KBTBD7 Antibody
-
中文名稱:KBTBD7兔多克隆抗體
-
貨號:CSB-PA823893LA01HU
-
規格:¥440
-
圖片:
-
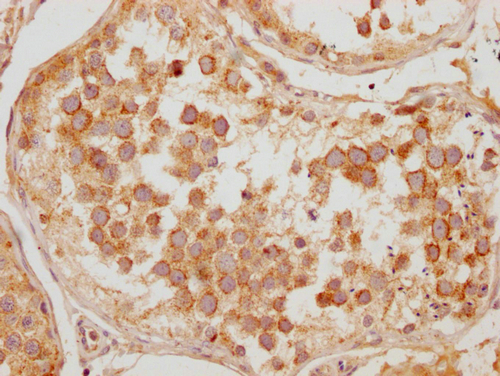
IHC image of CSB-PA823893LA01HU diluted at 1:200 and staining in paraffin-embedded human testis tissue performed on a Leica BondTM system. After dewaxing and hydration, antigen retrieval was mediated by high pressure in a citrate buffer (pH 6.0). Section was blocked with 10% normal goat serum 30min at RT. Then primary antibody (1% BSA) was incubated at 4°C overnight. The primary is detected by a Goat anti-rabbit polymer IgG labeled by HRP and visualized using 0.05% DAB.
-
IHC image of CSB-PA823893LA01HU diluted at 1:200 and staining in paraffin-embedded human brain tissue performed on a Leica BondTM system. After dewaxing and hydration, antigen retrieval was mediated by high pressure in a citrate buffer (pH 6.0). Section was blocked with 10% normal goat serum 30min at RT. Then primary antibody (1% BSA) was incubated at 4°C overnight. The primary is detected by a Goat anti-rabbit polymer IgG labeled by HRP and visualized using 0.05% DAB.
-
Immunofluorescence staining of MCF-7 cells with CSB-PA823893LA01HU at 1:100, counter-stained with DAPI. The cells were fixed in 4% formaldehyde and blocked in 10% normal Goat Serum. The cells were then incubated with the antibody overnight at 4°C. The secondary antibody was Alexa Fluor 488-congugated AffiniPure Goat Anti-Rabbit IgG(H+L).
-
-
其他:
產品詳情
-
產品名稱:Rabbit anti-Homo sapiens (Human) KBTBD7 Polyclonal antibody
-
Uniprot No.:
-
基因名:KBTBD7
-
別名:Kelch repeat and BTB domain-containing protein 7, KBTBD7
-
宿主:Rabbit
-
反應種屬:Human
-
免疫原:Recombinant Human Kelch repeat and BTB domain-containing protein 7 protein (475-684aa)
-
免疫原種屬:Homo sapiens (Human)
-
標記方式:Non-conjugated
本頁面中的產品,KBTBD7 Antibody (CSB-PA823893LA01HU),的標記方式是Non-conjugated。對于KBTBD7 Antibody,我們還提供其他標記。見下表:
-
克隆類型:Polyclonal
-
抗體亞型:IgG
-
純化方式:>95%, Protein G purified
-
濃度:It differs from different batches. Please contact us to confirm it.
-
保存緩沖液:Preservative: 0.03% Proclin 300
Constituents: 50% Glycerol, 0.01M PBS, pH 7.4 -
產品提供形式:Liquid
-
應用范圍:ELISA, IHC, IF
-
推薦稀釋比:
Application Recommended Dilution IHC 1:100-1:500 IF 1:100-1:500 -
Protocols:
-
儲存條件:Upon receipt, store at -20°C or -80°C. Avoid repeated freeze.
-
貨期:Basically, we can dispatch the products out in 1-3 working days after receiving your orders. Delivery time maybe differs from different purchasing way or location, please kindly consult your local distributors for specific delivery time.
-
用途:For Research Use Only. Not for use in diagnostic or therapeutic procedures.
相關產品
靶點詳情
-
功能:As part of the CUL3(KBTBD6/7) E3 ubiquitin ligase complex functions as a substrate adapter for the RAC1 guanine exchange factor (GEF) TIAM1, mediating its 'Lys-48' ubiquitination and proteasomal degradation. By controlling this ubiquitination, regulates RAC1 signal transduction and downstream biological processes including the organization of the cytoskeleton, cell migration and cell proliferation. Ubiquitination of TIAM1 requires the membrane-associated protein GABARAP which may restrict locally the activity of the complex.
-
基因功能參考文獻:
- KBTBD6 and KBTBD7 specifically bind to GABARAP proteins.KBTBD6 and KBTBD7 form a heterodimeric CRL3 complex. PMID: 25684205
- KBTBD7 proteins may act as a new transcriptional activator in mitogen-activated protein kinase (MAPK) signaling. PMID: 20132730
-
亞細胞定位:Cytoplasm. Nucleus.
-
數據庫鏈接:
Most popular with customers
-
-
YWHAB Recombinant Monoclonal Antibody
Applications: ELISA, WB, IHC, IF, FC
Species Reactivity: Human, Mouse, Rat
-
Phospho-YAP1 (S127) Recombinant Monoclonal Antibody
Applications: ELISA, WB, IHC
Species Reactivity: Human
-
-
-
-
-















