ITGB1 Antibody
-
中文名稱:ITGB1兔多克隆抗體
-
貨號:CSB-PA245433
-
規格:¥1100
-
圖片:
-
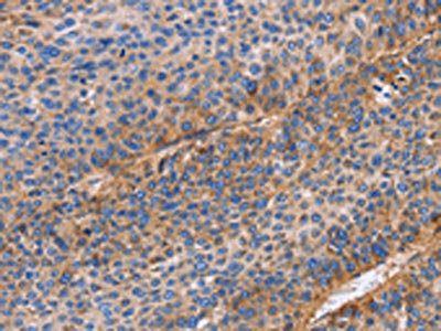
The image on the left is immunohistochemistry of paraffin-embedded Human liver cancer tissue using CSB-PA245433(ITGB1 Antibody) at dilution 1/60, on the right is treated with fusion protein. (Original magnification: ×200)
-
The image on the left is immunohistochemistry of paraffin-embedded Human colon cancer tissue using CSB-PA245433(ITGB1 Antibody) at dilution 1/60, on the right is treated with fusion protein. (Original magnification: ×200)
-
Gel: 6%SDS-PAGE, Lysate: 40 μg, Lane 1-2: A172 cells, human leiomyosarcoma tissue, Primary antibody: CSB-PA245433(ITGB1 Antibody) at dilution 1/600, Secondary antibody: Goat anti rabbit IgG at 1/8000 dilution, Exposure time: 40 seconds
-
-
其他:
產品詳情
-
Uniprot No.:
-
基因名:
-
別名:ITGB1; FNRB; MDF2; MSK12; Integrin beta-1; Fibronectin receptor subunit beta; Glycoprotein IIa; GPIIA; VLA-4 subunit beta; CD antigen CD29
-
宿主:Rabbit
-
反應種屬:Human,Mouse,Rat
-
免疫原:Fusion protein of Human ITGB1
-
免疫原種屬:Homo sapiens (Human)
-
標記方式:Non-conjugated
-
抗體亞型:IgG
-
純化方式:Antigen affinity purification
-
濃度:It differs from different batches. Please contact us to confirm it.
-
保存緩沖液:-20°C, pH7.4 PBS, 0.05% NaN3, 40% Glycerol
-
產品提供形式:Liquid
-
應用范圍:ELISA,WB,IHC
-
推薦稀釋比:
Application Recommended Dilution ELISA 1:1000-1:5000 WB 1:500-1:2000 IHC 1:50-1:200 -
Protocols:
-
儲存條件:Upon receipt, store at -20°C or -80°C. Avoid repeated freeze.
-
貨期:Basically, we can dispatch the products out in 1-3 working days after receiving your orders. Delivery time maybe differs from different purchasing way or location, please kindly consult your local distributors for specific delivery time.
-
用途:For Research Use Only. Not for use in diagnostic or therapeutic procedures.
相關產品
靶點詳情
-
功能:Integrins alpha-1/beta-1, alpha-2/beta-1, alpha-10/beta-1 and alpha-11/beta-1 are receptors for collagen. Integrins alpha-1/beta-1 and alpha-2/beta-2 recognize the proline-hydroxylated sequence G-F-P-G-E-R in collagen. Integrins alpha-2/beta-1, alpha-3/beta-1, alpha-4/beta-1, alpha-5/beta-1, alpha-8/beta-1, alpha-10/beta-1, alpha-11/beta-1 and alpha-V/beta-1 are receptors for fibronectin. Alpha-4/beta-1 recognizes one or more domains within the alternatively spliced CS-1 and CS-5 regions of fibronectin. Integrin alpha-5/beta-1 is a receptor for fibrinogen. Integrin alpha-1/beta-1, alpha-2/beta-1, alpha-6/beta-1 and alpha-7/beta-1 are receptors for lamimin. Integrin alpha-6/beta-1 (ITGA6:ITGB1) is present in oocytes and is involved in sperm-egg fusion. Integrin alpha-4/beta-1 is a receptor for VCAM1. It recognizes the sequence Q-I-D-S in VCAM1. Integrin alpha-9/beta-1 is a receptor for VCAM1, cytotactin and osteopontin. It recognizes the sequence A-E-I-D-G-I-E-L in cytotactin. Integrin alpha-3/beta-1 is a receptor for epiligrin, thrombospondin and CSPG4. Alpha-3/beta-1 may mediate with LGALS3 the stimulation by CSPG4 of endothelial cells migration. Integrin alpha-V/beta-1 is a receptor for vitronectin. Beta-1 integrins recognize the sequence R-G-D in a wide array of ligands. When associated with alpha-7 integrin, regulates cell adhesion and laminin matrix deposition. Involved in promoting endothelial cell motility and angiogenesis. Involved in osteoblast compaction through the fibronectin fibrillogenesis cell-mediated matrix assembly process and the formation of mineralized bone nodules. May be involved in up-regulation of the activity of kinases such as PKC via binding to KRT1. Together with KRT1 and RACK1, serves as a platform for SRC activation or inactivation. Plays a mechanistic adhesive role during telophase, required for the successful completion of cytokinesis. Integrin alpha-3/beta-1 provides a docking site for FAP (seprase) at invadopodia plasma membranes in a collagen-dependent manner and hence may participate in the adhesion, formation of invadopodia and matrix degradation processes, promoting cell invasion. ITGA4:ITGB1 binds to fractalkine (CX3CL1) and may act as its coreceptor in CX3CR1-dependent fractalkine signaling. ITGA4:ITGB1 and ITGA5:ITGB1 bind to PLA2G2A via a site (site 2) which is distinct from the classical ligand-binding site (site 1) and this induces integrin conformational changes and enhanced ligand binding to site 1. ITGA5:ITGB1 acts as a receptor for fibrillin-1 (FBN1) and mediates R-G-D-dependent