IL3 Antibody
-
中文名稱:IL3兔多克隆抗體
-
貨號:CSB-PA06725A0Rb
-
規格:¥440
-
圖片:
-
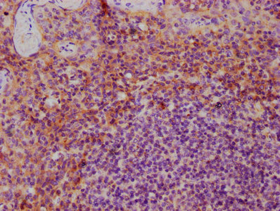
IHC image of CSB-PA06725A0Rb diluted at 1:600 and staining in paraffin-embedded human tonsil tissue performed on a Leica BondTM system. After dewaxing and hydration, antigen retrieval was mediated by high pressure in a citrate buffer (pH 6.0). Section was blocked with 10% normal goat serum 30min at RT. Then primary antibody (1% BSA) was incubated at 4°C overnight. The primary is detected by a biotinylated secondary antibody and visualized using an HRP conjugated SP system.
-
-
其他:
產品詳情
-
產品名稱:Rabbit anti-Homo sapiens (Human) IL3 Polyclonal antibody
-
Uniprot No.:
-
基因名:
-
別名:Colony stimulating factor multiple antibody; Hematopoietic growth factor antibody; IL 3 antibody; IL-3 antibody; IL3 antibody; IL3_HUMAN antibody; Interleukin 3 (colony stimulating factor; multiple) antibody; Interleukin 3 antibody; Interleukin-3 antibody; Mast cell growth factor antibody; MCGF antibody; MGC79398 antibody; MGC79399 antibody; Multi CSF antibody; Multilineage colony stimulating factor antibody; Multipotential colony stimulating factor antibody; Multipotential colony-stimulating factor antibody; OTTHUMP00000065963 antibody; P cell stimulating factor antibody; P-cell-stimulating factor antibody
-
宿主:Rabbit
-
反應種屬:Human
-
免疫原:Recombinant Human Interleukin-3 protein (20-152AA)
-
免疫原種屬:Homo sapiens (Human)
-
標記方式:Non-conjugated
本頁面中的產品,IL3 Antibody (CSB-PA06725A0Rb),的標記方式是Non-conjugated。對于IL3 Antibody,我們還提供其他標記。見下表:
-
克隆類型:Polyclonal
-
抗體亞型:IgG
-
純化方式:>95%, Protein G purified
-
濃度:It differs from different batches. Please contact us to confirm it.
-
保存緩沖液:Preservative: 0.03% Proclin 300
Constituents: 50% Glycerol, 0.01M PBS, PH 7.4 -
產品提供形式:Liquid
-
應用范圍:ELISA, IHC
-
推薦稀釋比:
Application Recommended Dilution IHC 1:500-1:1000 -
Protocols:
-
儲存條件:Upon receipt, store at -20°C or -80°C. Avoid repeated freeze.
-
貨期:Basically, we can dispatch the products out in 1-3 working days after receiving your orders. Delivery time maybe differs from different purchasing way or location, please kindly consult your local distributors for specific delivery time.
-
用途:For Research Use Only. Not for use in diagnostic or therapeutic procedures.
相關產品
靶點詳情
-
功能:Granulocyte/macrophage colony-stimulating factors are cytokines that act in hematopoiesis by controlling the production, differentiation, and function of 2 related white cell populations of the blood, the granulocytes and the monocytes-macrophages.; This CSF induces granulocytes, macrophages, mast cells, stem cells, erythroid cells, eosinophils and megakaryocytes.
