ITPK1 Antibody
-
中文名稱:ITPK1兔多克隆抗體
-
貨號:CSB-PA613412ESR2HU
-
規格:¥440
-
圖片:
-
Western blot
All lanes: ITPK1 antibody at 3.58µg/ml
Lane 1: Hela whole cell lysate
Lane 2: HepG2 whole cell lysate
Lane 3: A431 whole cell lysate
Secondary
Goat polyclonal to rabbit IgG at 1/10000 dilution
Predicted band size: 46, 36 kDa
Observed band size: 46 kDa -
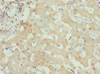
Immunohistochemistry of paraffin-embedded human liver tissue using CSB-PA613412ESR2HU at dilution of 1:100
-
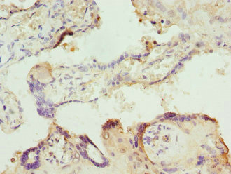
Immunohistochemistry of paraffin-embedded human placenta tissue using CSB-PA613412ESR2HU at dilution of 1:100
-
-
其他:
產品詳情
-
產品名稱:Rabbit anti-Homo sapiens (Human) ITPK1 Polyclonal antibody
-
Uniprot No.:
-
基因名:
-
別名:3 antibody; 4)P(3) 5/6-kinase antibody; 4-trisphosphate 5/6-kinase antibody; Inositol 1 3 4 triphosphate 5/6 kinase antibody; Inositol 1 3 4 trisphosphate 5/6 kinase antibody; Inositol 1 antibody; Inositol tetrakisphosphate 1 kinase antibody; Inositol triphosphate 5/6 kinase antibody; Inositol-tetrakisphosphate 1-kinase antibody; Inositol-triphosphate 5/6-kinase antibody; Ins(1 3 4)P(3) 5/6 kinase antibody; Ins(1 antibody; ITPK 1 antibody; itpk1 antibody; ITPK1_HUMAN antibody; ITRPK 1 antibody; ITRPK1 antibody
-
宿主:Rabbit
-
反應種屬:Human
-
免疫原:Recombinant Human Inositol-tetrakisphosphate 1-kinase protein (185-414AA)
-
免疫原種屬:Homo sapiens (Human)
-
標記方式:Non-conjugated
-
克隆類型:Polyclonal
-
抗體亞型:IgG
-
純化方式:Antigen Affinity Purified
-
濃度:It differs from different batches. Please contact us to confirm it.
-
保存緩沖液:PBS with 0.02% sodium azide, 50% glycerol, pH7.3.
-
產品提供形式:Liquid
-
應用范圍:ELISA, WB, IHC
-
推薦稀釋比:
Application Recommended Dilution WB 1:1000-1:5000 IHC 1:20-1:200 -
Protocols:
-
儲存條件:Upon receipt, store at -20°C or -80°C. Avoid repeated freeze.
-
貨期:Basically, we can dispatch the products out in 1-3 working days after receiving your orders. Delivery time maybe differs from different purchasing way or location, please kindly consult your local distributors for specific delivery time.
-
用途:For Research Use Only. Not for use in diagnostic or therapeutic procedures.
相關產品
靶點詳情
-
功能:Kinase that can phosphorylate various inositol polyphosphate such as Ins(3,4,5,6)P4 or Ins(1,3,4)P3. Phosphorylates Ins(3,4,5,6)P4 at position 1 to form Ins(1,3,4,5,6)P5. This reaction is thought to have regulatory importance, since Ins(3,4,5,6)P4 is an inhibitor of plasma membrane Ca(2+)-activated Cl(-) channels, while Ins(1,3,4,5,6)P5 is not. Also phosphorylates Ins(1,3,4)P3 on O-5 and O-6 to form Ins(1,3,4,6)P4, an essential molecule in the hexakisphosphate (InsP6) pathway. Also acts as an inositol polyphosphate phosphatase that dephosphorylate Ins(1,3,4,5)P4 and Ins(1,3,4,6)P4 to Ins(1,3,4)P3, and Ins(1,3,4,5,6)P5 to Ins(3,4,5,6)P4. May also act as an isomerase that interconverts the inositol tetrakisphosphate isomers Ins(1,3,4,5)P4 and Ins(1,3,4,6)P4 in the presence of ADP and magnesium. Probably acts as the rate-limiting enzyme of the InsP6 pathway. Modifies TNF-alpha-induced apoptosis by interfering with the activation of TNFRSF1A-associated death domain. Plays an important role in MLKL-mediated necroptosis. Produces highly phosphorylated inositol phosphates such as inositolhexakisphosphate (InsP6) which bind to MLKL mediating the release of an N-terminal auto-inhibitory region leading to its activation. Essential for activated phospho-MLKL to oligomerize and localize to the cell membrane during necroptosis.
-
基因功能參考文獻:
- The results suggested that the maternal rs3783903 of ITPK1 might be associated with spina bifida, and the allele G of rs3783903 might affect the binding of AP-1 and the decrease of maternal plasma inositol hexakisphosphate concentration. PMID: 24465924
- Activation of PLC by an endogenous cytokine (GBP) in Drosophila S3 cells and its application as a model for studying inositol phosphate signalling through ITPK1. PMID: 22928859
- HEK293 cells stably expressing acetylated ITPK1 had reduced levels of the higher phosphorylated forms of inositol, compared with the levels seen in cells expressing unacetylated ITPK1 PMID: 22308441
- 5/6-kinase modifies TNFalpha-induced apoptosis by interfering with the activation of TNF-R1-associated death domain PMID: 12925536
- analysis of inositol phosphate signaling pathway integration via human ITPK1 PMID: 17616525
顯示更多
收起更多
-
蛋白家族:ITPK1 family
-
組織特異性:Expressed in brain > heart > skeletal muscle = kidney = pancreas = liver = placenta > lung. In brain, it is expressed in cerebellum, cerebral cortex, medulla, spinal cord, occipital lobe, frontal lobe, temporal lobe and putamen.
-
數據庫鏈接:
Most popular with customers
-
-
YWHAB Recombinant Monoclonal Antibody
Applications: ELISA, WB, IHC, IF, FC
Species Reactivity: Human, Mouse, Rat
-
Phospho-YAP1 (S127) Recombinant Monoclonal Antibody
Applications: ELISA, WB, IHC
Species Reactivity: Human
-
-
-
-
-