cell adhesion to FBN1. ITGA5:ITGB1 is a receptor for IL1B and binding is essential for IL1B signaling. ITGA5:ITGB3 is a receptor for soluble CD40LG and is required for CD40/CD40LG signaling.; Interferes with isoform 1 resulting in a dominant negative effect on cell adhesion and migration (in vitro).; Isoform 5 displaces isoform 1 in striated muscles.; (Microbial infection) Integrin ITGA2:ITGB1 acts as a receptor for Human echoviruses 1 and 8.; (Microbial infection) Acts as a receptor for Cytomegalovirus/HHV-5.; (Microbial infection) Acts as a receptor for Epstein-Barr virus/HHV-4.; (Microbial infection) Integrin ITGA5:ITGB1 acts as a receptor for Human parvovirus B19.; (Microbial infection) Integrin ITGA2:ITGB1 acts as a receptor for Human rotavirus.; (Microbial infection) Acts as a receptor for Mammalian reovirus.; (Microbial infection) In case of HIV-1 infection, integrin ITGA5:ITGB1 binding to extracellular viral Tat protein seems to enhance angiogenesis in Kaposi's sarcoma lesions.; (Microbial infection) Interacts with CotH proteins expressed by fungi of the order mucorales, the causative agent of mucormycosis, which plays an important role in epithelial cell invasion by the fungi. Integrin ITGA3:ITGB1 may act as a receptor for R.delemar CotH7 in alveolar epithelial cells, which may be an early step in pulmonary mucormycosis disease progression.
-
基因功能參考文獻:
- Study shows that ITGB1-dependent upregulation of caveolin-1 (CAV1) switches TGFbeta signalling from tumour-suppressive to oncogenic in prostate cancer. work suggests TGFbeta signalling and beta1 integrins as potential therapeutic targets in prostate cancer over-expressing CAV1, and contributes to better understand the paradoxical dual role of TGFbeta in tumour biology. PMID: 29402961
- results showed that CAV-1 could promote anchorage-independent growth and anoikis resistance in detached SGC-7901 cells, which was associated with the activation of Src-dependent epidermal growth factor receptor-integrin beta signaling as well as the phosphorylation of PI3K/Akt and MEK/ERK signaling pathways PMID: 30088837
- A negative association between the ITGB1 and miR-183-5p was found, and the gene expressions of ITGB1 was mediated by miR-183-5p in cervical cancer cells. CONCLUSIONS miR-183-5p serves as a latent anti-oncogene by targeting the metastasis-promoter gene, ITGB1. PMID: 30293085
- the results presented herein indicate that NRP1 exerts tumor suppressive effects in NB, at least in part by regulating the expression of beta1 integrin PMID: 29750423
- beta1 integrin mediated multicellular drug resistance through the FAK/Akt pathway in hepatocellular carcinoma spheroids. PMID: 29332411
- beta1 integrin expression in oral squamous cell carcinoma was observed both in central and peripheral cells and ranged from 17%-85% PMID: 29113685
- This study shows that PPFIA1 is required for FN polymerization-dependent vascular morphogenesis, both in vitro and in the developing zebrafish embryo. PMID: 27876801
- These results revealed that b3GnT8 may play a key role in the development of oxaliplatin resistance in colon cancer cells possibly through the alteration of the glycosylation of integrin beta1. These findings may be valuable for overcoming drug resistance in colon cancer PMID: 29393491
- MUC4/X facilitated pancreatic cancer (PC) tumorigenesis via integrin-beta1/FAK/ERK signaling pathway. Overall, these findings revealed the novel role of MUC4/X in promoting and sustaining the oncogenic features of PC. PMID: 29777904
- Ionizing radiation, as an extrinsic stressor, causes the separation of beta1 integrins from cholesterol lipid raft suggesting that the effects of ionizing radiation on the clustering of beta1 integrins are lipid-raft independent PMID: 29208031
- linc-ITGB1 be a potential biomarker in the prognosis of breast cancer PMID: 28829502
- High Integrin beta1 expression is associated with pancreatic cancer metastasis. PMID: 28560430
- The results suggest that binding of S100A6 to integrin beta1 affects cell adhesion/proliferation due to activation of ILK and FAK signaling pathways. PMID: 29020611
- findings indicate a novel role for JAK2-V617F in activation of beta1 integrins and enhanced adhesion of granulocytes and 32D myeloid progenitors to VCAM1-coated surfaces PMID: 28096537
