BP2 Antibody) at dilution 1/15, on the right is treated with fusion protein. (Original magnification: ×200)
-
The image on the left is immunohistochemistry of paraffin-embedded Human breast cancer tissue using CSB-PA908724(IGF2BP2 Antibody) at dilution 1/15, on the right is treated with fusion protein. (Original magnification: ×200)
-
Gel: 8%SDS-PAGE, Lysate: 40 μg, Lane: Jurkat cells, Primary antibody: CSB-PA908724(IGF2BP2 Antibody) at dilution 1/300, Secondary antibody: Goat anti rabbit IgG at 1/8000 dilution, Exposure time: 40 seconds
-
-
其他:
產品詳情
-
Uniprot No.:
-
基因名:
-
別名:Hepatocellular carcinoma autoantigen p62 antibody; IF2B2_HUMAN antibody; IGF 2 mRNA binding protein 2 antibody; IGF II mRNA binding protein 2 antibody; IGF-II mRNA-binding protein 2 antibody; IGF2 mRNA-binding protein 2 antibody; Igf2bp2 antibody; IMP 2 antibody; IMP-2 antibody; IMP2 antibody; Insulin like growth factor 2 mRNA binding protein 2 antibody; Insulin-like growth factor 2 mRNA-binding protein 2 antibody; OTTHUMP00000082606 antibody; OTTHUMP00000082607 antibody; OTTHUMP00000082608 antibody; p62 antibody; VICKZ 2 antibody; VICKZ family member 2 antibody; VICKZ2 antibody
-
宿主:Rabbit
-
反應種屬:Human,Mouse
-
免疫原:Fusion protein of Human IGF2BP2
-
免疫原種屬:Homo sapiens (Human)
-
標記方式:Non-conjugated
-
抗體亞型:IgG
-
純化方式:Antigen affinity purification
-
濃度:It differs from different batches. Please contact us to confirm it.
-
保存緩沖液:-20°C, pH7.4 PBS, 0.05% NaN3, 40% Glycerol
-
產品提供形式:Liquid
-
應用范圍:ELISA,WB,IHC
-
推薦稀釋比:
Application Recommended Dilution ELISA 1:1000-1:5000 WB 1:200-1:1000 IHC 1:20-1:100 -
Protocols:
-
儲存條件:Upon receipt, store at -20°C or -80°C. Avoid repeated freeze.
-
貨期:Basically, we can dispatch the products out in 1-3 working days after receiving your orders. Delivery time maybe differs from different purchasing way or location, please kindly consult your local distributors for specific delivery time.
-
用途:For Research Use Only. Not for use in diagnostic or therapeutic procedures.
引用文獻
- IGF2BP2 acts as am6A modification regulator in laryngeal squamous cell carcinoma through facilitating CDK6 mRNA stabilization X Tang,Cell death discovery,2023
相關產品
靶點詳情
-
功能:RNA-binding factor that recruits target transcripts to cytoplasmic protein-RNA complexes (mRNPs). This transcript 'caging' into mRNPs allows mRNA transport and transient storage. It also modulates the rate and location at which target transcripts encounter the translational apparatus and shields them from endonuclease attacks or microRNA-mediated degradation. Binds to the 5'-UTR of the insulin-like growth factor 2 (IGF2) mRNAs. Binding is isoform-specific. Binds to beta-actin/ACTB and MYC transcripts.