-
基因功能參考文獻:
- IL-3 may be involved in the immediate memory deficits in the chronic phase of schizophrenia. PMID: 29554544
- The present study demonstrates for the first time that IL-3 has an important role in enhancing the migration of human MSCs through regulation of the CXCR4/SDF-1alpha axis. These findings suggest a potential role of IL-3 in improving the efficacy of MSCs in regenerative cell therapy. PMID: 28705238
- These results indicate that IL-3 regulates endothelial cells-extracellular vesicles release, cargo and IL-3 angiogenic paracrine action via STAT5. PMID: 27157262
- T-GM-CSF and -IL-3 significantly, and reciprocally, blunted receptor binding and myeloid progenitor cell proliferation activity of both FL-GM-CSF and -IL-3 in vitro and in vivo PMID: 28344320
- Results show that IL-3 induces several signaling pathways associated with increased cell survival under oxidative stress. This activity correlates with previous fi ndings indicating glucose uptake stimulation by IL-3, which together contribute to an emerging picture of a broader mechanism promoting cell survival. PMID: 27862234
- The IL-3/ GM-CSF effected on the myofibroblastic differentiation of human adipose derive stromal cells (hASCs) as well as it did on human dermal fibroblasts (HDFs). PMID: 28377320
- Genetically engineered mesenchymal stromal cells produce IL-3 and TPO to further improve human scaffold-based xenograft models PMID: 28456746
- IL-3 hardly down-regulates the alpha-chain of its receptor without depleting the common beta-chain, which enables extraordinarily sustained signaling events, predominantly the activation of Stat5. PMID: 27443880
- genetic polymorphisms in the immune genes IL-3 rs181781 and CTLA4 rs4553808 may influence the TAC dose-adjusted concentrations PMID: 28112181
- Our results indicated that the IL-3 and IL-13 polymorphisms were not associated with rheumatoid arthritis (RA). stratification analyses suggested that the IL-13 rs1800925 CT and CT/CC genotypes increased the risk of RA in patients with erythrocyte sedimentation rate (ESR) <25.00. these findings suggest that the IL-13 rs1800925 C/T polymorphism may be associated with increased risk of RA in ESR PMID: 27323078
- results suggest that IL-3 and IL-12p40 could be considered as molecular predictors for recurrent wheezing due to RSV infection PMID: 26299549
- results suggest that IL3 is an important genetic regulator for human brain volume variation and implied that IL3 might have experienced weak or modest positive selection in the evolutionary history of humans PMID: 26875095
- Thymic stromal lymphopoietin activation of basophils in patients with allergic asthma is IL-3 dependent PMID: 25962901
- were not able to confirm the association of IL-3 SNPs with schizophrenia. PMID: 26277822
- findings showed that high plasma IL-3 levels are associated with high mortality in sepsis PMID: 25766237
- Genetic variation in interleukin-3 gene is associated with breast cancer risk. PMID: 24670917
- results suggest that HuR recognizes the ARE-rich region in the IL-3 3'-UTR and plays a role in the IL-3 3'-UTR-mediated post-transcriptional control in T-cells PMID: 24658545
- A single nucleotide polymorphism (SNP; rs20541) in the IL-13 gene has been recognized as a risk factor for asthma. PMID: 23978640
- This study is the first to link beta-catenin activation to IL-3 and suggests that targeting IL-3 signaling may be an effective approach for the inhibition of beta-catenin activity in some patients with AML. PMID: 24598054
- IL3 SNP rs40401 is significantly associated with the risk of asthma in young adult Japanese women. PMID: 24684517
- This is the first study to show a significant positive association between IL3 SNP rs40401 variant and the risk of rhinoconjunctivitis. PMID: 23953855
- IL3 rs2073506 G>A polymorphism is associated with an increased risk for esophageal cancer of nodal and metastatic stages. PMID: 23726808
- Genetic variation in the IL3 promoter affects human brain volume by regulating proliferation and survival of neural progenitors. PMID: 23226269
- Transgenic mice are used to study the developmental regulation of the closely linked IL-3 and granulocyte-macrophage colony stimulting factor (GM-CSF) locus and to identify DNA enhancer elements required for its correct activity in vivo. PMID: 23024272
- data indicate that within microenvironments rich in betac-family cytokines and TNF, eosinophils are a source of proMMP-9 and highlight a previously unrecognized role for synergistic interaction between TNF and betac-family cytokinea, for proMMP-9 synthesis PMID: 22321809