- GAL3 activates pancreatic stellate cells to produce inflammatory cytokines via ITGB1signaling to ILK and activation of NF-kappaB in pancreatic tumors. PMID: 29274868
- Vps3 and Vps8 are required for recycling of beta1 integrins. PMID: 29476049
- our findings firstly indicate that miR-493-5p levels may play an essential role in NSCLC progression by targeting oncogene ITGB1 suggesting that ITGB1 and miR-493-5p have potential prognostic value as tumor biomarkers in NSCLC patients. PMID: 28537888
- After running the algorithm on two data sets [triple-negative breast cancer, (TNBC), and estrogen receptor-negative breast cancer, (ERNBC)], we conclude that EpCAM and beta1 integrin are enough to accurately predict TNBC stage, being ALDH1, CD24, CD61, and CK5 the necessary markers to exactly predict ERNBC stage. PMID: 28714035
- we observed that FRZB regulates integrin beta1D expression, its silencing increasing integrin beta1D expression to levels similar to those in controls. PMID: 28300015
- high Bgn expression levels promote a more dense collagen architecture, leading to increased tissue stiffness. This increased tissue stiffness leads to higher integrin-beta1 expression on melanoma cells, which promotes their invasiveness. PMID: 28476030
- GnT-IVa may contribute to the malignancy of choriocarcinoma by promoting cell adhesion, migration and invasion through glycosylation of integrin beta1 and LAMP-2. PMID: 28534963
- These results highlight the importance of integrin-beta1 for the migration of metastatic breast cancer cells by effectively silencing this target with a practical dose of siRNA. PMID: 28160423
- High expression of ITGB1 is correlated with metastatic triple negative breast cancer. PMID: 27563827
- miR-183 suppressed cell growth by inhibiting ITGB1 signal pathway and MALAT1 promoted melanoma growth by acting as a ceRNA of miR-183 in melanoma. PMID: 27966454
- Our study suggests that FOXM1 transcription factor regulates Integrin b1 gene expression and that FOXM1/ Integrin-b1/FAK axis may play an important role in the progression of Triple-negative breast cancer PMID: 28361350
- this study indicates that beta1-integrin proteins are linked to prognosis and therefore could be therapeutic targets in conventional osteosarcomas PMID: 27608849
- SDF-1 upregulates the number of adherent tumor cells by responding to matrix stiffness via promoting the expression of integrin beta1, which is abolished by blocking of integrin beta1. These results may provide a novel point of view for the mechanism of "organ specificity" phenomenon in tumor metastasis, which in turn contribute to a rational development of new drugs for cancer PMID: 28478797
- We demonstrate that ANGPT2 signaling activated after estrogen depletion paradoxically triggers ER+ tumor cell awakening from dormancy in their BM niche, partly indirectly via endothelial Tie2 receptor and partly directly via tumor cell surface integrin &1. PMID: 27353038
- Data show that beta1 integrins containing an extracellular pH-sensitive pHluorin tag allow direct visualization of integrin exocytosis in live cells and targeted delivery of integrin to focal adhesions. PMID: 28924207
- Our data suggest a previously unanticipated link between CAS and integrin beta1 signaling which correlates with an aggressive hepatocellular carcinoma phenotype. PMID: 27015362
- focal adhesion kinase (FAK) transduces integrin activation and supports Human embryonic stem cell survival, substrate adhesion, and maintenance of the undifferentiated state. PMID: 27509133
- Data show that the interaction of beta1 integrins with hERG1 channels in cancer cells stimulated distinct signaling pathways that depended on the conformational state of hERG1 and affected different aspects of tumor progression. PMID: 28377405
- Blood estradiol and progesterone levels and integrin beta3 and beta1 expression levels in uterine biopsy samples should be considered as biomarkers for evaluating uterine receptivity and determining the optimal time for embryo transfer. PMID: 27782833
- These data outline a new signaling mechanism by which KCa1.1 regulates beta1-integrin function and therefore invasiveness of rheumatoid arthritis fibroblast-like synoviocytes (RA-FLSs). PMID: 28428266
- The suppression of Oct4A in HEY cells resulted in a significant diminution of integrin beta1 expression and associated alpha5 and alpha2 subunits compared to vector control cells. PMID: 27390927
