IPO8 Antibody
-
中文名稱:IPO8兔多克隆抗體
-
貨號:CSB-PA547383
-
規格:¥1100
-
圖片:
-
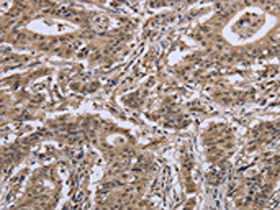
The image on the left is immunohistochemistry of paraffin-embedded Human gastic cancer tissue using CSB-PA547383(IPO8 Antibody) at dilution 1/50, on the right is treated with synthetic peptide. (Original magnification: ×200)
-
The image on the left is immunohistochemistry of paraffin-embedded Human esophagus cancer tissue using CSB-PA547383(IPO8 Antibody) at dilution 1/50, on the right is treated with synthetic peptide. (Original magnification: ×200)
-
-
其他:
產品詳情
-
Uniprot No.:
-
基因名:IPO8
-
別名:FLJ26580 antibody; Imp 8 antibody; Imp8 antibody; Importin-8 antibody; Importin8 antibody; IPO 8 antibody; IPO8 antibody; IPO8_HUMAN antibody; Ran binding protein 8 antibody; RAN BP8 antibody; Ran-binding protein 8 antibody; RANBP 8 antibody; RanBP8 antibody
-
宿主:Rabbit
-
反應種屬:Human,Mouse
-
免疫原:Synthetic peptide of Human IPO8
-
免疫原種屬:Homo sapiens (Human)
-
標記方式:Non-conjugated
-
抗體亞型:IgG
-
純化方式:Antigen affinity purification
-
濃度:It differs from different batches. Please contact us to confirm it.
-
保存緩沖液:-20°C, pH7.4 PBS, 0.05% NaN3, 40% Glycerol
-
產品提供形式:Liquid
-
應用范圍:ELISA,IHC
-
推薦稀釋比:
Application Recommended Dilution ELISA 1:2000-1:10000 IHC 1:100-1:300 -
Protocols:
-
儲存條件:Upon receipt, store at -20°C or -80°C. Avoid repeated freeze.
-
貨期:Basically, we can dispatch the products out in 1-3 working days after receiving your orders. Delivery time maybe differs from different purchasing way or location, please kindly consult your local distributors for specific delivery time.
-
用途:For Research Use Only. Not for use in diagnostic or therapeutic procedures.
相關產品
靶點詳情
-
功能:Seems to function in nuclear protein import, either by acting as autonomous nuclear transport receptor or as an adapter-like protein in association with the importin-beta subunit KPNB1. Acting autonomously, is thought to serve itself as receptor for nuclear localization signals (NLS) and to promote translocation of import substrates through the nuclear pore complex (NPC) by an energy requiring, Ran-dependent mechanism. At the nucleoplasmic side of the NPC, Ran binds to importin, the importin/substrate complex dissociates and importin is re-exported from the nucleus to the cytoplasm where GTP hydrolysis releases Ran. The directionality of nuclear import is thought to be conferred by an asymmetric distribution of the GTP- and GDP-bound forms of Ran between the cytoplasm and nucleus. In vitro mediates the nuclear import of SRP19.
-
基因功能參考文獻:
- the findings of the present study provided novel insights into the control of IPO8 transcription, and may enhance understanding regarding RUNX2 regulatory mechanisms in osteoblast differentiation, bone development, and degenerative bone disease. PMID: 27277970
- Our studies also suggest that nuclear entry is important for the prooncogenic activity of eIF4E, at least in this context. These findings position nuclear trafficking of eIF4E as a critical step in its regulation and position the importin 8-eIF4E complex as a novel therapeutic target. PMID: 27114554
- importin alpha8 functions as a cNLS receptor with distinct cargo specificity, and that heterodimerization by importin alpha8 is a novel regulatory mode of cNLS binding, in addition to the autoinhibitory regulation by the importin beta binding domain. PMID: 26220098
- Knockdown of IPO8 reduced the amount of nuclear p65 following TNF stimulation. IPO8 binding to p65 is NLS independent. PMID: 23906023
- TGF-beta-induced and basal state spontaneous nuclear import of Smad4 require importin 7 and 8. PMID: 18519565
- IPO8 is the most accurate reference gene for clinical lung specimens. PMID: 19014639
- Study provides evidence that Imp8 is required for cytoplasmic miRNA-guided gene silencing and affects nuclear localization of Ago proteins. PMID: 19167051
顯示更多
收起更多
-
亞細胞定位:Cytoplasm. Nucleus.
-
蛋白家族:Importin beta family
-
數據庫鏈接:
Most popular with customers
-
-
YWHAB Recombinant Monoclonal Antibody
Applications: ELISA, WB, IHC, IF, FC
Species Reactivity: Human, Mouse, Rat
-
Phospho-YAP1 (S127) Recombinant Monoclonal Antibody
Applications: ELISA, WB, IHC
Species Reactivity: Human
-
-
-
-
-