- This study demonistrated that Carriers of the minor allele for a single nucleotide polymorphism in IL13 (rs1295686) were more likely to report breast pain prior to surgery (P = .019). PMID: 22515947
- an IL-3 autocrine loop can drive a tumor endothelial switch and that targeting IL-3 might confer a significant therapeutic advantage to hamper tumor angiogenesis PMID: 21643009
- IL-3 provides cellular protection against amyloid-beta neurotoxicity in primary cortical neuronal cells and may play a neuroprotective role in Alzheimer's disease. PMID: 20964623
- The IL3 genotypes rs40401 and rs40401 were found to exert a protective effect against malaria attacks. PMID: 21224257
- Data indicate a role for PLCgamma2 and Ca(2+) signaling through the modulation of MEK/ERK in IL3/GM-csf stimulated human hematopoietic stem/progenitor cells. PMID: 21506110
- The interaction of 6-locus from the 5 interleukin genes might confer higher risk for graves'disease and Graves'ophthalmopathy than single risk allele. PMID: 20332709
- IL-3 genotypes of 60 acute rejection (AR) subjects and the 270 patients without AR demonstrated a significant relationship between genotype frequencies and the SNPs PMID: 21168724
- Human IL-3/GM-CSF knock-in mice support human alveolar macrophage development and human immune responses in the lung. PMID: 21262803
- propose that RhoH functions as a negative regulator for IL3-induced signals through modulation of the JAK-STAT pathway PMID: 20738848
- the domain 1 D-E loop disulfide of hbetac and beta(IL-3) in maintaining the precise positions of ligand-binding residues necessary for normal high affinity binding and signaling PMID: 20516062
- Two different modes of beta c binding are utilized in the presence of the hIL-3R alpha isoforms. PMID: 20472554
- a novel role for VPA in enhancing the potential of IL-3 to stimulate megakaryopoiesis as well as erythropoiesis PMID: 20381581
- The IL-3/GM-CSF locus undergoes progressive stages of activation, with stepwise increases in active modifications and the proportion of cytokine-expressing cells, throughout the course of T cell differentiation. PMID: 20147630
- IL-3 and oncogenic Abl regulate the myeloblast transcriptome by altering mRNA stability PMID: 19829692
- binding kinetics of native IL-3 and several variants to IL-3 receptor PMID: 11700046
- IL-3 induces MHC class II and B7.2 expression on eosinophils and renders them capable of supporting T cell proliferation to superantigen and antigen-derived peptides. PMID: 11714768
- inhibition of signaling by antisense oligodeoxynucleotides targeting the common beta chain of receptors PMID: 11763346
- ectopically expressed in myeloid leukemic cells with t(5;12)(q31;p13), suggesting that expression of IL3 was deregulated by the translocation, indicating a variant leukemogenic mechanism for translocations involving the 5' end of ETV6 PMID: 11861295
- Antiapoptotic cytokine IL-3 + SCF + FLT3L influence on proliferation of gamma-irradiated AC133+/CD34+ progenitor cells. PMID: 12002675
- Monocytes cultured in the presence of IL-3 (plus IL-4) differentiate into dendritic cells that produce less IL-12 and shift T helper (Th) cell responses toward a Th2 cytokine pattern. PMID: 12055233
- Data suggest that increased activity of mutated interleukin 3 is due to a change from a rare ligand to a common one, allowing the increase in IL-3-dependent signaling. PMID: 12093816
- role in potentiating hematopoietic cell migration PMID: 12135758
- The IL-3 gene is regulated by two enhancers that have distinct but overlapping tissue specificities. PMID: 12165512
- WEHI-3B-derived IL-3 stimulation of mcl-1 gene transcription through the SIE motif involves phosphorylation of PU.1 at serine 142 by a p38(MAPK)-dependent pathway. PMID: 12612065
- Incubation of eosinophils with IL-3 leads to reduced expression of IL-5R alpha which is sustained for up to 5 days; in contrast, expression of IL-3R alpha is increased by IL-3, whereas GM-CSF receptor alpha expression in eosinophils is unaffected by IL-3. PMID: 12759409
顯示更多
收起更多
-
亞細胞定位:Secreted.
-
蛋白家族:IL-3 family
-
組織特異性:Activated T-cells, mast cells, natural killer cells.
-
數據庫鏈接:
Most popular with customers
-
-
YWHAB Recombinant Monoclonal Antibody
Applications: ELISA, WB, IHC, IF, FC
Species Reactivity: Human, Mouse, Rat
-
Phospho-YAP1 (S127) Recombinant Monoclonal Antibody
Applications: ELISA, WB, IHC
Species Reactivity: Human
-
-
-
-
-