- sp(2) -Iminosugar alpha-glucosidase inhibitor 1-C-octyl-2-oxa-3-oxocastanospermine inhibits breast cancer cell migration via beta1-integrin, Stim1, and FAK signaling pathways. PMID: 28145580
- beta1-integrin expression is regulated in pancreatic and colon cancer cells by the pro-oncogenic orphan nuclear receptor 4A1 PMID: 28418095
- membrane-proximal N-glycosylation is critical for intermolecular interactions between integrin beta1 and other cell membrane proteins, such as syndecan-4 and epidermal growth factor receptor. Moreover, alpha2,6-sialylation is required for beta1 activation PMID: 27565712
- High ITGB1 expression is associated with lung metastasis in ovarian cancer. PMID: 27524413
- the loss of MUC16 and E-cadherin expression resulted in the formation of more compact spheroids. In addition, our data describe an unusual link between E-cadherin expression and less compact spheroids. Our data also emphasize the role of MUC16 and b1 integrin in Epithelial ovarian cancer (EOC) spheroid formation. PMID: 27612856
- the transcription regulators YAP and TAZ localise to the nucleus in the basal layer of skin and are elevated upon wound healing. PMID: 26989177
- Integrin beta1 appears to serve as a partner of Stathmin induction of ERK and Akt signaling by inhibiting apoptosis in the cholangiocarcinoma cell. PMID: 28178656
- CXCL1 secreted by tumor-associated lymphatic endothelial cells promotes lymph node metastasis of gastric cancer through integrin beta1/FAK/AKT signaling pathway. PMID: 27832972
- Data indicate a regulatory role for tetraspanin 8 (Tspan8) in melanoma progression by modulating cell-matrix interactions through beta1 integrin - integrin-linked kinase (ILK) axis and establish Tspan8 as a negative regulator of ILK activity. PMID: 28188308
- Result showed that exposure of Peripheral Blood-Mesenchymal Stem Cells (PB-MSCs) to Noggin was associated with changes in pattern of CD29/CD184 expression. The expression profile of CD29(+/-)/CD184(-) can be suggested as a robust signature for tracing differentiation of PB-MSCs into neuronal cells. PMID: 27478015
- SHANK1 and SHANK3 act as integrin activation inhibitors by sequestering active Rap1 and R-Ras via the SPN domain and thus limiting their bioavailability at the plasma membrane. PMID: 28263956
- nuclear-cytoplasmic shuttling of ICAP1 influences both integrin activation and KRIT1 localization, presumably impacting nuclear functions of KRIT1. PMID: 28003363
- The main significance of this work is the discovery of EPO as a novel ligand for the HER2 receptor. Following HER2 activation, EPO induces activation of FAK and subsequent activation of beta1-integrin, via inside-out signaling. This complex results in downstream activation of ERK1/2 and a sustained up regulation of both MUC4 and the HER2 receptor PMID: 27519953
- we observed that PRL-3 regulated the clustering of integrin beta1 in FAs on collagen I but not on fibronectin. This work identifies PRL-3 as a new regulator of cell adhesion structures to the extracellular matrix, and further supports PRL-3 as a key actor of metastasis in uveal melanoma, of which molecular mechanisms are still poorly understood PMID: 28284838
- Study demonstrates that MARVELD1-mediated balance of integrin beta1 and beta4 regulates cell surface ultrastructure and epithelial-mesenchymal transition phenotype of non-small cell lung cancer (NSCLC). PMID: 26509557
顯示更多
收起更多
-
亞細胞定位:Cell membrane; Single-pass type I membrane protein. Cell projection, invadopodium membrane; Single-pass type I membrane protein. Cell projection, ruffle membrane; Single-pass type I membrane protein. Recycling endosome. Melanosome. Cleavage furrow. Cell projection, lamellipodium. Cell projection, ruffle. Cell junction, focal adhesion. Cell surface.; [Isoform 5]: Cell membrane, sarcolemma. Cell junction.
-
蛋白家族:Integrin beta chain family
-
組織特異性:[Isoform 1]: Widely expressed, other isoforms are generally coexpressed with a more restricted distribution.; [Isoform 2]: Expressed in skin, liver, skeletal muscle, cardiac muscle, placenta, umbilical vein endothelial cells, neuroblastoma cells, lymphoma
-
數據庫鏈接:
Most popular with customers
-
-
YWHAB Recombinant Monoclonal Antibody
Applications: ELISA, WB, IHC, IF, FC
Species Reactivity: Human, Mouse, Rat
-
Phospho-YAP1 (S127) Recombinant Monoclonal Antibody
Applications: ELISA, WB, IHC
Species Reactivity: Human
-
-
-
-
-