-
基因功能參考文獻:
- IGF2BP2 protein is a tumor promoter that drives cancer proliferation through its client mRNAs IGF2 and HMGA1. PMID: 28753127
- The miR-485-5p/IGF2BP2 axis orchestrates the growth and metastasis of non-small cell lung cancer. PMID: 29510198
- IGF2BP2/IMP2 expression is linked to short survival and metastasis in esophageal adenocarcinoma PMID: 27391348
- insulin-like growth factor 2 mRNA-binding protein 2 (IMP2) binds to let-7 miRNA recognition elements (MREs) and prevents let-7 target gene silencing. PMID: 27184842
- miR-1193 suppressed proliferation and invasion of human breast cancer cells via translational suppression of IGF2BP2. PMID: 27733218
- Our data suggests that IGF2BP2 polymorphisms are associated with Type 2 Diabetes Mellitus in Asian populations. PMID: 27294943
- Study conclude that integration of genomic and transcriptomic data implicate circulating IGF2BP2 mRNA levels associated with glucose and insulin homeostasis PMID: 27625022
- IGF2BP2 as a post-transcriptional regulatory mRNA-binding factor that contributes to Colorectal carcinogenesis. PMID: 27153315
- p62/IMP2 stimulates cell migration and reduces cell adhesion, contributing to breast cancer progression. PMID: 26416451
- IMP2 expression is higher in ovarian and endometrial high-grade serous carcinomas (HGSC) than in ovarian or endometrial endometrioid carcinoma. Knockdown in ovarian HGSC cell line decreased cell proliferation. PMID: 26889980
- Our results suggest IGF2BP2 and KCNQ1 polymorphisms might be independent predictors of chemotherapeutic response PMID: 26115082
- HPV16 Down-Regulates the Insulin-Like Growth Factor Binding Protein 2 to Promote Epithelial Invasion PMID: 26107517
- Imp2 regulates the activity of IGF2, which further activates PI3K/Akt signaling. PMID: 25719943
- The IGF2BP2 gene rs1470579 and rs4402960 polymorphisms were associated with type 2 diabetes patients and therapeutic efficacy of pioglitazone in this Chinese population PMID: 25247335
- The IGF2BP2 gene rs4402960 polymorphism increases the breast cancer risk of Chinese females with Han nationality, and is a breast cancer predisposing gene. PMID: 25661373
- rs4402960 of IGF2BP2 gene is a strong candidate for Type 2 diabetes susceptibility and overweight/obesity risk. PMID: 24636221
- Data suggest that autoantibody against IGF2 mRNA-Binding Protein 2 (IMP2/p62) may be a useful serum biomarker for early-stage breast cancer screening and diagnosis. PMID: 25721883
- The case-control study and meta-analysis revealed a significant association between the IGF2BP2 rs4402960 variant and type 2 diabetes in Moroccan and Arab populations.[meta-analysis] PMID: 24898818
- The present study provided data suggesting that the wild C allele of IGF2BP2 (rs4402960) had a protective effect against T2DM in obese subjects of Chinese Han population. PMID: 25062844
- VICKZ1 and VICKZ2 are overexpressed in ovarian carcinoma effusions suggesting a biological role at this anatomical site, and appear to have a role in proteolysis and invasion. VICKZ2 may be a prognostic marker in ovarian serous carcinoma effusions. PMID: 24814803
- IGF2BP2 was strongly associated with the risk of T2DM in Chinese Han population. PMID: 24229666
- Our results revealed two novel genes (IGF2BP2 and TNFRSF13B), whose function could account for the biologic pathways influencing MetS phenotypes. PMID: 23418049
- Polymorphisms in PPARgamma(2) and IGF2BP2 were shown to be highly correlated with GDM occurrence, whereas no correlation was found for KCNQ1 polymorphisms. PMID: 23364967
- TCF7L2 was replicated in this study (P = 0.004; combined analysis P = 3.8 x 10(-6)), and type 2 diabetes SNPs at or near CDKAL1, CDKN2A/B, and IGF2BP2 were associated with CFRD PMID: 23670970
- IGF2BP2 genetic variants contribute to insulin resistance in Russian NIDDM patients. PMID: 23403707
- findings implicate the HMGA2-IGFBP2-NRAS signaling pathway as a critical oncogenic driver in embryonic rhabdomyosarcoma PMID: 23536553
- IGF2BP2 may play a role in susceptibility to schizophrenia in Han Chinese, supporting the hypothesis that the co-occurrence of type 2 diabetes mellitus and schizophrenia may be explained by shared genetic risk variants. PMID: 23656854
- rs4402960 and rs1470579 lymorphisms of the IFG2BP2po is a risk factor for developing type 2 diabetes. PMID: 22015911
- there is a strong immune response of anti-p62 in sera from patients with colon cancer compared with normal human sera (NHS). PMID: 23421499
- p62 exerts IGF2-independent antiapoptotic action, which is facilitated via phosphorylation of ERK1/2. PMID: 23257922
- IGF2BP2 alternative variants were associated with GADA negative diabetes. The IGF2BP2 haplotypes and diplotypes increased the risk of diabetes in Malaysian subject. PMID: 23029108
- In African Americans, seven of the 29 SNPs examined were found to be associated with T2D risk at P = 0.05, including rs6769511 (IGF2BP2). PMID: 23144361
- genetic association studies: Data suggest that an SNP in IGF2BP2 (rs4402960) is associated with type 2 diabetes; IGF2BP2 may have genetic interactions with insulin-like growth factor II with a protective effect in male patients with type 1 diabetes. PMID: 22770937
- Association to type 2 diabetes was found for rs13266634 (SLC30A8), rs7923837 (HHEX), rs10811661 (CDKN2A/2B), rs4402960 (IGF2BP2), rs12779790 (CDC123/CAMK1D), and rs2237892 (KCNQ1). PMID: 22923468
- oncofetal insulin-like growth factor 2 mRNA-binding protein 2 (IMP2, IGF2BP2) regulates oxidative phosphorylation (OXPHOS) in primary glioblastoma (GBM) sphere cultures (gliomaspheres) PMID: 22899010
- Data validate that IGF2BP2 susceptibility variants rs4402960 and rs1470579 associate with T2DM in Lebanese Arabs. PMID: 22245690
- Two isoforms of the mRNA binding protein IGF2BP2 are generated by alternative translational initiation. PMID: 22427968
- IGF2BP2 genetic variation is associated with type 2 diabetes. PMID: 22032244
- Six SNP(rs7754840 in CDKAL1, rs391300 in SRR, rs2383208 in CDKN2A/2B, rs4402960 in IGF2BP2, rs10830963 in MTNR1B, rs4607517 in GCK)risk alleles of type 2 diabetes were associated with GDM in pregnant Chinese women. PMID: 22096510
- meta-analysis suggested that IGF2BP2 rs4402960 polymorphism conferred elevated risk of T2DM, especially in European, East Asian and South Asian populations PMID: 21839790
- involved in the selective autophagic clearance of non-ubiquitylated aggregation-prone substrates PMID: 21771882
- IGF2 is emerging as an important gene for ovarian cancer. PMID: 21422097
- The induction of a steatotic phenotype implies that p62 plays a role in hepatic pathophysiology PMID: 21145819
- Double phosphorylation promotes IMP2 binding to the IGF2 leader 3 mRNA 5' untranslated region, and the translational initiation of this mRNA PMID: 21576258
- non-replications of IGF2BP2 associations with type 2 diabetes PMID: 20627640
- Data reveal how the posttranscriptional regulation of gene expression by IMP-2 contributes to the control of adhesion structures and stable microtubules and demonstrate an important function for IMP-2 in cellular motility. PMID: 20956565
- findings show that IGF2BP2 rs1470579 and rs4402960 polymorphisms may be associated with the development of type 2 diabetes and these polymorphisms may affect the therapeutic efficacy of repaglinide in Chinese T2DM patientsmellitus PMID: 20523342
- prostate cancer was inversely associated with the IGF2BP2 rs4402960 T allele PMID: 20142250
- HMGA2 differentially regulates expression of IMP family members during mouse embryogenesis. PMID: 15225648
- Study suggests that there is a significant association between expression of IMP-2 and the growth of tumor cells, in which IMP-2 is associated with apoptosis induced by tretinoin. PMID: 15618018
顯示更多
收起更多
-
亞細胞定位:Nucleus. Cytoplasm. Note=Localized in cytoplasmic mRNP granules containing untranslated mRNAs. Localizes at the connecting piece and the tail of the spermatozoa. In response to cellular stress, such as oxidative stress, recruited to stress granules.
-
蛋白家族:RRM IMP/VICKZ family
-
組織特異性:Expressed in oocytes, granulosa cells of small and growing follicles, Leydig cells, spermatogonia and semen (at protein level). Expressed in testicular cancer (at protein level). Expressed weakly in heart, placenta, skeletal muscle, bone marrow, colon, ki
-
數據庫鏈接:
Most popular with customers
-
-
YWHAB Recombinant Monoclonal Antibody
Applications: ELISA, WB, IHC, IF, FC
Species Reactivity: Human, Mouse, Rat
-
Phospho-YAP1 (S127) Recombinant Monoclonal Antibody
Applications: ELISA, WB, IHC
Species Reactivity: Human
-
-
-
-
-















